2022-03-12
Våra Mellovinnare blir 1 år idag!
Stort grattis på er födelsedag!!
2022-03-11
Jaktlydnad
Ett härligt gäng ekipage jobbade på med grundläggande jaktlydnadsövningar på förmiddagen idag.
Solen var så härlig och alla ekipage var så himla duktiga.
2022-03-10
Hundmatshämtning
Vi får leverans av hundmat var tredje vecka just nu så det är lite mindre jobb att packa allt och därmed mer tid att prata med valpköpare
och det gillar jag. Nu är många frysar full och kassarna till valparna vi har hemma är fulla med mat så att dom har bra saker att
äta i sina nya hem.
2022-03-08
Nu vill vi att Kerstin ska börja löpa!
Idag var Kerstin och kontrollerade sina ögon och hon är nu godkänd för avel under ett år. Hoppas, hoppas att hon snart löper för vi har
en så spännande plan!
2022-03-02
Nu värmer vårsolen!
Äntligen lite vårkänslor! Nu hoppas jag på att fler än jag är sugna på att träna hund! Jag kommer att boka in lite kurser och träffar för Atomosar framöver
och mer info kommer att finnas i forumet. Om ni saknar något så hör av er.
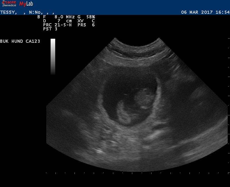
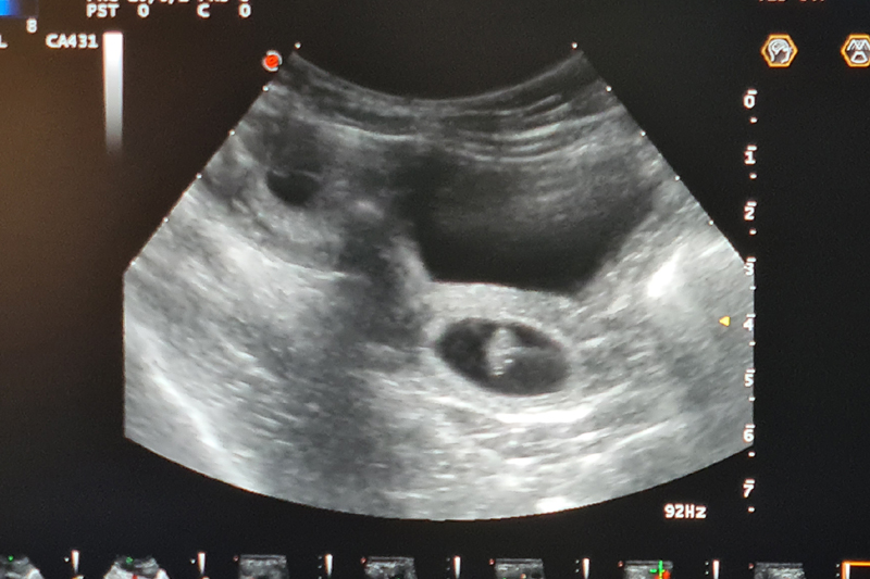
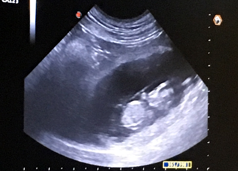
2022-03-02
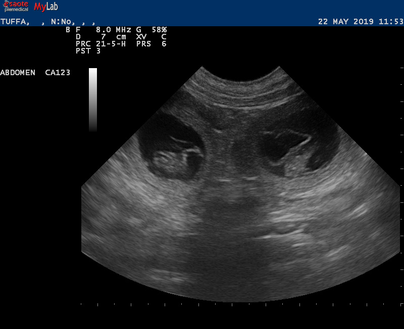
Ultraljud på måndag
På måndag gör vi ultraljud för att se om Fanny har valpar i magen. Håll tummarna!
2022-02-27
Valpmys och fika
Idag hade vi valpmys och fika för de som är intresserade av en valp från den kullen vi har nu. Jag tycker att det är bra att ha ett tillfälle i veckan
där så många som möjligt kommer så att vi alla får tillfälle att lära känna varandra. När man
känner igen personerna som har syskonen så blir det lättare att ta upp saker på träffarna som vi har sedan när valparna
bor i sina nya familjer. Jag tycker också att det är smidigt att få informera om lite olika saker så att jag vet att alla har hört allt
jag vill tipsa om inför att familjerna ska välkomna en ny vän.
Jag fick en jättebra känsla av er alla och ser verkligen fram mot allt kul vi ska göra tillsammans framöver!
2022-02-25
Gemensam träning
Lite lydnad och så övningar i riktigt långa markeringar och så passade vi på att skjuta några skott. Tack alla för en mysigt förmiddag!
2022-02-24
Inga valpar....
Fennel är tyvärr inte dräktig. Vi har tyvärr haft otur igen med fryst sperma. Det är så trist för det finns så många fantastiska hanar där ute i världen
som jag så gärna vill ha i min avel. Men vi ger inte upp så lätt!
2022-02-17
Hundmatshämtning
Vi har haft ett lite längre uppehåll nu pga att jag varit hemma med valparna så nu var det många frysar som behövde
fyllas igen. Härligt att få träffa er alla!
2022-02-13
Kennelträff med jaktträning
Temat för denna träffa var gunderna i sök och så lite stadga och transport. En liten variant av markeringsövning blev det också. Kul att så
många ville vara med.
2022-02-09
Gemensam träning
Idag var vi ett gäng Atomosar som träffades för att träna jaktlydnad tillsammans. Alltid så mycket roligare att träna när vi
är några stycken. Å så kaffe förstår!
2022-02-06
Fanny är nu parad med Jäger!
Atomos Fulländade Böna är nu parad med hanen Swidjan´s Perfect Fit. Nu håller vi alla tummarna hårt!!
2022-01-27
Två lyckade inseminationer!
Nu har vi varit med Fennel hos veterinären och gjort två inseminationer, en igår och en idag, och allt känns bra.
Hon är inseminerad med den engelska hanen Foxpath´s Comus som kallas för Remus. Nu håller vi tummarna!!
Fennel är född och uppvuxen i England. Nu är hon 2 ½ år. I stamtavlan heter hon Baronbeck Fennel at Chywoon och i hennes stamtavla finns det hundar som deltar aktiv under jakten
och som på så sätt visat vilka duktiga rasrespresentanter de är. Vi tycker att de engelska jaktlinjerna har det vi söker så vi är så tacksamma att Fennel har fått flytta
till oss och vi ser så mycket fram mot hennes första kull här hos oss.
Remus som är pappa till valparna är också född i England. Han är duktig på jakten och hans stamtavla innehåller riktigt
fina uppskattade arbetslinjer. För 4 år sedan så föddes två valpar hos oss som Remus är pappa till. Nu hoppas vi på en kull till. Under en period bodde han
med sin matte Jill i Australien men nu är han tillbaka i England. Under tiden i Australien så blev han australisk champion och fick några valpkullar som alla är nöjda med.
Det är så klart mycket spännande att få möjligheten att kombinera dessa två engelska hundar och vi ser verkligen fram mot att få valpar med en synnerligen intressant och användbar stamtavla.
2022-01-18
Valpar i vår låda!!
Sju svarta valpar är nu födda! Två hanar och fem tikar. Alla mår bra och Lotta är fantastisk. Följ oss gärna i valpdagboken.
2022-01-12
Fennel löper!
Hon kommer att insemineras med den engelska hanen Foxpath´s Comus som kallas för Remus. Remus när pappa till två valpar hos oss innan.
Både Fennel och Remus när födda och uppvuxna i England och deras linjer är riktigt fina arbetslinjer. Det här kommer bli riktigt spännande!!
2022-01-11
Valpdagbok!
Äntligen är det dags för Lotta och hennes valpar!! Följ gärna med oss i valplådan! Ni hittar valpdagboken i vårt forum!
2022-01-11
Grattis Hopp-kullen!
Idag blir ni 4 år! Det var en kall natt när ni föddes och vi hade så mysigt i värmen i valplådan. Fira ordentligt idag!
2022-01-10
Grattis Extra-kullen!
Idag fyller ni 10 år!! Jag minns den dagen ni föddes så väl för ni bestämde er för att komma ut lite tidigare än jag hade tänkt mig. Jag är säker på att ni firar ordentligt idag!
2022-01-04
Hundmatshämtning
Det var en ganska liten beställning denna gång så det blev en lugn dag och därmed mer tid att umgås och det är ju alltid trevligt"
2022-01-02
WT-träning
Härlig start på nya året! Jag hade förberett fem stationer med lite olika uppgifter. Så roligt att få se alla hundar och förare jobba tillsammans. Men jag tror att vi alla är överens om att det
roligaste idag var vår fantastiska tyska domare som var på besök hos oss!! Jag hoppas verkligen att vi får förmånen att ha honom med oss fler gånger!!
2021-12-31
Gott Nytt År
Nytt år och nya möjligheter! Vi önskar er alla ett lugnt och fint slut på 2021 och en riktigt bra start på 2022!
Nu ser jag fram mot att göra mitt yttersta för att 2022 blir ett riktigt bra år och
jag vill gärna hitta på roliga saker i kenneln tillsammans alla de hundar som jag älskar och deras familjer.
Den är fina gossen kallas för Molle.
2021-12-29
Gemensam träning i inomhushall
Carolin och Poppy hade hyrt en inomhushall och bjöd in alla Atomosar till gemensam träning idag. Jag tycker att det är så roligt när valpköpare ordnar träning där alla känner sig välkomna. Det
blev tyvärr så att jag inte hade möjlighet att vara med men jag är så tacksam över att jag blev inbjuden.
2021-12-23
God Jul!!
Vi önskar er alla en riktigt härlig jul!!
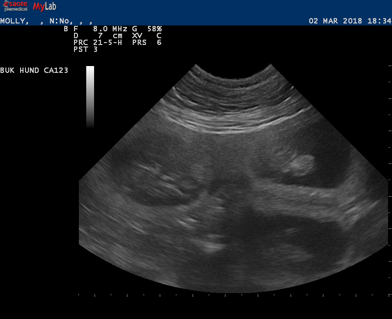
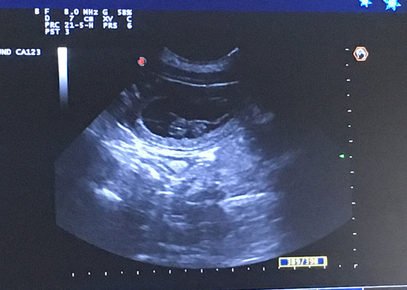
2021-12-23
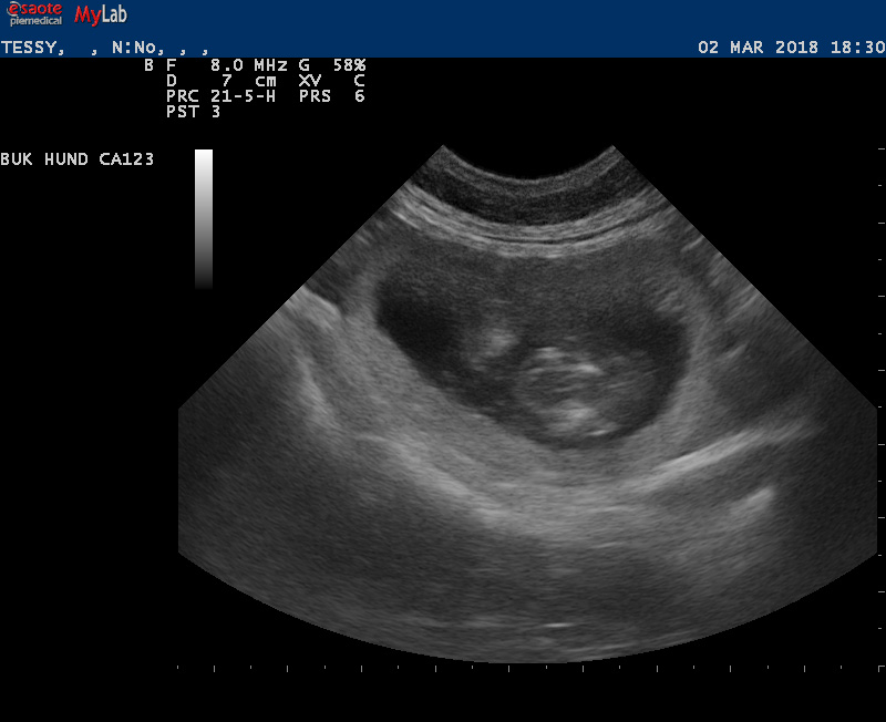
Lotta är dräktig!!
Vi har gjort ultraljud och det finns många valpar i Lottas mage!! Stolt pappa är Bertil (Actualis Winter Surprise).
Valparna föds i mitten av januari och vill flytta till sina nya familjer i matten av mars.
2021-12-16
Hundmatshämtning
Nu är många frysar fulla med den bästa hundmaten igen! Det blev en trevlig dag och tillfälle att träffa många goa Atomosar, det gillar jag!
2021-12-14
Hundar i sammhälletstjänst
De hundar som jobbar i samhälletstjänst gör så viktiga saker på dagarna. Idag har jag fått vara med och hjälpa till när några hundar tränas inför sina viktiga uppgifter. Det är
verkligen en förmån att få följa dessa hjältar, hundar och förare, i deras arbete.
2021-12-09
Vi hoppas så mycket på att Lotta och Bertil ger oss ett gäng valpar i mitten på januari!
Här kommer en bild på Lotta och Bertil. Vi kan göra ultraljud om en dryg vecka, håll tummarna!
2021-11-23
Hundmatshämtning
En härlig dag med goa Atomosar och så många frysar som nu är fulla med den bästa hundmaten! Det gör mig så lycklig!
2021-11-21
Lotta + Bertil = SANT
Nu har dom träffats flera gånger och det har blivit fyra parningar under flera dagar så nu håller vi tummarna för att vi får många fina valpar i januari. I mitten av december gör vi ultraljud.
Här är några bilder på Bertil:
2021-11-17
Fina röntgensresultat
Alla fick grad A på höfterna och armbågarna som röntgade fick ua så bättre än så kan det ju inte bli!! Grattis till er alla!
2021-11-16
Parning
Idag fick Lotta och Bertil träffas med det blev ingen parning så det var lite tidigt trots att både blodfärg och mängd och hela Lottas uppförande tydligt visade att det är höglöp.
2021-11-15
Höftledsröntgen
Fyra hundar var det som kom idag när jag hade bokat en gemensam tid för höftledsröntgen. Jag är så tacksam för att ni kom! Alla bilder såg bra ut så nu håller vi tummarna att SKK också tycker det.
2021-11-14
Farsdag!
Idag tänker vi lite extra på alla fina pappa som har valpar hos oss!
2021-11-08
Ögonlysning
Idag har Ticket, Fennel, Fanny och Lotta varit och kontrollerat sina ögon och allt såg bra ut. Skönt!! Man ögonlyser inför parning och resultatet är giltigt i ett år.
2021-10-29
Ellie och Unn klarade slutprovet och är nu klar med sin yrkesutbildning i specialsök med inriktning narkotika och vapen!
Stort grattis till Ellie och matte Unn! Nu kommer ekipaget att jobba förebyggande på exempelvis skolor och arbetsplatser.
Vilken resa ni har gjort! Ellie heter Atomos Supergirl i stamtavlan och det har hon visat så många gånger att hon verkligen är och i synnerhet nu! Stort lycka till med alla uppdrag!!
2021-10-28
Hundmatshämtning
Tänk att det nästan varje gång ska vara något som strular. Idag saknades en hel pall med hundmat! Men vi fick ihop det ändå till slut så alla fick med sig den hundmat som dom hade beställt.
2021-10-26
Fina höfter!
Så himla härligt!! Resultatet på Fennels och Legolas höfter kom redan idag och både fick grad A!!
2021-10-25
HD-röntgen
Vi har röntgat Fennel och Legolas idag. Håll tummarna för att även SKK tycker att bilderna är fina!
2021-10-21
Magda söker en familj att flytta till!
Vi har bestämt oss för att försöka hitta en fodervärd till vår Magda. Magda är född 207004. Hon gillar att jobba med sin näsa så vi söker ett hem där Magda får utvecklas tillsammans med sin förare.
Hon är till salu med bibehållen avelsrätt för vi vill att hon ska få en valpkull
här hos oss framöver.
Om ni är intresserade så skicka ett mail till oss och berätta om vilka ni är och hur livet ser ut för en hund hos er.
2021-10-21
Glada nyheter från Island!
Idag fick jag glada nyheter från Island för vår fina gosse Sven i kullen vi kallar för Rosorna (Atomos Constance Spry)
som bor där har röntgat höfter och armbågar och fått det bästa resultat man kan få dvs grad A på höfterna och 0 på armbågarna. GRATTIS!!
2021-10-13
Vår älskade Ticket fyller 4 år!
Oj va tiden går fort! Vår härliga gosse är redan 4 år! Så klart att det serverades en specialgjord tårta!
2021-10-13
Niki är tyvärr inte dräktig....
Det är så himla tråkigt....fy va deppigt det blev nu. Jag har verkligen sett fram mot den här kullen.
Planen är att göra ett nytt försök att få Niki-valpar, stort tack till Linn som gör det möjligt!!
2021-10-07
Idag fyller Pralinerna 7 år!
Grattis på födelsedagen Linus och Lisa!!
2021-10-04
Hundmatshämtning
Idag gick alltid så lätt och smidigt och den stora vinsten med det är att jag får mer tid att umgås med goa Atomosar och det gillar jag. Nu är många frysar fulla med den bästa
hundmaten och dessutom till ett bra pris. Det är verkligen en förmån för mig att få vara med och hjälpa till.
2021-10-03
GRATTIS på 12 årsdagen!
Idag fyller Som Djur-kullen 12 år! Stort grattis till er alla!! Jag vet att ni blir ordentligt firade!
2021-09-30
WT-träning
Fem stationer med olika teman, varierad terräng och en del transporter. Ett trist väder och ett glatt gäng Atomosar som var med på dagens WT-träning. Det är så härligt att trots vädret vara så varm i hjärtat. Jag blir så lycklig när jag får stå och
titta på alla "mina" fina hundar som jobbar.
2021-09-26
Lopporna fyller 5 år idag!
Grattis på födelsedagen! Jag hoppas att ni alla får något riktigt gott att mumsa på!
2021-09-14
Nu hoppas vi att Niki och Hoppu ger oss ett gäng valpar i mitten av november!
Niki heter Atomos Ärtiga Laktritstroll i stamtavlan och pappa till valparna blir den finska duktiga hanen Allikon Tulen Voima "Hoppu".
Både Niki och Hoppu har långa fina meritlistor och det finns all anledning att tror att valparna får riktigt fina retrieveregenskaper.
Niki har 2:a pris på b-prov och 95 p på WT och hon har erfarenhet från praktisk jakt.
Hon har visat att hon är sugen på att träna det mesta och har hittills 2 cert i rallylydnad, 1:a pris i lydnad och 221 p appellspår.
Hoppu har en gedigen meritlista
och vann bla Finska Flatmästerskapet (WT) och han har flera 2:a pris på jaktprov elitklass med vilt och 1:a pris på WT i elitklass
och dessutom jobbar han heltid som mögelhund tillsammans med sin ägare Raija.
2021-09-12
Valpkurs för de två kullarna födda 2021
Det var ett riktigt trist väder idag men stämningen var härlig bland valpar och ägare! Vi jobbade med att gå fint vid sidan och så körde vi en inkallningsövning. Jag är jättenöjd
med utvecklingen som vi fått se hos alla hundar och förare under den här kursen. Valpkurs för mig är att lära känna sin nya vän och att hitta sitt sätt att träna och tänka hund.
2021-09-12
Träff med jaktträning för våra två yngsta kullar
Alla hade tränat riktigt bra sedan sist vi sågs så idag körde vi sök med många dummies. Vilka härliga lovande apportörer!!
2021-09-10
Grattis Smulorna!
Idag fyller Smulorna 5 år! Hoppas att ni alla får en härlig födelsedag!
2021-09-10
Kerstin är tyvärr inte dräktig....
Fy va trist! Så som jag hoppats och väntat och längtat efter Kerstin+Ice-valpar!
2021-09-07
Hundmatshämtning
Det blev lite annorlunda hundmatshämtningen idag men det blev ju bra ändå. En ganska liten leverans som dessutom kom i god tid så det gick smidigt att packa.
2021-08-31
Äntligen löper Niki!!
Pappa till valparna blir den finska duktiga hanen Allikon Tulen Voima "Hoppu". Han har en gedigen meritlista
och vann bla Finska Flatmästerskapet (WT) i år. Flera 2:a pris på jaktprov elitklass
och dessutom jobbar han heltid som mögelhund tillsammans med sin ägare Raija.
2021-08-30
WT-träning
Idag hade jag gjort stationer på temat att hunden ska välja rätt väg och riktigt och att dummien inte hamnar där det ser ut som att den hamnar. Några hundar var
lättlurade på vissa stationer men överlag tycker jag att det gick riktigt bra.
2021-08-29
Valpkurs för kullarna födda 2021
Vi pratade om att ha en bra känsla tillsammans med sin hund mot målet att hunden ska kunna vara lugn och trygg hos sin förare och utan koppel. Vi jobbade med sitt och sitt kvar och att
gå fint vid sidan.
2021-08-29
Kullträff med apportering för våra två yngsta kullar
Vi körde lite övningar mot målet att få fina avlämningar och så pratade vi en del om stadga och passivitet.
2021-08-27
Vi hoppas att Kerstin och Ice ger oss ett gäng valpar i början av oktober
Kerstin är vår egen tik. En frisk och sund och genomsnäll tjej som gillar att jobba. Hon heter Atomos Hoppsan Kerstin i stamtavlan och hennes stamtavla innehåller många riktigt
trevliga och duktiga hundar med gamla fina välbeprövade arbetslinjer. Kerstin har en fin kull hos oss född 200704.
Pappa till Kerstins valpar är en riktigt härlig kille som har allt vi kan önska oss av en vän, träningskompis och jakthund, nämligen Flatgold´s Fire´n Ice. Så är så tacksamma att
Inka Heller-Schedel, kennel Flatgold´s i Tyskland, ger oss förmånen!
2021-08-15
Valpkurs för kullarna födda 2021
För mig innebär valpkurs att vi pratar mycket om relation och grunderna i hur man på ett bra sätt får ett fint samarbete med sin nya fyrfota vän. Vi jobbade också
med lite lydnad så som sitt, sitt kvar och gå vid sidan.
2021-08-15
Kullträff med apportering för våra två yngsta kullar
De var första spporteringarna för de flesta så vi började från början. Det finns fina egenskaper i alla valparna så det ska bli så spännande att få följa utvecklingen.
Nu håller vi tummarna för att Kerstin och Ice ger oss fina valpar!!
2021-08-26
Vår nya vän flax
Vi har förmånen att få köpa en vuxen tik från en kennel i England. Det är verkligen en dröm för oss som uppfödare att få köpa en frisk och trevlig tik som kommer från sunda och duktiga jaktlinjer
och så har hon hunnit få erfarenhet från praktisk jakt. Dessutom
har vi fått hjälp att röntgat hennes höfter och fått dom avlästa i Sverige så vi vet att hon har grad B. Det här är nästan för bra för att vara sant!!
Nu är det bara det där lilla med att få hit henne också och corona och brexit har verkligen krånglat till det för oss.
Vi är så tacksamma att Carol, uppfödaren och ägaren, har haft möjlighet att få Flax kvar så här länge. Äntligen ser vi en ljusning så förhoppningsvis kommer Flax till oss i höst!
2021-08-21
En kurs som jag kallar "Mot målet att starta på B-prov"
Vi körde ett litet b-prov med vilt med alla hundarna först och sen jobbade vi lite extra med det som vi hade sett att vi behöver ge hundarna mer erfarenhet av.
2021-08-16
Hundmatshämtning
En förhållandsvis lugn dag blev det idag för leveransen kom i tid. Mer tid för fika och skitsnack och det är ju det trevligaste med hundmatshämtnigen. Å så självklart att
så många frysar blir fulla med den bästa hundmaten!
2021-08-15
Valpkurs för kullarna födda 2021
För mig innebär valpkurs att vi pratar mycket om relation och grunderna i hur man på ett bra sätt får ett fint samarbete med sin nya fyrfota vän. Vi jobbade också
med lite lydnad så som sitt, sitt kvar och gå vid sidan.
2021-08-15
Kullträff med apportering för våra två yngsta kullar
De var första spporteringarna för de flesta så vi började från början. Det finns fina egenskaper i alla valparna så det ska bli så spännande att få följa utvecklingen.
2021-08-13
GRATTIS Har-kullen!
Idag fyller ni 11 år!! Jag vet att ni blir ordentligt firade!!
2021-08-13
Vattenjobb
Jag satt i båten och kastade dummies och alla hade fått önska vad för övningar som vi skulle göra idag. Det gick riktigt bra för alla utifrån sina erfarenheter och så avslutade jag med
en övning i vassen som jag tyckte skulle vara klurig men det löste alla galant!
2021-08-10
Viltspår
Idag har jag haft förmånen att gå viltspår med några hundar och deras förare och nu tycker jag att det är dags att testa att göra ett anlagsprov!
2021-07-26
Hundmatshämtning
Vi bokar leveranserna lite oftare just nu för det har varit svårt med chafförer under sommaren så lastbilen har kommt så sent och det har blivit för stressigt för oss.
Idag funkade det bättre! Därmed mer tid att umgås med goa Atomosar och det gillar jag!
2021-07-23
Kerstin löper, äntligen!
Pappa till Kerstins valpar är en riktigt härlig kille som har allt vi kan önska oss av en vän, träningskompis och jakthund, nämligen Flatgold´s Fire´n Ice. Så är så tacksamma att
Inka Heller-Schedel, kennel Flatgold´s i Tyskland, ger oss förmånen!
2021-07-22
WT-träning
Ett härligt gäng hundar och förare kom hit idag när jag erbjöd att fixa ett träningsupplägg likt ett WT. Det blev flera stationer på temat vid vatten och inte i vatten
och hundarna var riktigt duktiga på att hålla sig i rätt område.
2021-07-12
Dröm-kullen fyller 8 år idag!
STORT GRATTIS till er alla! Det är så underbart med hundar i den här åldern. Vår Tuffa tar det mesta med ro och det är verkligen en förmån att få leva tillsammans med en så
klok dam som hon!
2021-07-11
WT-träning
Fem stationer med uppgifter att lösa och eftersom ekipagen är på lite olika nivå så fanns det alternativ på svårighetsgrad. Vi har skönt väder och det var först mot slutet som det blev lite väl varmt.
2021-07-09
Vattenjobb
Idag hade vi kennelträff med vattenjobb. Vi hade frivilliga som ville ro båten och kasta dummies så att hundarna fick roliga kluriga övningar att lösa. Det blev en riktigt mysig
kennelträff tycker jag.
2021-07-05
Hundmatshämtning
Maten kom alldeles för sent idag så det blev väldigt stressigt att få ihop det i tid och dessutom så var det många saker som vi inte fick av det vi hade beställt. Men vi fick ihop bra kassar med mat till alla
tillslut så nu finns det mat i frysarna igen. Vi kommer ha nästa hundmatshämtning redan om tre veckor eftersom det var så många saker som vi inte fick med denna leverans. Det
är alltid lite struligare på sommaren med på ett eller annat sätt så löser det sig!
2021-07-04
Kullen vi kalla Fruntimmersveckan fyller 1 år idag
Nacho och hans familj bjöd in oss alla på födelsedagskalas! Tack! Så himla mysigt! Alla syskon utom Sara, som bor på Gotland, hade möjlighet att komma.
Jag är så stolt över denna fina trevlig kull!
2021-07-04
Kullträff för Mello-Vinnarna
Första apporteringsövningarna för syskonen. Vilka lovande apportörer! Bra näsa och fina jobb och så riktigt lugna i passivitet. Dessa juveler måste vi förvalta väl!
2021-07-04
Kullträff för Bergs-kullen
Första träffen sedan gänget flyttade härifrån. Så mysigt att få träffa er alla! Fina valpar och vetgiriga valpköpare. Bra frågor och funderingar och min känsla är riktigt bra när vi säger hejdå för denna gång.
2021-06-27
Kullträff för Berg-kullen
Idag har vi äntligen fått hem en valp som vi längtat efter! Vi har fått förmånen att köpa tiken Flatgold´s Release The Stars av Inka Heller-Schedel kennel Flatgold´s. Vi är så tacksamma
för att vi får förtroendet.
Corona har ju gjort det krångligt att få hem hundar från andra länder och när Tanja erbjöd sig att hämta valpen i Tyskland så blev jag så glad och lättad. Jag kommer
vara evigt tacksam!
Nu ska vi njuta av vår nya vän och lära känna varandra bättre. Jag återkommer med vad honska heta och lite bilder!
2021-06-24
Aktiviteter
Nu när coronsrestriktionerna gör det möjligt att ses så har jag bokat inte några aktiviteter. Det blir WT-träning, jaktkurs, viltspår och vattenträning. Om ni har önskemål om mer saker eller
andra saker så hör av er! Mer info finns i forumet.
2021-06-22
Rosorna fyller 2 år
GRATTIS på födelsedagen! Jag är helt säker på att ni alla blir ordentligt firade idag.
2021-06-09
Det värmer så att en hund från oss nu är godkänd för att jobba i samhällets tjänst
Våra fyrfota vänner kan hjälpa oss med så många saker och det känns så klart extra kul när det är en av våra hundar som får med beröm godkänt på alla prov!
2021-06-07
Veterinärbesiktning
Veterinärbesiktningen av Bergs-kullen gick alldeles utmärkt och på onsdag börja de små krabaterna flytta till sina nya familjer.
2021-06-06
Valpmys och fika för Bergs-kullen
Idag var nästan alla förväntansfulla familjer här och vi har bestämt vilken valp som flyttar till vilken familj. Det är så härligt med alla känslor som blir hos oss alla!!
2021-06-06
Valpträff för Mello-Vinnarna
Härligt att få se er igen!! Fina duktiga valpar och kloka vetgiriga valpköpare! Vi ses snart igen hoppas jag och jag ordnar gärna olika aktiviter så hör av er med önskemål. Allt
jag bokar in kommer att finnas i forumet.
2021-06-05
Uppställningsbilder
Idag var vår vän och fotograf Jon här och tog uppställningsbilder på alla valpar.
2021-06-04
Valpmys och fika med Bergs-kullen
Nu de närmaste dagar ska vi bestämma vilken valp som ska flytta till vilken familj och idag blev det klart vem som får heta Märta! Hon erbjuds ett fantastiskt liv!
2021-06-03
Hundmatshämtning
Det blev både stressigt och rörigt även denna gång och vi vet inte riktigt varför men vi har en tanke om hur vi ska lösa allt lite smidigare framöver. Alla frysar
blev i alla fall fulla med den bästa hundmaten och det är underbart!!
2021-05-31
Ännu en dag med hundar som utbildas att jobba i samhällets tjänst
Dessa fantastiska hundar och allt dom gör för oss! Jag njuter av varje sekund som jag för förmånen att se hundar jobba med sånt dom älskar och samspelet med föraren.
Att hundarna dessutom gör sådana här jobb som håller samhället fritt från oönskade saker är ju fantastiskt.
2021-05-30
Morsdag
Idag tänker vi lite extra på alla våra fina fyrfota mammor!
2021-05-30
Valpmys och fika med Dina och hennes valpar
Kul att ses igen! Det är en intensiv tid nu med valpar och valpköpare. Jag ska lära känna både valparna och familjerna på kort tid för att kunna placera rätt valp i rätt hem. Nu med
corona så har vi varit försiktiga med att ses och alla andra gånger vi har valpar som brukar vi ha träffat många innan valparna ens är födda. Men det är 10 dagar kvar
nu innan valparna är redo att flytta så pusslet kommer bli lagt på ett bra sätt!
2021-05-25
En hälsning från Wilda som jobbar på en gård med mjölkkor
Så himla härliga bilder som jag fått tillåtelse att lägga ut här på hemsidan:
2021-05-22
Valpmys och fika med Dina och hennes valpar
Första tillfället för alla de familjer som är aktuella för kullen. Härligt att få träffa er alla!
2021-05-21
Så-kullen fyller 10 år!
Grattis till er alla! Den här bilden fick jag av Charlie:
2021-05-21
Här är bilderna som Jon tog på Mello-Vinnarna innan dom flyttade härifrån
Hanar:
Atomos Just Nu
Atomos Imorgon Är En Annan Dag
Tikar:
Atomos Euphoria
Atomos Bra Vibrationer
Atomos Satellit
Atomos Fångad Av En Stormvind
Atomos Se På Mig
Atomos Diggiloo Diggiley
Atomos Fyra Bugg Och En Coca-Cola
Atomos Eloise
2021-05-19
Gemensam träning
Maria och Lena hade bett mig och lite tips för fortsatt träning så vi och några till sågs idag och tränade tillsammans. Lite kaffe också så klart!!
2021-05-19
Viltspår
Kul att kullträffen i torsdags gav mersmak för nu har vi träffats torsdag, söndag och onsdag och gått spår med hundarna. Jag hörde lite planer om anlagsprov också...
2021-05-13
Kullträff med viltspår för Stjärnorna och Fruntmmersveckan
På den här träffen fick alla hundar gå ett första viltspår och jag berättade lite om min syn på viltspårsträning, prov och praktiska jobb.
2021-05-12
Hundar som jobbar i samhällets tjänst
Jag har haft förmånen och vara med när några hundar och förare utbildas till att jobba med att hitta olagliga saker som inte bör finnas i vårt land. Jag
blir så varm i hjärtat när hundarna jobbar hårt och är så duktiga och hjälper oss på ett föredömligt sätt och dom gör det igen och igen och igen för att
dom tycker om att jobba med oss och för oss. Älskade fyrfota vänner!
2021-05-08
Valparna har flyttat!
Nu har alla valparna i Siris kull flyttat och även Siri har flyttat hem. Det blev så himla tomt här!!
2021-05-05
Fotografering av valparna
Vi tar alltid uppställningsbilder på våra valpar innan dom flyttar så ikväll var vår fotograf Jon här och hjälpte oss. Bilderna får ni se här på hemsidan när vi får dom.
2021-05-05
Veterinärbesiktning av kullen vi kallar Mello-vinnare
Siris och Tickets valpar kallar vi för Mello-vinnare och deras namn är svenska låtar som vunnit Melodifestivalen. Idag var gänget till veterinären och det gick jättebra!! Så himla skönt!
2021-05-02
Valpmys och fika tillsammans med Siri och valparna!
Valpmys och fika två dagar i rad för att vi ska hinna med alla valpköpare utan att dagarna blir för långa för valparna och Siri. Corona-anpassningen gör att inte alla kan ses samtidigt och är trist tycker jag
för jag vill ju gärna att alla känner alla kullarna.
2021-05-01
Valpmys och fika tillsammans med Siri och valparna!
Vi corona-anpassade upplägget och det är ju lite trist att inte alla kan ses samtidigt och så lite rörigt för mig som vill informera om allt och jag är ju så klart rädd att
missa saker när jag ska säga samma sak till flera gäng.
2021-04-27
Hundmatshämtning
Det här var en av de rörigast gångerna på mycket länge men vi fick ihop det tillslut, många frysar är nu fulla med den bästa hundmaten och vi somnade gott på kvällen!
2021-04-24
Valpmys och fika tillsammans med Siri och valparna!
Valpmys och fika två dagar i rad, härligt!!
2021-04-23
Valpmys och fika tillsammans med Siri och valparna!
Idag hade vi ett gäng förväntansfulla valpköpare här på valpmys och fika. Det blir intensivt nu när valparna är 6 veckor och börjar vilja ha mer aktiviteter och vi får ge dom chans att visa sina personligheter på alla äventyr vi gör tillsammans på gården.
2021-04-22
Gösta är en riktig hjälte!
Fina Gösta har klarat alla tester och är nu godkänd blodgivare och han kommer kunna göra skillnad för någon hund somkämpar för sitt liv.
2021-04-18
Bästa-kullen fyller 9 år
Grattis alla i Bästa-kullen som fyller år idag!!
2021-04-18
Första tillfället med valpmys och fika tillsammans med Siri och valparna!
Vi corona-anpassade upplägget och vädret var ok så det blev en annorlunda men lyckad valpträff. Härligt att änntligen få bjuda hit er alla!
2021-04-05
Grattis PP-kullen
Idag fyller ni 6 år så stort grattis till er alla och ha nu en riktigt mysig födelsedag!
2021-04-04
Grattis Lakritstrollen
4 år fyller ni idag! Önskar er alla en härlig födelsedag och jag tror att ni får mycket gott att mumsa på!
2021-04-01
Grattis Super-kullen
Idag fyller ni 3 år och vi har förmånen att ha Siri hos oss. Jag är säker på att ni alla blir ordentligt firade!
2021-04-01
Idag flyttade Dina hem till oss
Härligt rund och go om magen går hon nu runt här för att hinna boa in sig ordentligt innan valparna föds i mitten av april. H
2021-03-30
Saltkråkorna fyller 4 år idag
Stort grattis till er alla på er födelsedag! Hoppas ni får mycket gott att mumsa på idag!
2021-03-29
Bönorna fyller 3 år idag
Stort grattis på födelsedagen! Jag är säker på att ni båda blev ordentligt firade!
2021-03-29
Rosettutdelning
Varje år har vi en "Årets första kennelträff" där vi summerar året som gått och smider planer för det nya året och så passar jag på att dela ut rosetter till alla ekipage som fått fina meriter under
året. Men i år tog vi det tråkiga beslutet att inte ha någon sådan kennelträff pga corona. Vi brukar vara ett stort gäng som ser och jag bjuder alla på mat och fika och nu med
rådande regler så gick inte det. Så jag har fixat rosetter till de ekipage sm vill ha en rosett och idag delade jag ut den sista rosetten för 2020. Hoppas verkligen att det blir
möjligt att ha en riktig rosettutdelning nästa år (om det finns några tävlingar under 2021 så det finns några ekipage som kan få fina meriter....)
2021-03-29
Hundmatshämtning
Maten kom tidigt idag och vi fick ungefär det som vi hade beställt så det löste sig smidigt idag. Mycke tid till att umgås med goa Atomosar alltså och det gillar jag!
2021-03-26
Gemensam träning för alla Atomosar
Jag tycker att det är väldigt trevligt med gemensam träning med valpköpare. Alla tränar på sin egen nivå dvs alla kan vara med och vi hjälps åt. Å så blir det alltid tid för en kopp kaffe och
lite hundsnack och det är mysigt. "Det bästa med hundträningen är fikat" säger vi ibland!
2021-03-21
Kullträff för Fruntimmersveckan
Äntligen fick jag träffa godingarna i kullen vi kallar Fruntimmersveckan! Så härliga unga individer och så vetgiriga och ambitiösa valpköpare. Då är det extra härligt att vara uppfödare.
Vi jobbade med apportering och finslipade avlämningar och så tränade vi lite transport och stadga. Dom är 8 månader nu så det är en härlig och lite rörig period i deras liv men
det finns fina egenskaper i allihop.
2021-03-20
Stjärnorna fyller 1 år
GRATTIS på födelsedagen!! Hoppas att ni får mycket gott att mumsa på!
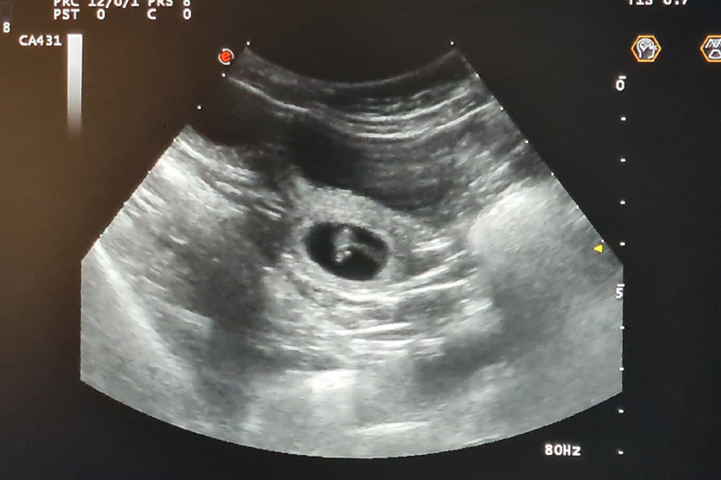
2021-03-12
Dina och Ticket väntar valpar i mitten av april!
Det finns många valpar i magen enligt ultraljudet!
2021-03-12
Nu har vi 10 valpar i vår låda!!
Allt har gått jättebra och alla valparna är starka och Siri är fantastisk!
2021-03-02
Ögonlysning Kerstin
Idag var jag och Kerstin till Eva för att kolla Kerstins ögon. Man undersöker alltid ögonen innan parning (ögonlysningsresultatet gäller sedan 1 år) och allt såg bra ut. Härligt!
Så nu är allt klart och Kerstin får gärna börja löpa för vi har spännande planer på gång!
2021-02-26
Hundmathämtning
Det har varit lite tätare mellan gångerna nu så det var inte lika mycket mat idag men det innebär ju mer tid att umgås och det är ju alltid trevligt!
2021-02-25
Föreläsning om parasiter hos hund
Flatklubben Östra ordnade föreläsning för oss uppfödare och temat för kvällen var parasiter och föreläsare var Eva Osterman-Lind som jobbar på SVA.
2021-02-17
Föreläsning om Löpning, parning och dräktighet
Dessa webinar är ju så smidiga. Ikväll var det Patric Ragnarsson som jag hade förmånen att lyssna på.
2021-02-17
Nu har vi parat Dina med Ticket!!
Nu håller vi alla tummar för att Dina blir dräktig! Valparna föds i så fall i mitten av april och vill flytta till sina familjer i juni.
2021-02-12
Gemensam träning
Liite vår i luften kan man ana nu om man vill och idag var vi ett gäng som tränade tillsammans. Trevligt tycker jag!!
2021-02-08
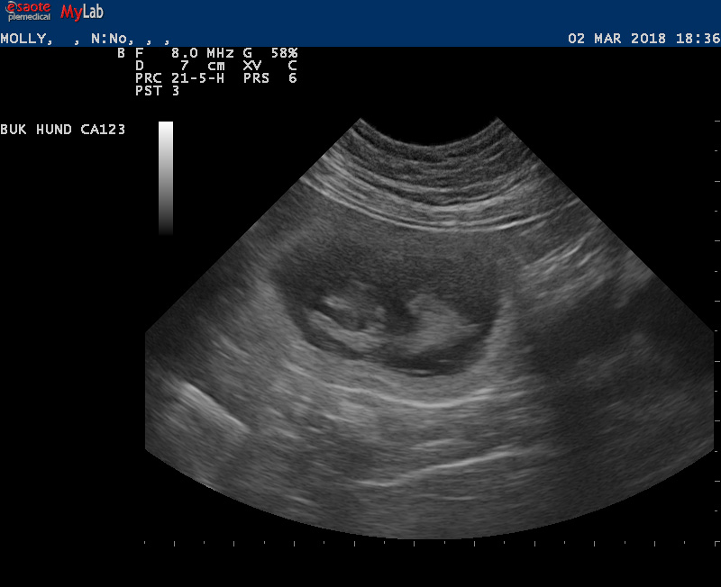
Siri är dräktig!!!
Åh va roligt!! Många valpar finns det i magen!! Valparna föds i mitten av mars och vill flytta till nya hem i mitten av maj.
2021-02-01
Hundmatshämtning
Bara 2½ vecka sedan sist så inte så mycket mat den här gången men mycket tid för att prata med goa Atomosar och det gillar jag!
2021-01-31
Nu löper Dina, äntligen!
Vi kommer att para henne med Ticket under vecka 6.
2021-01-28
Webinar
Det är så himla smidigt med alla de webinar som nu finns så ikväll lyssnade jag på en intressant föreläsning om virussjukdomar hos hund.
2021-01-20
Webinar
Ikväll var det ett webinar om genitik. Det finns i alla fall en sak som är bra med corona och det är alla de webinar som vi uppfödare blir erbjudna.
2021-01-19
Gemensam träning
Med lite kort varsel så blev vi några som träffades och tränade apportering tillsammans idag. Jag gillar gemensamma träningar för jag tycker att
det blir en bra kombination av att träna på egen hand med sin hund men också
ha träningskompisar så vi kan hjälpas åt med övningar och dela med oss av goda råd och glada tillrop. Dessutom är ju kaffet mycket godare när jag har sällskap i skogen!
2021-01-17
Nose Work kurs
Sista kurstillfället. Alla hundarna markerade doftkällan och gjorde det bra på båda sorterna av eukalyptus som jag hade använt. Vi gjorde övningar där föraren inte visste
2021-01-15
Gemensam träning
Idag var vi några som träffades och tränade apportering tillsammans. Det blir ju liksom lite roligare när man tränar på samma ställe som några andra även om vi jobbar en del på egen hand också.
2021-01-14
Siri är parad med Ticket!!
Vi parade flera dagar och det gick så lätt och smidigt. Dom är så fina tillsammans! Tyvärr så snöade det alla gånger som vi sågs så det blev mest snöflingor på bilderna som jag försökte ta så
vi får ta fina bilder på Siri och Ticket tillsammans längre fram.
Om Siri blir dräktig så föds valparna i mars och valparna vill flytta till sina nya familjer i maj.
2021-01-13
Hundmatshämtning
Idag var det många som vill komma och köpa hundmat. Det blir ofta ett lite längre uppehåll under julhelgerna för vi har tidigare år
haft svårt att få leveransen utkörd när veckorna innehåller det är röda dagar. Jag är så lycklig varje gång vi haft hundmatshämtning för då vet jag att många frysar är fulla med den
bästa hundmaten! Tack snälla Pernilla som var med och jobbade med hundmaten hela dagen!
2021-01-11
Hopp-kullen fyller 3 år idag
Stort grattis till er alla! Kerstin fick en egen tårta och jag är säker på att alla ni andra också blir ordentligt firade!
2021-01-10
Extra-kullen fyller 9 år idag
GRATTIS!! Jag är säker på att ni alla blir ordentligt firade på er 9-årsdag!!
2021-01-06
Vår fina Fennel!
För snart två månader sedan så flyttade Fennel hem till oss. Hon är uppvuxen hos sin uppfödare i England. Fennel är nu 16 månader gammal. En riktigt härlig tjej som vi
alla föll pladask för. Så snäll och rar på alla sätt och riktigt rolig att jobba med. Jag som uppfödare tycker att det är
en dröm att få köpa en frisk fin och duktig tik i den här åldern. Fennels stamtavla har riktigt fina engelska jaktlinjer och det ska bli så
roligt att få förvalta dessa fina linjer i aveln.
2021-01-03
Nose Work kurs
Alla hade tränat flitigt under julhelgerna så det var riktigt kul att träna tillsammans idag. Ett kurstillfälle kvar på kursen men vi gjorde redan idag mycket av det som vi brukar göra på
sista kurstillfället så nu ska jag klura lite på vad vi ska hitta på när vi ses nästa gång.
2021-01-02
Siri löper och vi parar henne med vår Ticket!
Sedan några dagar tillbaka så löper Siri och vi kommer para henne med vår Ticket. Vilket härlig kombination!!
2020-12-28
Nu ser vi fram mot 2021 och jag hoppas att det blir mycket hund på alla sätt!
December blev inte alls så som jag tänkt mig så nu ser jag fram mot ett nytt år och nya möjligheter!
Mycket träning med egna hundar hoppas jag på! Vi har flera unga hundar som jag vill förvalta väl.
Gärna många valpar i vår låda också! Vi har ingen parad tik just nu men flera borde löpa inom rimlig tid så vi planerar för flera valpkullar under 2021. Det ska bli så härligt med valpar igen!
Att ungås med goa valpköpare är ju något som jag verkligen uppskattar
så jag tänkte fylla på med lite kennelaktiviteter (gemensamma träningar, träffar och kurser) så hör av er om ni har önskemål om vad vi ska hitta på tillsammans.
2020-12-24
God Jul!
Vi önskar er alla en riktigt God Jul!
Det är Molle som är tomten på bilden!
2020-12-16
Niki är nu ögonlys och därmed väntar vi bara på att hon ska börja löpa...
Planen är att para Niki, Atomos Ärtiga Lakritstroll, på kommande löp. Jag ser väldigt mycket fram mot det!!
2020-12-09
Inga valpar...
Den här veckan skulle vi ha börjat förbereda oss för Empress valpning.....men hon är inte dräktig. Vi är så deppiga nu eftersom vi så gärna vill ha valpar efter just Empress och Laddie
och vi hade sett fram mot och planerat för en jul i valplådan.
Vi vill tacka Inka Heller-Schedel, kennel Flatgold´s, för att vi fick förmånen att
använda hanen Flatgold’s Ladies love Country Boys "Laddie" till denna parning.
2020-12-07
Hundmatshämtning
Nu har vår ena leverantör börjat skicka våra saker med ett annat företag som nu dessutom har bytt chaufför så jsut för stunden så funkar leveransen riktigt bra och vi hinner packa allt i tid.
Det innebär mer tid till att prata med goa Atomosar och det gillar ju jag!
2020-12-06
Nybörjarkurs i Nose Work
Idag introducerade vi doften eukalyptus. Alla hade tränat mycket bra hemma och hundarna gjorde så fina sök idag. Det ska bli så kul att följa er alla på denna spännande resa med Nose Work.
2020-11-29
Jaktkurs med sök och markering
Det är fyra veckor sedan senaste tillfället och vi fick se stora framsteg i söket. Kul! Vi jobbade med övningar i markering med dold kastare och så en övning i långa markeringar.
2020-11-22
Nybörjarkurs i Nose Work
Nose Work är en så utmärkt aktivitet på så många sätt och nu när vi går mot mörkare tider så är det så skönt att ha ett givande arbete som man kan pyssla med inne och under en
gatlyktas sken. Idag hade vi första kurstillfället så det blir ett tillfälle till innan jul och sedan kör vi två tillfällen i januari.
2020-11-21
Valpkurs för våra yngsta
Sista kurstillfället. Vi jobbade med sitt, sitt kvar och gå vid sidan och så avslutade vi med att köra inkallning och diskuterade lite kring hur man får en bra inkallning.
2020-11-21
Kullträff för kullen vi kallar för Fruntimmersveckan
En träff till med apportering. Lovande små apportörer som idag fick göra övningar där de behövde slå på näsan. Jag älskar ljudet av jobbande hundnosar!
2020-11-19
Gemensam träning
Det är så mycket roligare att träna när jag får sällskap så tack alla ni som kom och tränade och fika med mig idag! Vi gör om det snart igen hoppas jag!
2020-11-19
Kennelträff med Nose Work
Idag hade jag fått önskemål om att ordna en kennelträff med lite träning mot målet att starta på doftprov. Det var lite kluriga övningar för ekipagen men jag tror att alla fick med sig bra råd
så med lite mer träning så kanske det blir ett doftprov?
2020-11-14
Vi har äntligen fått hem vår hund från England!
Jag har fått förmånen att köpa en ung tik från England. Hon heter Fennel. En riktigt go och härlig tjej som direkt fann sig väl tillrätta i vår
familj. Hon är så lätt att älska och vi är så glada att hon är här hos oss.
Vi hoppas på att hon ska bidra i vår avel för hon har en mycket fin stamtavla med härliga arbetslinjer.
Stort tack till uppfödaren Carol Smettem-Minson som gett oss förmånen att välkomna Fennel hos oss. Stort tack också till Inka Heller-Schedeler, kennel Flatgold´s, som hjälpt oss att få
kontakt med Carol.
2020-11-08
Jaktkurs för Stjärnorna
En grundläggande kurs för ett härlig gäng unghundar. Vi jobbade mest med stadga och transport men även några apporteringar.
2020-11-07
Valpkurs
Vi jobbade med sitt och sitt kvar och att gå vid sidan. På valpkurserna så blir det alltid en massa bra diskussioner om sånt som känns aktuellt för alla familjer och det här
gänget har mycket bra funderingar och en bra grundinställning till hund och hundägande.
2020-11-07
Kullträff för våra yngsta
Vi körde de första apporteringarna idag och vilket härlig gäng valpar!! Jag är så stolt!
2020-11-06
HD-röntgenresultat
Idag syntes röntgenresultaten på de hundar från kullen vi kallar Rosorna och alla fick grad A!! Nu kan vi börja klura på avelsplaner och det är ju det roligaste som finns!!
2020-11-05
Hundmatshämtning
Full fart första stunden idag och allt blev klart i god tid och då blir det mer tid att småprata med valpköpare och det är ju alltid mysigt!
2020-11-05
Disney-kullen fyller 5 år
GRATTIS på födelsedagen! Hoppas ni alla får en härlig dag och blir ordentligt firade.
2020-11-04
Webinar - kullstorlek
En fördel med corona är alla intressanta webinar som man kan sitta hemma vid datorna och lyssna på. Kvällens tema var "Vad är det optimala antalet valpar per kull?
Ett webinar med Anne-Chaterine (Ankan) Edoff".
2020-11-03
HD-röntgen
Tre av syskonen röntgade sina höfter idag. Det såg bra ut sa Kicki och det känns ju bra så klart. Nu håller vi tummarna att SKK också tycker det.
2020-11-01
Jaktkurs
Vi jobbade med stort sök och markering och därmed stadga och transport och så körde vi med några vilt på slutet. Det är ju så roligt med jaktträning!
2020-10-29
Webinar - ögon
Idag ordnade FRK ett webinar med Björn Ekesten och han berättade en massa intressanta saker om ögon och i första hand retionpati och avel med hänsyn till dessa diganoser.
2020-10-19
Ögonlysning
Nu är ögonen på Ticket och Siri också lysta och inget oönskat fanns där så nu finns inget hinder för parning och valpar framöver. Kul!!
2020-10-17
Empress är inseminerad!
Pappa till valpar blir härliga Laddie som i stamtavlan heter Flatgold’s Ladies Love Country Boys. Stort tack till Inka, kennel Flatgolds, för att du ger oss förmånen!
Valparna föds i slutet av juni.
2020-10-17
Valpkurs
Idag började vi en valpkurs för Fruntimmersveckan och alla valpar i kullen var med. Kul!! Det är bra frågor och funderingar som tas upp och det ger mig känslan att det
är ett bra gäng, både tvåbenta och fyrbenta, så jag känner mycket nöjd så här långt.
2020-10-11
WT-träning
Fem stationer med lite olika klurigheter att lösa. Våra valpar födda 2020 var inbjuda sm passiva och min förhoppning är att dessa lovande unga hundar snart är med som aktiva.
2020-10-07
Grattis Pralinerna!
Redan 6 år! Hoppas att ni får en riktigt härlig födelsedag och massor med gott att mumsa på!
2020-10-05
Kennelträff med vilt
Några valpköpare hade bett mig om att vi skulle träna med vilt så jag bjöd in till kennelträff så alla som ville kunde komma och så
tinade jag några fåglar och kaniner. Ekipagen var på olika nivåer men alla gjorde bra saker och jag är nöjd med det jag fick se.
När vi tog kaffepaus så tog jag ut mina två valpar Sara och Magda, 13 veckor gamla, och dom dök ner i kassen med
vilt och fick tag på en stor and som dom direkt tog ett rejält grepp om och bar stolt runt på. Härlig inställning!!
2020-10-03
Som Djur-kullen fyller 11 år idag!!
Stort GRATTIS till er alla! Jag är helt säker på att ni alla blir ordentligt firade!!
2020-10-01
Hundmatshämtning
Det gick smidigt idag och det blev därmed en hel del tid att umgås med goa Atomosar och det gillar jag! Jag somnar alltid
lycklig dessa kvällar när jag vet att så många hundar fått frysen full med den bästa maten!
2020-09-30
Gemensam träning
Anna hade hyrt hagen i väsby åt oss och vi blev ett härligt gäng som tränade tillsammans denna soliga förmiddag. Tack alla för idag!
Det här gör vi om snart igen hoppas jag!
2020-09-26
Strul med forumet
Jag har haft problem att som administratör komma in i forumet men nu verkar det vara löst så nu bokar jag gärna in lite aktiviteter så om ni Atomosar är sugna på något så hör av er!
Anna och jag har bokat in en gemensamträning onsdag 30/9, se mer info i forumet.
Om ni har problem med forumet så hör av er. För att hitta
de aktiviteter som ordnas i kenneln så måste logga in där.
2020-09-22
Ögonlysning
Innan parning så ska hundarna varit hos en ögonveterinär som kollar att allt är ok för avel och det gick väldigt bra hos veterinären idag, skönt!
2020-08-23
Vår duktiga Niki har varit på andjakt
2020-09-19
Kullträff för vår yngsta kull som vi kallar för Fruntimmersveckan
Det var första träffen sedan valparna flyttade och alla valpar och deras familjer kom. Så himla mysigt att få träffa er alla igen! Tanken med träffen var att reda ut alla de frågor som man har
när man haft sin valp hemma några veckor. Det var bra frågor och funderingar som togs upp och jag känner mig helt trygg med att det går riktigt bra för alla så här långt.
2020-09-18
Nya planer
Just nu klurar vi för fullt på våra kommande valpkullar och vilken hanar som ska få förmånen att bli pappa hos oss.
Idag har jag varit och träffat en för mig ny gosse med många hundar som jag gillar i stamtavla.
Sedan fler år tillbaka så letar mest avelshundar utomlands för jag tycker att jag lättare hittar det som jag söker i dom linjerna men nu med corona så har jag tittat lite mer
i Sverige och hittat några gossar med fina stamtavlor som jag gillar och som förhoppningsvis kommer få valpar hos oss framöver.
2020-09-13
Nose Work tävling
Jag gillar att vara med och organisera tävlingar och varje gång så lär jag mig nya saker så även denna tävlingsdag var givande på många sätt.
2020-09-06
Jaktkurs för Stjärnorna
Härliga hundar och vetgiriga ambitiösa ägare! Då är det roligt att ha kurs!
2020-09-04
B-prov
Idag var det officiellt B-prov hemma hos oss.
Perfekt väder och riktigt bra domare och trevliga funktionärer och så dessutom fint vilt och bra provupplägg och så god lunch och massor med hundsnack! Tack alla för en härlig dag!!
Jag blir väldigt glad när vår fina mark används till bra hundiga saker!
2020-09-01
Hundmathämtning
Det flöt på bra idag och det blev därmed mycket tid att umgås. Det gillar jag! Stort tack till Pernilla som var med och jobbade hela dagen.
Det är en riktigt lycklig känsla när jag har fått hjälpa till med att fylla så många frysar med den bästa hundmaten!
2020-08-30
Förberedelser inför B-provet
Idag sågs vi för B-provet behövde planeras i terrängen inför det officiella B-prov som är här på fredag. Det är ju så roligt med B-prov och så klart lite extra roligt när det
är här hos oss.
2020-08-28
Imorgon börjar våra valpar att flytta...
Veterinärbesiktningen igår gick bra och alla avtal och varje valps papper är samlade i en egen bok.
I onsdags så var Jon här och tog bilder på alla valpar:
Atomos Fredrik I "Oakley"
Atomos Sara II "Sara"
Atomos Margareta III "Soda"
Atomos Johanna IV "Leia"
Atomos Magdalena V "Magdalena"
Atomos Emma VI "Poppy"
Atomos Kristina VII "Thea"
Atomos Jakob VIII
2020-08-23
Vår duktiga Lotta har varit på duvjakt
Jägarna hade så många postiva saker att säga om vår Lotta efter hennes första praktiska jakt. Jag är så stolt så jag nästan spricker! Älskade Lotta är ju bara drygt ett år gammal!
2020-08-23
Älskade fina Chiwas
Jag får så ofta så fina bilder på Chiwas från hans matte Anette och nu äntligen kom jag mig för att lägga ut en bild på hemsidan så ni får se våra härliga gosse.
2020-08-13
Har-kullen fyller 10 år idag!
GRATTIS till er alla! Jag vet att ni blir ordentligt firade och får mycket gott att mumsa på.
2020-08-12
Nose Work tävling
Idag hade jag förmånen att få hjälpa Lottie på ett hörn med att vara tävlingsledare på hennes klass 1 TSM. Kul!!
2020-08-10
Hundmatshämtning
Nu är många frysar så där härligt fulla med den bästa hundmaten! Det gör mig så lycklig!
2020-08-08
Valpträff för våra nya valpköpare
Idag hade vi vår första träff för Kerstin och hennes valpar. Alla valpköpare har varit här tidigare så att vi har träffats men idag var första gången som Kerstin och valparna var med. Kerstin tog det hela med ro.
Härligt att få träffa er alla! Bra frågor och diskussioner blev det och det gillar jag.
2020-07-30
Viltspår
Vi har några ekipage nu som börjar bli klara för spårprov och jag är så tacksam att jag får förmånen att lägga träningsspår men det är ju så himla varmt så det är jobbigt för både hundar och förare i skogen.
2020-07-19
Valpkurs för Stjärnorna
Härliga valpar och vetgiriga valpköpare! Jag trivs tillsammans med er! Idag jobbade vi med sitt, sitt kvar och gå vid sidan och så diskuterade vi allt sånt som känns aktuellt för
familjerna just nu.
2020-07-19
Kullträff för våra Stjärnor
Första apporteringarna. Så lovande små apportörer och duktiga förare!!
2020-07-17
Kennelträff
Idag hade vi bokat in vattenträning på nivå för nkl b-prov och WT och Linn hade lyckats muta en uthållig och mycket tålmodig "roddmästare" som rodde båten och kastade dummies åt oss.
Jag tycker att det blev en kul eftermiddag och jag fick se många duktiga hundar.
2020-07-12
Dröm-kullen fyller 7 år idag!
GRATTIS till er alla! Hoppas ni blir ordentligt firade och får mycket gott att mumsa på. Vår älskade 7-åring Tuffa ligger just nu och mumsar på ett härligt köttben.
2020-07-10
Spencer och Jannicke har varit på skarpt sök efter narkotika
Riktigt bra jobbat av Spencer och Jannicke att under ett skarpt sök på en grundskola 1-9 göra ett fynd av en stor bit hasch. Våra älskade fyrfota vänner
kan verkligen hjälpa oss med viktiga saker!
2020-07-05
Den 4 juli föddes det åtta valpar hos oss!
Alla mår bra och mamma Kerstin är fantastisk!
2020-07-02
Valpdagboken
För någon dag sedan så startade jag en valpdagbok där ni kommer kunna följa Kerstin och hennes valpar. Valpdagboken finns i vårt forum.
Kerstin mår utmärkt och visar gärna sin fina mage!
2020-06-30
Föreläsning om exteriör hos flatcoated
Så himla smidigt flatklubben hade ordnat det så att man kunde sitta hemma vid sin egen dator och lyssna på föreläsning!
2020-06-27
Valpkurs för Stjärnorna
Äntligen är vi igång med valpkursen för våra yngsta! Så duktiga valpar och vetgiriga ambitiösa familjer!
2020-06-26
WT-träning
Alldeles för varmt i solen men hundarna klarade värmen bra. Det var en station i vatten och det gjorde det hela lite skönare för både hundar och förare.
2020-06-22
Våra Rosor fyller 1 år idag!
GRATTIS på födelesedagen!! Hoppas att ni alla får en fin dag och mycket gott att mumsa på!
2020-06-21
Tyra och husse Per är nu Certifierat Ekipage Skogsbrandhund!
Gå gärna in på Kyllesjö Hunds hemsida om ni vill veta mer om Skogsbrandhund. Deras hemsida finns här:
Kyllesjö Hund
Så här berättar Malin som har hållt i utbildningen som Tyra och Per gått för att bli Certifierat Ekipage Skogsbrandhund:
Världens första skogsbrandshundar utbildas i Sverige.
Under fjolårets varma, torra sommar brandhärjades 25 000 hektar skog. Om man hade haft tillgång till skogsbrandhundar under eftersläckningsarbetet så hade den ytan sannolikt reducerats avsevärt.
I det som är släckt och kallt på ytan kan det nämligen pyra länge under jord. Glöd kan ha följt trädens långa rötter flera meter djupt ned i jorden. Där nere kan det kan det glöda många dygn och om glöden syresätts, kanske genom att vinden friskar i eller vänder, då blossar branden upp igen.
Att upptäcka och släcka dessa glödhärdar är mycket viktigt men svårt då de ofta är osynliga. De ryker inte ovan mark, lukten är visserligen distinkt, men då hela landskapet luktar bränt är det svårt att lokalisera dem. Om man inte har en utomordentligt välutvecklad näsa… som en hund.
Att utbilda en skogsbrandhund tar tid, då ingenting får lämnas åt slumpen.
I juni 2017, under ett eftersläckningsarbete vid en mosse utanför Jönköping, föddes idén om att utbilda hundar arbete efter skogsbränder.
Malin Kyllesjö, som är certifierad hundinstruktör, finner frågan intressant och diskuterar utmaningarna med insatsledaren, skogsbrandsspecialisten Annie Johansson. Därefter kontaktar hon Martin Johansson som arbetar med specialsökhundar. Tillsammans värker de fram såväl svaret på frågan som en hel utbildning för skogsbrandhundar.
Flest lektionstimmar avsätts förstås till hundarnas arbete med uthållighet och precision i markering. Andra viktiga ämnen är säkerhet och skogsbrandkunskap. Det är ekipaget som utbildas och de arbetar alltid som ett team.
I dag juni 2021 finns 5 certifierade ekipage skogsbrandhund.
Ett delmoment för certifiering är ”arbete i skarpt läge”. Det betyder att hunden ska klara ett godkänt sök under eftersläckningsarbetet efter en riktig skogsbrand. Där sätts ekipaget på prov i flera timmar.
Räddningstjänsten, markägarna och Myndigheten för Samhällskydd och beredskap (MSB) har imponerats. De har förstått skogsbrandhundarnas stora potential så på MBS:s webbplats finns numera en video för sakkunniga som visar våra ekipage i arbete.
Flera medier har rapporterat och verksamheten har även uppmärksammats internationellt. Malin har fått förfrågningar om utbildningen från såväl USA som Nya Zeeland och Danmark. Intresset förväntas även bli stort från de försäkringsbolag som försäkrar skog.
Facebook: @Kyllesjö Hund
Instagram: kyllesjo_hund
Hemsida: Herrgardskliniken.se
Idag är jag extra stolt som uppfödare till fina Tyra!
2020-06-19
Vi önskar alla en härlig midssomar
Våra hundar kommer se till att det blir mycket bad i det härliga vädret!
2020-06-15
Jawa och matte Anna är nu Certifierat Skolhundsteam!
Ni är så himla duktiga!!
Jag tycker att det är så häftigt när hundar får hjälpa till med viktiga saker och att hundar jobbar i skolan
och hjälper barn är så fantastiskt! Jawa
har dessutom verkligen perfekt personlighet för uppdraget och jag vet hur uppskattade Jawa och Anna har varit av både barn, föräldrar och personal när hon gjorde sin praktik
skola. Jag önskar att fler barn fick möjlighet att få hjälp av en hund i skolan.
Idag är jag extra stolt som uppfödare till fina Jawa!
2020-05-29
Gemensam träning
Några härliga timmar i solen med hundträning, kaffe och god kaka och ett gäng Atomosar! Mysigt!
2020-06-08
Hundmatshämtning
Vi beställer mat från två olika leverantörer och dom använder olika företag som kör med frysbil och både hade problem med att leverera så kl 16 är det
sagt att vi ska ha packat maten till alla som har beställt och leveranserna kom kl 15.15 och kl 15.30. Det blev lite stressigt! Tack snälla Pernilla för att
du hjälpte mig idag!!
2020-06-06
WT-träning för Atomosar
Fem stationen med apporteringsuppgifter att lösa. I vatten och vid vatten var temat på flera stationer idag. Och så skott och kast som ingen fick hämta. Duktiga ekipage!
2020-06-03
Nya valpköpare
Nu så här innan det föds valpar hos oss så brukar vi se till att hinna med och träffa några som är intresserade av valp från oss. Det är så kul med alla dessa möten med
olika människor och alla olika frågor och funderingar som tas upp. Jag gillar verkligen att få följa med på den resa alla gör när de drömmor om att välkomna en ny familjemedlem.
2020-05-31
Kullträff för våra yngsta som vi kallar för Stjärnorna
Riktigt härliga valpar och ambitiösa familjer! Så himla mysigt att träffa er alla! Hoppas att vi ses snart igen och däremellan uppskattar jag så klart att
få höra om allt som ni tittar på!
2020-05-29
Gemensam träning
Några härliga timmar i solen med hundträning, kaffe och god kaka och ett gäng Atomosar! Mysigt!
2020-05-29
Viltspår
Det är några ekipage som nu tränar mot målet att starta på spårprov och jag är så glad och tacksam att jag får lägga spår och sen gå med när ekipaget löser uppgiften.
2020-05-25
Inga valpar....
Vi har gjort ultraljud och hittar tyvärr inga valpar i Empress mage....så himla trist! Jag ville ju så gärna ha fina Empress+Laddie-barn!
2020-05-21
Grattis Så-kullen
Idag fyller ni 9 år och jag hoppas att ni får en riktigt mysig födelsedag och mycket gott att mumsa på!
2020-05-19
Här är våra tre Stjärnor!
Vi har fått förmånen att få hjälp av vår kompis och makalösa fotograf Jon Norrgren att ta uppställningsbilder på våra
senaste valpar. Vi kallar kullen för Stjärnorna.
Atomos Imposanta Stjärna "Legolas"
Atomos Notabla Stjärna "Athos"
Atomos Prominenta Stjärna "Stina"
2020-05-15
Våra Stjärnor har flyttat
Fy va tomt det blev här hemma. Nu önskar vi alla valpar och deras nya familjer lycka till och så ser vi fram mot att ses snart!
2020-05-14
Med I-kullen fyller 12 år idag!
Stort grattis på födelsedagen!!
2020-05-13
Aktiviteter för Atomosar?!
Jag har fått så få önskemål om aktiviteter så därför är det lite tomt i planeringen just nu men jag bokar ju så klart väldigt gärna in det som ni önskar så hör
av er om ni vill att jag ordnar något särskilt. Under hundmatshämtningen var det några av er som verkar vara sugna så jag hoppas på att få några mail med förslag!
2020-05-13
Valparna är veterinärbesiktade
Alla tre är friska och det känns så skönt. I synnerhet nu när jag har lovat bort alla valparna så får det ju bara inte vara något fel på en av dom för att ringa det
samtalet till en förväntansfull familj är fruktansvärt jobbigt.
2020-05-11
Hundmatshämtning
En ganska stressig dag men vi fick ihop allt i sista sekund. Vi har ju corona-anpassat hundmatshämtningarna och det innebär en hel del merjobb
för oss och idag hade jag missbedömt tidsåtgången lite. Men det blev som tur är ganska bra i alla fall! Stort tack till Pernilla som hjälpte mig
hela dagen!
2020-05-10
Mer viltspår med Rosorna
Ännu en mysig valpträff för våra yngsta som vi kallar för Stjärnorna. Vetgiriga valpköpare och många bra frågor.
2020-05-08
Valpträff
Så roligt att alla som var med på kullträffen ville ses denna söndag så vi kunde spåra tillsammans. Jag fixade två spår var åt alla och det var så roligt att få se
allas utveckling.
2020-05-07
Kerstin och Dusty ger oss förhoppningsvis ett gäng valpar i början av juli!
Det är jättespännande att det nu är dags för Kerstins första kull. Hon är en riktigt härlig tjej som jag fastnade för redan när hon var några veckor gammal.
Dusty har allt jag önskar mig hos en flathane så jag har bara superlativ att säga om honom. Att
Kerstin nu förhoppningsvis får en kull med Dusty ska bli så kul för dom två har alla förutsättningar att ge oss ett gäng sunda, trevliga arbetsvilliga valpar.
I stamtavlan heter Kerstin så här Atomos Hoppsan Kerstin och Dusty heter Atomos Superstar i stamtavlan.
2020-05-06
Livet-kullen fyller 12 år
Stort grattis till er som idag firar er 12 årsdag!!
2020-05-06
Kullträff för Rosorna
Idag ordnade jag en kullträff för Rosorna och alla fick gå ett första viltspår. Riktigt lovande unga spårhundar och engagerade förare. Kul!
2020-05-03
Valpträff för Stjärnorna
Ännu en mysig valpträff för våra yngsta som vi kallar för Stjärnorna. Vetgiriga valpköpare och många bra frågor.
2020-04-28
Empress är inseminerad!
Pappa till valpar blir härliga Laddie som i stamtavlan heter Flatgold’s Ladies Love Country Boys. Stort tack till Inka, kennel Flatgolds, för att du ger oss förmånen!
Valparna föds i slutet av juni.
2020-04-25
Första valpträffen för Stjärnorna
Det är bara tre valpar så det blir mysiga små träffar när det här gänget ses.
2020-04-20
Jaktstugan
Jaktstugan är ett tillfälle att få hjälp med sånt som är lite klurigt att lösa och vi jobbar med det som varje ekipage önskar sig.
2020-04-18
Bästa-kullen fyller 8 år
Jag önskar er alla en riktigt härlig födelsedag!
2020-04-15
Hundmatshämtning
Äntligen fick vi leveransen i tid så vi hann packa innan alla kom. Stort tack till Pernilla som var med och hjälpte mig hela dagen.
2020-04-10
Räddningshundsträning
Kursen som Ticket och jag går är just nu inställd pga corona men vårt kursgäng är entusiastiska och tränar flitigt ändå så idag var vi iväg och tränade med många från kursen.
2020-04-09
WT-träning
Härligt att starta påskhelgen med wn WT-träning tillsammans med goa Atomosar.
2020-04-08
Glad Påsk
Vi önskar er alla en Glad Påsk! Det är tur att det är hund som är min hobby nu i dess corona-tider när det är så mycket som blir inställt. Att vara ute och träna hund går alldeles utmärkt och vårsolen
är underbar!
2020-04-05
Mera Nose Work
Idag hade vi kurs med Nose Work och dom som hade anmält sig hade lite olika erfarenheter sedan tidigare. Vi började med två övningar där vi tillsammans tittade på belöningsplacering och tajmning.
Dessa övningar gav också tillfälle att klura på lite annat och just belöningsplacering och tajmning gick riktigt bra tycker jag. Sedan hade jag förberett 10 sök av olika slag. De som inte gjort min bordövning
tidigare fick börja med den. Sen tog alla söken i valfri ordning och ville man köra ensam på okänd doftkälla så gick det bra och ville man gå med gruppen och titta på varandra så gjorde
man det. Alla valde att göra både ock för det hanns ju med eftersom kursen var tre timmar.
2020-04-05
Idag fyller PP-kullen 5 år!
GRATTIS på födelsedagen! Tänk att ni redan är 5 år!
2020-04-05
Nya valpköpare
Det är så himla kul att få träffa alla de nya förväntansfulla valpköpare som vill köpa hund från oss! Vi träffar både dom som vill ha valp nu och dom som vill ha valp längre fram.
Det är några veckor kvar innan vi välkomnar några
att träffa Tuffa och valparna men i helgen har jag träffat två nya familjer vid det vi kallar "Sommarstugan" dvs där som vi ordnar aktiviteter för våra valpköpare.
Det är så spännande med dessa första möten tycker jag.
Tänk att det kan vara starta på många givande år tillsammans!
2020-04-04
Idag fyller Lakritstrollen 3 år!
GRATTIS på födelsedagen! Jag är säker på att ni blir ordentligt firade!
2020-04-02
Dirigeringskurs
Vilket hemskt väder vi hade ikväll!! Storm, regn, hagel och snö! Flera stora träd blåste omkull medan vi tränade så det brakade rejält i skogen medan vi var på fältet. Men
det blev lite dirigering i alla fall. Både övningar i att skicka sin hund vid rätt tillfälle och så en variant på det vi kallar "päronträd" där alla hade utlagda dummies i
upp till fyra riktningar och vi turades om att skicka hundarna med en tanke på att göra det lagom svårt för alla oavsett tidigare erfarenheter.
2020-04-01
Idag fyller Super-kullen 2 år!
GRATTIS på födelsedagen! Jag önskar er alla en riktigt härlig födelsedag!
2020-03-30
Paus på räddningshundskursen...
Den räddningshundsutbildning som jag och Ticket går nu har blivit pausad pga corona. Så himla trist! Räddningshundskurs är så härligt intensivt och vi ska träna minst tre pass i
veckan under kursen så nu blev det ju så snopet. Men känner jag mina kurskamrater och mina instruktörer rätt så kommer vi fortsätta att träna tillsammans ändå.
2020-03-30
Idag fyller Saltkråkan-kullen 3 år!
GRATTIS på födelsedagen! Jag är säker på att ni blir ordentligt firade!
2020-03-29
WT-träning
Det är stort intresse för WT-träningar just nu så självklart ser jag till att erbjuda det som mina valpköpare vill.
En solig söndag tillsammans med valpköpare och deras duktiga hundar! Det är en riktigt härlig söndag tycker jag!
2020-03-29
Idag fyller Bönorna 2 år!
GRATTIS på födelsedagen! Jag är säker på att ni blir ordentligt firade!
2020-03-28
Räddningshundskurs
Jag går en räddningshundskurs med Ticket just nu och vi har tränat flitigt mot målet att göra Delprov 1 i maj men idag fick vi veta att alla prov är inställda minst fram till 31/5. Så himla trist!
Men träna kan vi ju så klart göra ändå men jag gillar ju att ha mål att träna mot.
2020-03-27
Jaktstugan
Jaktstugan är ett tillfälle där man får hjälp med sånt som man vill jobba lite extra med.
I min högstadieskola hade vi en eftermiddag i veckan när det fanns en entusiastisk matte/NO-lärare som efter skoltid kunde hjälpa till med det där som vi inte riktigt hade förstått på lektionen.
I min skola kallades det Mattestugan och därav namnet Jaktstugan. Vi kör några tillfällen med Jaktstugan så får vi utvärdera sedan om vi tycker att det är en bra idé.
Tanken är alltså att vi ska träna på sådant som ni behöver hjälp att lösa, utveckla och finslipa. Alla kommer med sina egna önskemål och jag försöker få till ett upplägg som blir bra för alla.
Det ska inte vara något nytt utan något som är
lite klurigt och som vi behöver jobba extra med. Idag blev det mest stadga, transport och dirigeringar.
2020-03-26
B-provet inställt
Så trist! Idag fick vi besked om att SSRK Östra ställer in alla b-prov i vår.
2020-03-22
WT-träning
Kul att så många vill vara med och träna! Tyvärr så ställs vårens WT in så vi får träna på och hoppas på att alla som är tävlingssugna får möjlighet att starta på WT i höst istället.
2020-03-21
Nu har vi valpar i lådan!
Vår fina mamma Tuffa tar hand om sina små på bästa sätt och alla mår utmärkt! Bilder kommer så snart jag har sovit lite... Följ gärna vad som händer i vår valplåda genom
att läsa valpdagboken som jag skriver i vårt forum.
2020-03-18
Älskade Melker
Det har varit så svårt för mig att ta beslutet men idag kramade vi vår älskade Melker en sista gång. Nästan 12 år fick vi ha vår bruna fina kramgoa kille i våra liv.
2020-03-17
Kurs som vi kallar "Hunden vid förarens sida i terrängen"
Vi tittade på ett ekipage i taget för att reda ut vilka verktyg som förare använder spontant och hur vi kan förbättra dom. Vi gjorde några övningar
där vi testade både störningar, terräng och även att för hunden oväntat belöna fint jobb med en markering att hämta. Sen gick vi "Följa John" genom terrängen tillsammans och
avslutade på åkern med några övningar med störning av dummies och så genom att utnyttja de situationer som uppstår när man har arbetssugna hundar på ett fält tillsammans med kastade dummie.
2020-03-15
Nose Work kurs
Sista kurstillfället och nu hade jag skojat till övningarna ordentligt. Jag ville att vi skulle reda ut vad hundar och förare egentligen lärt sig. Det blev lite svårt för vissa ekipage ibland. Av
olika skäl. Men när vi summerade alla övningarna så blev jag så
glad när alla ekipage hade hittat och markerat eukalyptus på ett bra och tydligt sätt i alla fall på några övningar. Mycket gott resultat för alla ekipagen tycker jag!
2020-03-10
Föreläsning om insemination
Alltid kul att komma iväg på lite föreläsning och kvällen ordnades av SLU och temat var insemination.
2020-03-09
Hundmatshämtning
Även denna gång var det strul med leveransen. Det blir så galet stressigt men vi löste det så att alla fick med sig vad de hade beställt. Jag somnar så lycklig dessa kvällar när jag vet
att så många frysar är fulla med den bästa hundmaten! Stort tack till Pernilla som var med och kämpade tillsammans med mig hela dagen och så kom Sandra
av en slump samtidigt som den sena leveransen och kunde hjälpa oss. Vad hade jag gjort utan er?!
2020-03-08
WT-träning
Oj va många som ville vara med idag!! Så himla kul att ha er alla här och jag hoppas på att det gav mersmak så att i alla fall några känner sig redo att starta på WT i vår!
2020-03-01
Grattis Dina på 2-årsdagen!
Vår älskade danska prinsessa är redan 2 år! Jag vet att du blivit ordentligt firad!!
2020-03-01
Nose Work kurs
Kurstillfälle tre. Nu testade vi om hundarna hade lärt sig att hitta och markera eukalyptus utan att det fanns en smula korv vid doften.
2020-02-29
Provledarutbildning för B-prov
Jag har länge velat gå provledarutbildning hos SSRK för att kunna arrangera B-prov och nu blev det äntligen av. Det här ska bli kul!! Vi har ju bra provmark hemma på tomten
och det känns så inspirerande att jag nu kan ordna officiella b-prov här hemma.
2020-02-21
Nya valpköpare
Vi är redan många som ser fram mot valpar här hos oss i vår och idag träffade jag en av dom nya familjerna. Det är så kul med alla nya människor som jag får förmånen att träffa och det blir
ju ännu roligare att få valpar när jag långt i förväg vet att dom kommer erbjudas så fina hem!
2020-02-21
Gemensam träning
Idag hade vi gemensam träning här på Bärmöudd och det innebär att vi ses och tränar våra hundar tillsammans och så har vi så klart en fikakorg med oss. Kul att så många kunde komma!
Solen sken från klarblå himmel och det gjorde ju dagen extra trevlig så klart! Jag hade med mig Empress och hon är verkligen mognat och är så rolig att träna med.
2020-02-16
Årets första kennelträff
Jag bjuder alltid in till en kennelträff i början av ett nytt år för jag tycker att det är mysigt att ses och summera året som gått och smida planer för det nya året tillsammans med mina valpköpare.
Alla sätter upp nya mål och det är ju så mycket roligare när man gör saker tillsammans. Jag kommer så klart hjälpa till med allt som mina valpköpare önskar. Summan av alla mål och planer
är att under år 2020 kommer det bli träning mot målen att bla starta på WT, B-prov och NW!! Det ska bli riktigt kul!!
För att uppmärksamma de ekipage som fått fina meriter under 2019 så hade jag fixat några rosetter
till dom som kom på den här kennelträffen.
2020-02-16
Nybörjarkurs i Nose Work
Alla hade gjort läxan mycket bra och idag har vi introducerat doften eukalyptus. Alla hundar och förare gör så många bra saker och jag ser så mycket fram mot att få
fortsätta att se dessa lovande ekipage utvecklas inom NW!
2020-02-03
Hundmatshämtning
Härligt att det ibland går så lätt och smidigt! Mina frysar och många fler frysar är nu proppfulla med den bästa hundmaten. Det gör mig så lycklig. Tack alla för en
trevlig dag och ett extra stort tack till Pernilla som var med och hjälpte mig med hundmaten hela dagen.
2020-02-02
Nybörjarkurs i Nose Work
Idag började jag en ny kurs för Atomosarna. Det är ju så roligt med nose work!
Duktiga hundar och förare så det här ska bli riktigt kul! Jag längtar till nästa kurstillfälle men det känns så långt att vänta
två veckor så jag hoppas att jag får några rapporter under tiden.
2020-01-27
Tuffa är nu parad med Dusty!
Valparna föds i slutet av mars och vill flytta till nya familjer i slutet av maj.
Jag är så förväntansfull och ser verkligen fram mot den här kullen! Tuffa och Dusty är två fantastiska individer som har det som jag
söker hos en flat. Dom båda är friska och har ett mycket trevligt temperament. Alltid snälla och vänliga och alltid behagliga att ha
med sig överallt. Både Tuffa och Dusty har utmärkta retrieveregenskaper och gör det man ber dom om. Mycket arbetslust tillsammans med
en utmärkt välfungerande av- och på-knapp.
Valparna får en riktigt bra stamtavlor tycker jag. Atomos Drömpuzzel heter Tuffa i stamtavlan och Atomos Superstar heter Dusty
i stamtavlan. Att para ihop dom här stamtavlorna var ju tanken när vi använde Dustys pappa. Det roligaste jag vet är att
"lägga pussel med stamtavlor" och oftast parar jag de ofödda valpar i mitt huvud flera år innan de ens föds. Våra två fantastiska
tikar Puzzel och Amy blir nu mormor och farmor till dessa valpar och det gör ju att det känns lite extra bra i mitt hjärta.
2020-01-16
Kerstin har gjort ögonlysning
Jag och Kerstin var idag iväg och kollade henens ögon. Jag hoppas så klart på att Kerstin ska få valpar hos oss en dag och därför behövde henns ögon kollas av en veterinär som är specialist på ögon.
Veterinären satte krysset i rätt ruta så nu kan vi börja drömma om Kerstin-valpar!
2020-01-11
Hopp-kullen fyller 2 år!
GRATTIS alla fina i Hopp-kullen! Kerstin blev firad med en stor tårta som Ellen gjort till henne och Kerstin mumsade i sig den väldigt snabbt.
2020-01-10
Extra-kullen fyller 8 år!
Oj va tiden går! GRATTIS på födelesdagen! Jag minns så väl när ni föddes för ni överraskade oss alla med att komma ut både lite tidigt och dessutom väldigt snabbt och lätt!
2020-01-09
Hundmatshämtning
Jag blev ensam med all hundmat idag så det blev lite körigt att få ihop allt men det löste sig tillslut!
2020-01-02
Nytt år och nya roliga aktiviteter!
Jag har börjat klura på vad jag ska erbjuda mina valpköpare för aktiviteter under 2020 så om ni har önskemål så hör av er!
2019-12-31
Gott Nytt År!
Vi ser fram mot allt skoj som vi ska hitta på tillsammans under 2020!
2019-12-24
God Jul!
Vi önskar er alla en riktigt GOD JUL!!
2019-12-11
Kerstin
Idag flyttade Kerstin tillbaka till oss och det ska bli så roligt att få ha henne här hos oss igen!
2019-12-11
Grattis Pippi-kullen!
Idag fyller ni 4 år och jag är helt säker på att ni blir ordentligt firade!
2019-12-10
Hundmatshämtning
Idag blev det riktigt spännande. Vi köper från två olika leverantörer och båda brukar skicka med samma företag så att en chaufför kommer med båda leveranserna men idag kom bara den ena beställningen.
När jag ringde och frågade så visade det sig att leverantören hade börjat skicka med ett annat företag. Efter många om och men fick vi besked om att hundmaten skulle komma vid kl 17 eller senare.
Eftersom vi ska ha allt färdigpackat så alla kan hämta den mat som de beställt från kl 16 så blev det ju lite stressigt... Som tur var så lyckades chefen
för tranpsorten lösa så att blien kom till oss kl 15.15. STORT TACK till Pernilla, Ulrika, Ruben och Jocke som stod redo och hjälpte mig då för vi fick faktiskt till allt i tid tackvare er
strålande insats!!!
2019-12-08
Kursen som jag ordnar för Rosorna just nu kallar vi för "Jaktlydnad och lite apportering"
Vi jobbade vidare med stadga och transport. Stadgan funktar riktigt bra på dessa unga lovande hundar men transporter behöver vi fila lite till på innan det känns tryggt och lugnt.
Apporteringarna går framåt för alla så det behövde vi inte lägga kurstid på idag. Passitivten funkar magiskt bra hos dessa hundar och dom går från aktiv till passiv helt automatiskt.
Imponerande!
2019-12-06
Jaktkurs
Vi hade bokat ett extra tillfälle på den jaktkursen som vi hade i höstas och idag finslipade vi vidare på det som vi jobbade med under den kursen. Det är så roligt att
ha så här duktiga ambitiösa ekipage på kurs!
2019-12-04
Föreläsning med Kent Svartberg
Det var länge sedan jag lyssnade på Kent så det var intressant att höra hur han idag tänker kring relation och olikheter hos hundar och förare.
2019-11-27
Gemensamträning här på Bärmöudd
Några valpköpare ville ha min hjälp med lite jaktträning och så bjöd jag in alla andra också via vårt forum så vi blev några stycken som träffades idag. Jag hade med mig Empress
och hon har utvecklats väldigt fint på senaste tiden.
2019-11-25
Föreläsning om specialsök
Alltid spännande att lära sig men av andras erfarenheter så jag är glad att jag hade möjligheten att gå på Camilla Van Tols föreläsning.
2019-11-24
Kursen som jag ordnar för Rosorna just nu kallar vi för "Jaktlydnad och lite apportering"
Vi pratade om och gjorde några övningar på temat grunderna i stadga, transport och lite tips på hur man kan jobba för att få till fina avlämningar. Passiviteten skötte alla superbra så idagsläget behöver
vi inte klura så mycket på det.
2019-11-23
Räddningshundskurs med Ticket
Idag började Ticket och jag vår räddningshundskurs. Vi både är så förväntasfulla!!
2019-11-21
Kursen som vi kallar "Hunden vid förarens sida"
Sista kurstillfället. Idag jobbade vi mycket med att göra bra möten med människa och sen människa med hund. Vi hade också målet att göra delar av övningarna med lös hund.
Som avslutning hade vi ett gäng dummies som störning och så jobbade vi med alla hundar samtidigt så det blev härligt rörig men det funkade över förväntan tycker jag. Det
märktes dock att några hundar tyckte att det var ganska jobbigt att hålla koncentrationen under det ganska långa och krävande passet.
2019-11-16
WT-träning
Va många som ville vara med idag! Kul! Jag hade förberett fem stationer med lite olika klurigheter. Våra yngsta i kullen vi kallar för Rosorna fick vara med och vara passiva och några förare
var med mig när jag kastade dummies och passade på att fråga sånt som de klurar på.
2019-11-16
Kullträff med apportering och stadga
Idag hade vi en kullträf för Rosorna. Vi jobbade lite med apportering först och sen visade jag en bra grundläggande övning i stadga.
2019-11-14
Kursen som vi kallar "Hunden vid förarens sida"
Kurstillfälle två. Idag gjorde jag några störningar i form av goda saker, roliga saker och så hundmöten. Vi pratade om hur man kan jobba både för att lösa en situation som uppstår
men också hur man bör jobba för att lösa så att man långsiktigt jobbar för att hunden inte ska bry sig om sådana saker på en promenad.
2019-11-12
Ögonlysning Empress
Veterinären var så nöjd med Empress ögon och som vanligt så skötte sig Empress så exemplariskt. Jag är så stolt över vår rara tjej. Vår yngsta dotter Matilda, 5 år, var med hos veterinären
och Matilda höll i Empress koppel hela tiden. Det var många hundar och trångt i väntrummet men Empress var helt lugn och la sig fint vid Matildas fötter. Älskade fina kloka Empress!
2019-11-10
Idag var jag och Ticket och gjorde ett L-test för räddningshundar och vi blev godkända och får nu börja en 1½ år lång utbildning mot målet att vi ska bli ett räddningshundsekipage. En räddningshund
kan hjälpa till när människor tex går vilse eller stängs in i rasområden. Äntligen ska jag få utbilda en räddningshund till! Räddningshundsträning är det roligaste jag vet!
2019-11-09
Zoofr-mässa
Idag var jag på zoobranschmässa där utställarna är många av de stora återförsäljarna visar sina produkter. Men jösses vad det finns hundprylar!
Min tanke var att hitta lite nya roliga braiga saker att köpa in till butiken och
några guldkorn hittade jag.
2019-11-07
Kursen som vi kallar "Hunden vid förarens sida"
Ikväll var det dags för en ny omgång av den här kursen. Vi ska träffas tre torsdagar och från tidigare kurser så vet jag att det brukar bli väldigt fina resultat under en sådan här kurs.
Vi hjälps åt att hitta de verktyg som alla trivs med att använda och så sätter vi upp mål som är rimliga för varje ekipage. Både delmål att njuta av och
så dom där stora lite mer målsiktiga målen som vi jobbar mot.
2019-11-06
Hundmatshämtning
Idag fixade jag och Pernilla till det hela ganska så smidigt trots att det bara var hon och jag. Skönt trött när kvällen kommer och så lycklig över att jag vet att
så många frysar nu är fulla med den bästa hundmaten!
2019-11-05
Disney-kullen fyller 4 år!
Grattis på födelsedagen! Jag vet att ni blir ordentligt firade!
2019-11-03
Vidareutbildning för specialsöksintruktörer
Sista kurstillfället för den här gången på utbildningen för oss specialsöksintruktörer men jag kommer vilja lära mig ännu mer om specialsök så fortsättning följer!
2019-11-02
Jaktkurs
Sista kurstillfället för den här gången. Vi jobbade vidare med skiften mellan arbeten och det blev en härlig blandning mellan sök, närsök, markering och dirigering och så avslutade
vi med några vilt. Ett gäng entusiastiska förare som vill att jag ordnar mer kurs på detta tema och självklart gör jag gärna det!
2019-10-29
Stort sök
En valpköpare ville ha min hjälp med att träna stort sök och några andra ville också vara med så det blir en trevlig stund med hundträning och kaffe!
2019-10-27
Räddningshund
Idag har Ticket och jag klarat förtesterna för räddningshundar (alltså att hunden letar efter försvunna personer i skogen eller
efter någon typ av olycka). Så himla roligt!! Det är riktigt tuff konkurrens till denna
antagning så instruktörerna är bekymrade över att så små detaljer får avgöra vilka som får gå vidare. Jag är så himla glad att Ticket och jag är en av dom som får fortsätta!
Under många år i slutet av 90-talet och fram till 2003 så ägnade jag mig ofattbart mycket åt att träna räddning med mina hundar och det är det absolut
roligaste som jag vet när det gäller hundträning. Att nu få chansen att se om det kan passa Ticket att bli räddningshund känns så spännande. Han har fina
egenskaper men han är ännu ung och väldigt oerfaren på denna typ av träning så han få lite tid att utvecklas. Nu väntar ett L-test och
jag vill sååå gärna att han blir godkänd!!
2019-10-23
Ögonlysning
Idag var Ticket och Tuffa till veterinären och kollade sina ögon så nu är dom båda godkända för avel.
2019-10-19
Jaktkurs
I det härliga höstvädret hade vi jaktkurs nere på udden. Vi jobbade mest med närsök och markeringar och så lite vilt och några skott. Riktigt härliga ekipage
som vill utvecklas så tiden gick så fort!
2019-10-18
Kurs i brukslydnad
Nu har jag varit på kurs! Jag åker gärna på kurser hos för mig okända instruktörer för det finns så mycket att lära av att klura på hur andra tänker hund och tränar hund.
Nu har jag varit tre dagar på brukshundsklubben och lyssnat på Monica Henriksson, som föder upp schäfer och aussie under kennelnamnet Rapports. Monica
har tävlat framgånsrikt i väldigt många år så det var kul att få chans att grotta ner mig riktigt i hur hon jobbar. Inte riktigt mitt sätt att tänka hund men det
är ändå väldigt lärorikt att ta del av andras erfarenheter.
2019-10-13
Ticket fyller 2 år
Vår älskade kille från England är redan 2 år!!
2019-10-12
Valpkurs
Sista kurstillfället för den här gången. Vi jobbade vidare med sitt kvar, gå vid sidan och inkallning. Många bra frågor och funderingar togs upp och då
är det ju extra kul att ha kurs tycker jag. Valparna är riktigt härliga så jag längtar tills vi ses nästa gång.
2019-10-12
Kullträff för Rosorna
En liten träff på temat apportering där alla fick hämta dummies men när det gäller flattar så är det ännu viktigare att träna passivitet och få
alla förare att förstå vikten av att hunden redan från början lär sig att vänta på sin tur. Alla valpar svarade bra på min lilla
övning med kastade dummie som ingen fick hämta så det finns fina förutsättningar i de små valparna.
2019-10-11
Träning med vilt
Några valpköpare har bett mig om att vi ska träna med vilt tillsammans så idag hade jag med några tinade vilt när vi sågs.
Duktiga hundar och engagerade förare. Det finns flera i kenneln som kommer kunna vara redo att starta b-prov under 2020 så den grytan kommer jag elda under!!
2019-10-10
Dusty har prickfria ögon
Idag var jag och Dusty och kollade hans ögon för det måste man alltid göra mindre ett år innan parning och självklart ska denna synnerliga trevliga gosse ha valpar
hos oss i framtiden.
2019-10-07
Specialsöksinstruktörsutbildning
Idag var det ännu en träff på den vidareutbildning för specialsöksinstruktörsutbildning som jag går just nu.
Temat för dagen var taktik och så tittade vi på hundar som jobbade med
oåtkomliga gömmor men i det här härliga
gänget så blir det en massa givande diskussioner om allt möjligt inom detta område.
2019-10-07
Pralinerna fyller 5 år!
GRATTIS till våra två fina Praliner!!
2019-10-05
Jaktkurs
Idag startade jag en jaktkurs för några valpköpare. Vi jobbade med stortsök, dirigering i from av
det vi kallar päronträd. Vi hann också med lite vattenjobb. Vi avslutade med några skott och
så fick hundar apportera några vilt som jag hade tagit med.
2019-10-03
Som djur-kullen fyller 10 år idag!!
GRATTIS till er alla!! Jag vet att ni blir ordentligt firade idag!!
2019-10-02
Hundmatshämtning
Så mysigt att få träffa så många Atomosar på samma dag! Idag blev många frysar fulla med den bästa hundmaten och det gör mig så lycklig!! Stort tack till Pernilla som var med och
hjälpte mig hela dagen!
2019-09-28
Valpkurs för Rosorna
Andra kurstillfället. Vi pratade om sitt och sitt kvar. Gå vid sidan. Inkallning. Det blir mycket teori på mina valpkurser för jag tycker att det är viktigt att alla förare hittar sitt sätt
att tänka hund och träna hund. Det är svårt att lära en hund något om man själv inte vet hur man vill göra, så tänker jag.
2019-09-28
Kullträff för Rosorna
Idag gjorde vi de första apporteringarna. Riktigt bra blev det och hundarna hade härlig inställning och bra näsor och förarna jobbade mycket bra. Det här ska bli kul!!
2019-09-26
Lopporna fyller 3 år!
Våra tre underbara Loppor! GRATTIS på födelsedagen!!
2019-09-21
Alla fick grad A!!
Vilken lycka!! Vi röntgade hundar med tre olika stamtavlor i onsdags. Så otroligt viktigt avelsmaterial för oss så oj va jag har hållt tummarna hårt! Nu äntligen kan vi börja drömma om
att förvalta dessa fantastiska hundar i vår avel!! Jag är så innerligt glad idag!!
2019-09-18
HD-röntgen
Tack alla fina ni som kom och röntgade era fantasiska hundar idag! Jag bokar alltid en gemensam tid för syskonen för jag vill gärna vara med och se bilderna. Viktigt framför allt om vi ser något
oönskat. Idag såg allt jättebra ut så nu håller vi tummarna för att SKK också tycker det!
2019-09-14
Valpkurs för Rosorna
Idag började vi en liten valpkurs för våra yngsta i kullen som vi kallar för Rosorna. Bra frågor och funderingar togs upp och jag berättade lite
om hur jag tänker kring inlärning av sitt och gå vid sidan.
Valparna sov så gott under tiden. Den bästa erfarenhet som en flatvalp kan få av att vara kurs är att man myser och kopplar av tillsammans med sin familj. Så himla duktiga allihop!
2019-09-13
Grad A
I onsdags röntgade vi höfterna på Elliot, Atomos Superhero, och hans resultat syns nu och hans höfter fick grad A dvs högsta betyg!
2019-09-12
Nya roliga avelsplaner!
Nu börjar några bitar falla på plats inför kommande kullar och det är så spännande planer på gång! Mer info här på hemsidan när allt är klart!
2019-09-10
Smulorna fyller 3 år!
GRATTIS på födelesedagen! Jag tror att ni alla blir ordentligt firade idag!
2019-10-07
Specialsöksinstruktörsutbildning
Jag går en vidareutbildning för specialsöksinstruktörsutbildning och det är så givande att träffa det
här gänget för det blir många givande diskussioner.
2019-09-01
Mango trivs i sin nya familj!
Sedan några dagar tillbaka så bor Mango tillsammans med Caroline och Danne och hundkompisen Gizmo på en gård tillsammans där det också bor hästar och en katt. Det
har funkat över förväntan på alla sätt tycker vi alla så idag när jag pratade med Caroline så kände vi båda att det inte finns några orosmoln kvar längre.
Det är alltid lite pyssel att få in en vuxen hund på ett bra sätt i en familj där det redan finns djur av olika slag men Caroline och Danne har gjort det mycket bra tycker jag. Det känns
så skönt att Mango nu får chansen att i lugn och ro starta ett nytt liv efter allt som han har varit med om. Älskade Mango!
Stort tack till alla er som erbjudit Mango ett hem. Helt otroligt att mitt inlägg på facebook har delats 2206 gånger och att det har nått ut till 182342 personer och att över 900
personer har hört av sig och erbjudit Mango ett hem!
2019-09-01
Kullträff för Rosorna!
Första träffen sedan valparna flyttade härifrån. Så himla roligt att få träffas och det finns ju få saker som jag som uppfödare är så stolt över
som när ett gäng valpar finner ro och vilar sig igenom en 2 timmar lång träff.
Det har gått riktigt bra för alla och det var bra frågor som togs upp idag. Jag hoppas att alla kände att jag gav bra svar!
2019-09-01
Alla valpar har flyttat!
Igår flyttade sista valpen till Lena, kennel Lermyrens, alltså till uppfödaren av pappa Ivar. Det känns jättekul att det är två av valparna som nu flyttat till uppfödare så att vi
är tre uppfödare som kommer förvalta syskonen i avel.
2019-08-30
Grad A!!
Finaste Kicki hjälpte mig att röntga Mango så att han skulle ha gjort det innan han flyttade till sin nya familj och idag kom resultatet och han fick grad A!! Jag började genast drömma om Mango-valpar!!
2019-08-29
Hundmatshämtning
Det blev en mysig dag men många härliga valpköpare som kom och köpte hundmat. Jag somnar med ett leende dessa kvällar, dels för att jag fått träffa goa valpköpare så klart men också
för att jag vet att så många frysar är fulla med den bästa hundmaten.
2019-08-18
Goa valpköpare
Idag blev jag bjuden på fika av en valpköpare och innan de så tränade vi lite med vilt med en annan hund. Jag har så himla goa valpköpare som ser till att vi ses och tränar och dessutom bjuder mig på kaffe!
2019-08-21
En älskad hund behöver hjälp att hitta ett nytt hem!
Han heter Mango och har är snart 2 ½ år gammal och han är en flatcoated retriever.
Mango behöver nu hitta en ny familj för hans matte är sjuk och kan inte ha honom kvar.
Hjälp oss att berätta att Mango finns hos oss och att han längtar efter att hitta ett nytt hem där han både kan ge och få kärlek.
Han har vuxit upp i en barnfamilj och han har trivts med det. Han är van att bo med katter. Vi tänker oss att Mango också skulle trivas i olika typer av hem så allt från en ensam person
till en aktiv barnfamilj kan passa. Det viktiga är att det finns tid och lust att ge Mango en innehållsrik
vardag där han får hänga med på det mesta och vara en självklar del av familjen.
Lite mer info finns under knappen "Omplacering"
2019-08-18
Bara två valpar kvar nu...
Igår flyttade åtta valpar och idag flyttade en till så nu finns det två tikar kvar här hos oss. Jag håller lite extra hårt i dessa två underverk. Till att börja med så tänker
jag att en är till salu så får vi se hur det slutar.
2019-08-14
Tävlingssekreterare Nose Work
Ikväll gjorde jag praktik som tävlingsekreterare på en Nose Work tävling så nu är jag godkänd tävlingsekreterare och godkäns tävlingsledare i Nose Work! Nu ska jag börjar planera för att
ordna egna tävlingar här hos oss!
2019-08-14
Veterinärbesiktning
Alla våra fina elva valpar är friska och på lördag börjar dom att flytta till sina nya familjer.
2019-08-13
Har-kullen fyller 9 år!
GRATTIS till er alla!! Hoppas att ni får en riktigt härlig dag!!
2019-08-12
Specialsöksinstruktörsutbildning
Idag började jag en vidareutbildning med inriktningen specialsök med röd kong samt klass 2 och klass 3 nose work. Ett härligt gäng och
så Siw, det här kommer bli riktigt kul!!
2019-08-11
Söker du en ny vän?
Dusty söker en ny familj!
Dusty är 1½ år och en riktig härlig flatcoated retriever! Han heter Atomos Superstar i stamtavlan.
Hjälp honom gärna att berätta att han finns hos oss och att han söker efter ett nytt hem.
Han har nu bott hos oss några dagar och han är verkligen en oslipad diamant! Så enkel att leva
med och så magiskt bra med barnen. Dessutom riktigt rolig att träna med. Vi har varit ute
och tränat både med dummie och vilt. Han är ännu oerfaren men han har så fina egenskaper
så han söker en förare att utvecklas tillsammans med.
I sin nya familj så vill han få jobba så han söker någon med lite erfarenhet av jaktträning med retriever.
Vi vill gärna att Dusty får starta på WT eller B-prov. Han kan nog göra bra ifrån sig inom andra hundsporter också.
Hör av dig om du är intresserad av att erbjuda Dusty ett hem!
2019-08-11
Valpmys och fika
Nu har vi börjat bestämma vem som flyttar till vem!
2019-08-08
Valpmys och fika
En torsdagskväll med goa valpköpare som vill mysa med valparna!
2019-08-07
Hundmatshämtning
Det blev en mysig dag idag! Kul att träffa er alla och så den här härliga mixen av nya och gamla valpköpare, det gillar jag!
2019-08-06
Tyvärr inga valpar i Spejas mage....
Vi gjorde ultraljud men det är tyvärr inga valpar....
2019-08-04
Valpmys och fika
Ännu en mysig söndag med valpmys och fika! Nu har vi börjat klura lite på vilken valp skulle kunna passa i vilken familj. Jag älskar det pusslet!
2019-07-28
Valpmys och fika
Ännu en träff med alla förväntansfulla valpköpare! Bra frågor och fundering togs upp idag och det är bra att alla börjar klura redan nu på hur man vill ha det med goda vanor i vardagen
tillsammans med sin nya vän.
2019-07-21
Valpmys och fika
Vilka härliga valpköpare vi har till den här kullen!!
2019-07-16
Söker du en ny vän?
Vi har fått ett återbud så vi har en valp som söker en familj att flytta till från 17 augusti. Hör av dig om du är intresserad av att erbjuda vår valp ett rikt och kärleksfullt liv!
2019-07-12
GRATTIS Dröm-kullen!!!
Tänk så fort tiden har gått! Hoppas att ni alla blir ordentligt firade idag! Så klart att vår älskade Tuffa fick en tårta av Ellen!
2019-07-06
Entusiaster i spårskogen
Jag har ett gäng valpköpare som vill ha min hjälp med viltspårsträning och nu har vi spårat ofta på sista tiden och jag är så tacksam för att jag har
fått följa med på deras resa för det är verkligen härliga hundar och riktigt duktiga, vetgiriga och målmedvetna förare!
2019-07-06
Full av inspiration!
Igår hade vi ju kennelträff med vilt men då hann jag tyvärr inte träna med mina egna hundar så idag hade jag med några fåglar till skogen och min älskade Ticket apporterade så fint
så jag fick en tår i ögat! Han har bara testat fågel vid något enstaka tillfälle tidigare och idag apporterade han så fint. Han kom in och satt framför mig med fågeln
hur länge som helst så jag hann ta fram mobilen och ta en bild på honom till och med.
2019-07-11
Kennelträff
Några har bett om hjälp med att träna apportering med vilt och självklart vill jag hjälpa till med det. Så idag var vi några som sågs och jag hade med mig olika fåglar och kanin. Träffen
var för hundar som inte har så mycket vana sedan tidigare och vi anpassade övningarna efter varje hund. Jag tycker att man ska jobba med vilt lugnt och sansat utan att göra några
egentliga övningar i början. Hundarna ska få test att apportera fågel av olika slag och i början bara i koppel och sen kan viltet läggas en liten bit bort men
inte så att det blir något egentligt sök eller markering.
Jag är mycket nöjd med hundarna idag och mest nöjd är jag att det var så lugn och behaglig sinnestämning i gänget för när man jobbar med vilt så ska känslan
vara lugn, samlad och sansad hos både hund och förare.
2019-07-09
Hundmatshämtning
Det här gången blev det extra körigt för det var bara jag och Pernilla som fixade hundmatshämtningen idag. Jocke kom en kort stund men eftersom vi inte hade varken valpvakt eller någon som
roade barnen som har sommarlov så fick det helt enkelt bli så att jag och Pernilla fixade hundmaten. Å vi gjorde det bra även om det var körigt!! Så
nu är många frysar fulla med den bästa hundmaten och det gör mig så lycklig!!
2019-07-06
Nu håller vi tummarna för att Speja och Dustin ger oss ett gäng härliga valpar!
Valparna föds i så fall i början av september. Speja känner jag mycket väl och jag uppskattar hennes behagliga sätt. Hon är synnerligen klok och duktig på att jobba och hon
har den där väl fungerande av- och på-knappen
som vi gärna vill ha. Dustin är en trevlig och okomplicerad hane från Österrike. Han har valpar i flera andra länder och hans stamtavla innehåller riktigt bra arbetslinjer. Det
här ska bli så spännande!!
2019-06-22
Elva underverk!
Vår älskade Tuffa! Vilken supermamma! Sju pojkar och fyra flickor och alla mår bra!
2019-06-20
Valpdagboken
Nu är valpdagboken igång i forumet. Jag får inte riktigt till den så som jag vill och inläggen hamnar i bakvänd ordning så för att se senaste inlägget måste ni titta
längst ner i tråden. Ja, ja....jag är inte så bra på datorer.....
2019-06-18
Tävlingsledare i Nose Work
Ikväll var jag tävlingsledare tillsammans med Lottie, Fixalot i Åkersberga, på en klass 2 tävling så nu har jag gjort den praktik som krävs för att jag ska bli auktoriserad tävlingsledare.
Så himla kul!! Jag trivs i rollen och jag gillar att hitta snabba lösningar när oväntade saker inträffar och just ikväll behövdes det! Tack Lottie och Siw för allt ni hjälpt mig med!
Nu får jag ordna egna officiella Nose Work tävlingar så nu börjar vi planera för tävlingar här hos oss! Det kommer ju bli superkul!!
2019-06-18
Rund och go om magen!
Tuffa är så fin med sin mage och hon mår alldeles utmärkt. Hon är förvånasvärt rörig och smidig trots det nu ganska stora magen.
2019-06-11
Viltspår
En härlig kväll i spårskogen men några duktiga hundar och förare. Jag är så stolt över mina valpköpare som jobbar på mina sina hundar och sätter upp nya små mål hela tiden.
2019-06-10
Tidning till valplådan
Idag har jag varit och hämtat gamla tidningar så vi har till valplådan. Det börjar närma sig nu och Tuffas mage växer och är så fin!
2019-06-04
HD-röntgen
Jag hade bokat tid för Hopp-kullen. Jag bokar alltid ett gemensamt tillfälle för alla i kullen som vill röntga höfterna. Tack för att ni kom!
2019-06-03
Hundmatshämtning
Nu är våra frysar fulla med den bästa hundmaten och det gör mig så glad! Å så har jaf fått träffa många goa Atomosar på samma dag och det gillar jag!
2019-05-24
Gemensam träning
Va många vi blev idag! Pernilla bjöd på rabarberpaj och solen sken och Ticket tog hon 14 dummies på ett sök!! Vilken härlig dag!!
2019-05-22
Vår fina Tuffa är dräktig!!
Hon är verkligen i en strålande form och det finns många valpar i magen så det här ska himla kul!! Valparna föds runt midsommar och vill flytta till sina nya familjer i augusti.
2019-05-21
Idag är det födelsedag för Så-kullen!
Grattis på 8 årsdagen! Hoppas ni har haft en härlig dag och blivit ordentligt firade!
2019-05-18
Fortsättningskurs i nose work
Jag hade förberett några kluriga sök som ekipagen skulle lösa. Vi tittade extra mycket på belöningsplacering och pratade kring hur vi ska jobba ännu mer för att få tydligare hittanden.
2019-05-14
GRATTIS på 11-årsdagen!
Idag fyller kullen som vi kallar Med I - kullen 11 år! Vår Melker har firat med mumsigt ben under syrenbusken! Hoppas att ni alla har haft en härlig födelsedag!
Melker och Matilda är världens bästa vänner!!
2019-05-12
B-prov här hemma hos oss på vår tomt!
Vilken helg vi har haft här hos oss! Jag har drömt om att ha officiellt b-prov här hos oss sedan vi flyttade hit och nu äntligen har vi haft det första, men inte sista b-provet hoppas jag! Stort
tack till Kattis och Dorothea som var kommissarie och provledare och extra stort tack till Alf Nordlund som var domare. Men utan alla andra funktionärer hade det
inte blivit något b-prov så er insats är ovärderlig. Jag är så ofattbart stolt över att så många Atomosar ställde upp och hjälpte till.
Jag ville att det skulle kännas välkomnade och trevligt för både funktionärer och startande att komma till vårt b-prov
så jag ordnade macka och kaffe på morgonen och lunch till alla som ville ha en grillad hamburgare. Det var uppskattat
av många och det gör mig så glad!
Marken nere vid udden erbjöd bra möjligheter för hundarna att visa sina fina egenskaper och sin kapacitet. Det blev 8 ekipage som fick 1:a pris och den glädjen som alla
känner, trots att man kanske inte ens sett hund och förare tidigare, är en så fantastisk känsla! Lyckan i förarens ögon! Jag minns så väl hur jag själv känt när jag tagit
emot den där åtråvärda rosetten när jag fått 1:a pris på jaktprov med mina hundar. Magiskt!
Här är Dorotheas bild på alla ekipage som tog 1:a pris här hos oss:
Anneli Jansson Searover Star Haze 1:a pris
Lotta Lejdström Meadowlark Habibi 1:a pris
Ann-Catrine Gustafsson Quills Ginger Grouse 1:a pris
Rita Säbom Söklustens Belive It Or Not 1:a pris
Anders Lignell Pilens Venus 1:a pris
Katarina Troedsson Cosmic Cover´s Polly´s Artillery 1:a pris
Arto Rajajärvi Searover Lizz Sack 1:a pris HP
Helen Wallden Artemissil Major 1:a pris
Jag tog också några bilder på hundarna under dagen men ni får tyvärr vänta lite till så jag hinner gå igenom dom....
Vi vill också tacka våra sponsorer som skänkte priser som vi kunde dela ut till de startande och till våra duktiga funktionärer:
DOGMAN
TEBA
ALLERGENIUS HUNDSCHAMPO
JAMI HUNDSPORT
GUNNARSHÖG GÅRD
Vi, dvs kennel ATOMOS, valde att till prisbordet sponsra med godis och tuggben till alla startande och alla funktionärer
samt att vi utökade mängden saker från alla våra andra sponsorer. Vi bjöd också alla startande
på frukostmacka och kaffe på morgonen och hamburgare med tillbehör till lunch.
2019-05-09
Viltspår
Både ikväll och i måndagskväll så gick jag viltspår med de ekipage som var med på kullträffen vi hade förra veckan. Alla fick gå två spår var och vilken fin utveckling vi fick se!
Det är verkligen högsäsong i spårskogen just nu så jag får många härlig timmar i skogen fler dagar i veckan och det är så kul!
2019-05-07
Hundmatshämtning
Full fart hela dagen och många härliga Atomosar som kom och köpte den bästa maten till sina hundar. Jag blir så lycklig när jag vet att så många frysar blir fulla med fint kött och goda ben till
dom fyrfota som jag älskar. Extra stort tack till alla er som kommer och hjälper mig denna dag. Utan er är hundmatshämtningsdagen inte möjlig för mig att reda ut!
2019-05-06
GRATTIS Livet-kullen!!
Idag fyller ni 11 år!! Grattis!! Hoppas att ni har haft en riktigt härlig dag och blivit ordentligt firade!!
2019-04-29
Tuffa+Ivar!
Nu håller vi alla tummar för att Tuffa och Ivar ger oss ett härligt gäng valpar efter midsommar!!
Tuffa heter Atomos Drömpuzzel i stamtavlan och hon är snart 6 år gammal. Ivar heter Lermyrens Lovely Lexus i stamtavlan och han är 5 år. I både Tuffas och Ivars stamtavla
finns många av mina favoriter och det finns väldigt bra förutsättningar för att det ska bli ett gäng riktigt trevliga, friska och duktiga valpar i kullen!
Hör gärna av er redan nu om ni är intresserade av en valp i kullen!
2019-04-28
KennelMästerskapet 2019!!
Vilken härlig dag det blev!! Tack alla ni som var med och gjorde årets KennelMästerskap så himla trevligt!! Ni är verkligen fantastiska allihop!
GRATTIS!!
JuniorKennelMästare blev Siri och matte Pia
KennelMästare blev Niki och matte Linn
Årets Blåbär och Årets Veteran blev Sally och matte Erika. Så härligt med en så pigg veteran för Sally fyller snart 10 år!
2019-04-27
Förberedelser inför KennelMästerskapet
Den här dagen är så himla mysig tycker jag. Vi umgås och grillar korv och snackar hund och så förbereder vi stationerna inför tävlingen. Det blev några riktigt
roliga och lite kluriga förändring i årets upplägg, kul!!
2019-04-27
Fortsättningskurs i Nose Work
Idag jobbade vi med inomhussök och pratade om hur man bör träna och tänka kring fordonssök. Ekipagen jobbade mycket metodiskt och alla förare kunde läsa sina hundar så bra att ingen missade en enda doftkälla!!
Vi finslipade också på starterna och pratade söktaktik. Men det viktigaste av allt var vikten
av bra värdefulla och av hunden uppskattade belöningarna så att vi dörmed ökar värdet på doftkällan. Det medför även att hunden blir mer tålig för tävlingsnerver och störningar av olika slag.
2019-04-23
Kennelträff med trimning
Ikväll blev hundarna så fina!! Vi gick igenom lite grunder i vardagstrimning av flattar och så hjälptes vi åt att trimma alla hundar som ville.
2019-04-21
Glad Påsk!
Vi önskar alla en riktigt härlig påsk i det ljuvliga vädret!!
2019-04-18
Bästa-kullen fyller 7 år!
Grattis på er födelsedag! Jag hoppas att ni alla blir ordentligt firade! När man är 7 år så får man börja göra lite som man vill, eller hur!?
2019-04-14
Grundkurs för apportörer
En härlig dag tillsammans med vetgiriga förare och riktigt duktiga hundar! Så himla kul!! Vi jobbade med stort sök, närsök, markering och linjetag. Alla hade utvecklats bra sedan sist
vi sågs och det är en fröjd att ha så här lovande ekipage på kurs! Vi avslutade kursen med att träna med några fåglar och en kanin.
2019-04-13
Nose Work tävling
Jag är lite sugen på så småningom arrangera Nose Work tävlingar. Det finns för få tävlingar i förhållande till antal ekipage som vill tävla så mina
kursdeltagare och valpköpare säger ofta "Det svåraste med Nose Work är att komma med på tävlingar". Så ska det ju inte vara när vi kallar sporten för "Hundsporten för alla".
Så nu under våren är jag med på ganska många tävlingar för att lära mig så mycket som möjligt om hur man arrangerar en bra tävling. Idag var med på Lotties tävling
"Nosen på loftet" och det blev en mycket lärorik dag för mig för det hände massor med saker som jag inte varit med om på tidigare tävlingar. Tack alla
ni som hade tålamod med mina tusen frågor och funderingar!!
2019-04-12
Glada nyheter!!
Idag syns resultatet på HD-röntgen av Ticket och Empress och båda fick grad A!!! Så underbart!! Nu kan jag äntligen våga börja klura på hur jag ska förvalta dessa två härliga hundar
i vår avel!!
2019-04-06
Fortsättningskurs i Nose Work
Samma gäng som avslutade nybörjarkursen för några veckor sedan började idag på fortsättningskurs tillsammans. Alltid lite extra kul att hålla kurs när jag får
förmånen att följa ekipagen under flera kurser för det är då jag verkligen får lära känna både hundar och förare och hjälpa till att utveckla alla. Det blev mycket
pratat om att läsa hund och få till belöningsplacering och tajma rätt så hunden gör tydligare och tydligare hittanden. Vi gjorde även behållarsök likt
doftprov och sen jobbade vi med övningar mot målet att hitta lite högre doftkällor.
2019-04-05
Gemensamträning som Anna fixade åt oss
Kul med nytt ställe och bra träning med goa Atomosar! Vad mer kan man önska en solig fredag?! Jag hann träna med fyra av mina hundar och alla fick övningar som passade bra till
den nivå dom är på just nu. Tack alla för idag!!
2019-04-05
PP-kullen fyller 4 år idag!!
GRATTIS!! Önskar er alla en mysig födelsedag!
2019-04-04
GRATTIS på födelsedagen alla Lakritstrollen!!
Idag fyller våra Lakritstroll 2 år!! Hoppas att ni alla får en härlig födelsedag!!
2019-04-02
En kurs som vi kallar Träna på att tävla TSM
Jag hade förberett ett fordonssök, ett utomhussök, ett behållarsök och ett inomhussök som vi skulle köra lite tävlingsmässigt. Det fanns också tre träningssök som man kunde göra
medan man väntade på sin tur.
2019-04-02
Puzzel
Min allra bästa vän!
2019-04-01
Hundmatshämtning
Oj va smidigt allt gick och var fort vi blev klara med packningen idag! Vi hann nästan med att ha tråkigt innan alla goa Atomosarna kom för att hämta sin mat!
2019-04-01
GRATTIS Super-kullen
Idag fyller ni 1 år!! Hoppas att ni alla får en riktigt härlig födelsedag!
2019-03-31
Nose Work tävling
Min resa mot målet att ordna tävlingar i Nose Work fortsätter...
Idag hade jag fått förmånen att vara frågvis på tävlingen som Solna/Sundbybergs BK ordnade. TSM NW 1. Thomas som var tävlingsledare och Ann som var tävlingssekreterare tog sig verkligen
tid med dig och mina frågor och jag fick med mig många svar hem. Deras tävling var dessutom upplagd på ett lite annorlunda sätt och det var intressant att diskutera detta
med både arrangörer, domare och tävlande. Tack alla!
2019-03-30
Inkallning
Idag erbjöd jag en kurs på temat inkallning. För mig är det viktigt att dela upp inkallningen i delar och se vilken del det är som varje ekipage ska jobba med i första hand. Det
blev en del olika bitar visade det sig.
2019-03-30
GRATTIS Saltkråkorna
Idag fyller ni 2 år!! Hoppas att ni alla får en riktigt härlig födelsedag!
2019-03-29
GRATTIS Bönorna
Idag fyller ni 1 år!! Hoppas att ni alla får en riktigt härlig födelsedag!
2019-03-28
Föreläsning med Kicki Lagerblad
Jaktretrieverklubben hade bjudit in Kicki för att föreläsa om röntgen och höfter och armbågar. Jag uppskattar verkligen att Kicki är så rak och ärlig med vad hon tycker och vad hon
lärt sig under sina snart 50 år inom djursjukvården och att så många nu får hennes syn avläsningarna hos SKK är väldigt viktigt tycker jag.
2019-03-26
Hunden vid förarens sida
Sista kurstillfället. Nu känns det som att alla fått lite klarhet i hur de vill jobba och lite mer insikt i hur man på ett bra sätt jobbar vidare med den egna hunden.
Det är ett stort pussel att lägga men jag ser att vi har hittat många bitar under dessa tre kurstillfällen och den träning som alla gjort hemma.
2019-03-25
Viltspår
Nu har det äntligen blivit lite vår i luften så viltspårssäsongen drar igång på riktigt! KUL!!
2019-03-20
Fortsättningskurs i nose work
Dagens tema var kluriga vittringsfält. Men vi började med ett behållarsök eftersom ett ekipage skulle på doftprov. Sen hade jag förberett några fordonssök med klurig
och lärorik placering av doftkällan. Ett utomhussök som ett ganska ologiskt ställe för hundarna att söka på eftersom det inte fanns några föremål utan bara skog i området.
En hög placering av en doftkälla som hängde ner från tanken och det var helt utan föremål i närheten. Vi avslutade med ett fordonssök som jag hoppades skulle vara lite enklare
för då var hundarna trötta med mitt lite enklare sök var inte så enkelt som jag hoppades men alla hundar jobba så otroligt bra och löste så klart även detta!
2019-03-24
Nybörjarkurs i nose work
Okända doftkällor både i pizzakortonger, i ett hav med barnens leksaker som jag lånat och en okänd doftkälla på några stolar och pallar. Summan av
dagens övningar är att hundarna nu kan doften men ekipagen behöver träna mer på att hunden ska visa tydligare och föraren ska kunna läsa sin hund.
2019-03-23
Nose Works tävling hos Lottie
Jag har tänkt att jag ska arrangera egna nose work tävlingar och Lottie är så generös och låter mig vara med och hjälpa till och ställa alla tusen frågor som jag behöver
för att få tillräckligt med "kött på benen". Att även domarna Siw och Phrida ville dela med sig så mycket tankar och erfarenheter är så klart också helt ovärderligt för mig.
2019-03-20
Kennelträff med avlämningar
Några ville att jag skulle komma med lite tips på avlämningar med kvällens ekipage gjorde så perfekta avlämningar så jag fick mest applådera ikväll!
2019-03-20
Rallylydnad
Tack alla för ännu en mysig kväll tillsammans! Så lyxigt att ha duktiga valpköpare som ordnar gratis träning för kennelns alla hundar!
Det är är sista tillfället som är inbokat på galoppgatan men det finns två tillfällen bokade i inomhushall och sen efter påsk tror jag att tanken är att
fortsätta träningen en annan veckodag så håll koll i forumet om ni vill veta mer.
2019-03-19
Hunden vid förarens sida
Vi jobbade med störingar av olika slag och pratade om hur man kan jobba sig igenom olika klurigheter på ett bra sätt. Målet är
så klart att hunden ska vara lös vid förarens sida men även om hunden delvis är i koppel så kan man ju jobba med de verktyg som sen funkar även när hunden är lös.
2019-03-17
Grundkurs för apportörer
Oj vad det regnade idag! Jag gjorde om planen och så hade vi teori inomhus först en timme. Det blev mycket uppskattat. Sen gick vi ut och testade lite med hundarna. Temat för
dagens kurs var att gå igenom grunderna i apportörerns arbeten dvs stort sök, närsök, markering och linjetag. Sen avslutade vi med att alla hundar fick apportera fågel.
Vetgiriga nyfikna kursdeltagare och duktiga hundar gjorde att jag helt glömde bort regnet idag men fy va blöt jag var när jag kom hem!
2019-03-13
Gemensamträning
Carloline tog initiativet även till denna jaktträning och det är alltid några som kan ses så här en morgon en vardag och det är jag glad för för den tiden passar mig väldigt bra.
2019-03-12
Hunden vid förarens sida
Jag vill gärna att förarna utmanar sig på denna kurs och att vi jobbar med lösa hundar. Min tanke är att alla ska hitta verktyg att använda i vardag och jaktträning
mot målet att hunden ska finnas lugnt och fint vid förarens oavsett vad som händer runt omkring.
2019-03-11
Kennelträff med stadga, transport och passivitet
Vi jobbade med ett upplägg likt walk up men där föraren skulle apportera och hunden skulle antingen sitta kvar eller gå vid förarens sida. Det hände lite olika roliga saker och
jag hade med mig Puzzel, snart 11 år, och hon var verkligen sugen på att apportera så hon tag saken i egna händer flera gånger och jag kunde inte annat än bli
varm i hjärtat när hon for runt och letade dummies trots att min ursprungliga tanke inte var så idag. Min älskade bästa vän ska så
klart hämta några dummies när hon så gärna vill för det är en förmån man har när man är gammal!
2019-03-10
WT-träning
Jag hade förberett fem stationer med markeringar, skott och transport. Lite klurigt på vissa stationer och då är det ju extra kul för mig som tittar på!
2019-03-06
Kennelträff
Några ville ha min hjälp med att finslipa avlämningar med dummies och det är ofta bra att då träna på en lite annorlunda plats än i skogen så den här
gången tränade vi på galoppgatan.
2019-03-06
Rallylydnad
Ännu en kväll där Anna och Ulrika fixade rallylydnadsträning åt oss. Trevligt som vanligt! Empress tycker att det är kul med rally och hon hänger med bättre och bättre i svängarna. Så söt när
hon koncentrerar sig!
2019-03-06
Gemensam träning
Det är förvånadsvärt många som kan ses och träna hund så här en morgon mitt i veckan. Alla ansvarar för sin egen träning och så ses i runt fikakorgen och ungås. Trevligt!!
2019-03-04
Hundmatshämtning
Idag fick vi leverans av hundmat och många av våra valpköpare hade beställt mat och det är alltid så trevligt att ses och idag när det var ganska lugnt så hann jag prata mycket med många
goa Atomosar och det gillar jag!
2019-03-03
Fortsättningskurs Nose Work
Vi jobbade mest med fordornssök och med vilken taktik man bör söka och på vilket sätt man bör träna. Hundarna visade oss många bra exempel som vi kunde
diskutera.
2019-03-03
Nybörjarkurs Nose Work
Kurstillfälle 3. Alla hade tränat på doften och jag är nöjd med resultaten som vi fick se idag. Vi tränade bara i kartonger men jag visade även hur man kan träna med
doft på möbeltass. Nästa gång är det sista kurstillfället och då vill jag se att alla hundar kan doft och att förhoppningsvis alla förare kan läsa sina hundar!
2019-03-01
Grattis Dina!!
Idag fyller vår danska prinsessa Dina 1 år!! Grattis på födelsedagen!! Jag vet att du kommer bli ordentligt firad hela dagen!!
2019-02-28
Gemensam träning
Vi var några som ville ses denna blåsiga eftermiddag och vi alla tränade på det som vi ville i den härliga röra som blir när alla tränar samtidigt på olika saker. Nyttigt och svårt och
härligt samtidigt! Å så bjöd Ulrika och Pernilla på kaffe och nybakad kaka och det är ju alltid trevligt att fika tillsammans!
2019-02-24
Samspelta på jakten
Andra kurstillfället. På den här kursen uppmanar jag alla att ta med sig sina klurigaste knutar i jaktträningen så att vi kan hjälpas åt att knyta upp dom.
Alla råd och tips som jag ger utgår från tanken att hunden har en fin, klok och bra avsikt med det val den gör och att om vi anpassar oss och ändrar på vår
övning så kommer hunden gör rätt. Det händer härliga saker med våra älskade hundar när vi testar oss fram på dessa kurser!
2019-02-22
Gemensam träning
Idag var vi några som sågs på åkern och tränade samtidigt. Liksom mer samtidigt än tillsammans och det är bra tycker jag för det blir många nyttiga störningar runt om när
alla pysslar med sitt men på samma ställe samtidigt.
2019-02-20
Rallylydnad
Skojig bana ikväll! Tack Anna och Ulrika för att hjälp med bra tips och träning i den för oss ännu ganska okända hundsporten Rallylydnad. Det blir faktiskt lite roligare för
varje gång vi tränar och Empress utvecklas jättemycket! Jag passade
också på att träna lite annat med mina hundar när vi är några stycken som ses. Det är guld värt med vettiga träningskompisar
så man kan ha hunden lös och träna vad man vill tillsammans i röran som blir när många hundar och förare jobbar samtidigt eller står mitt i och fikar.
2019-02-19
Hunden vid förarens sida
Ikväll hade vi sista kurstillfället på den här kursen. Jag har fått se härlig utveckling hos alla ekipage på denna kurs och när kursdeltagarna är så här duktiga så
kan vi göra många riktigt kluriga övningar med bra resultat. Som avslutning på kvällen så bad jag Puzzel springa och hämta några av de dummies
som ekipagen
hade som störning när alla förare jobbade flitigt med att ha sin hund vid sidan bland de dummies som jag hade kastat. Puzzel kom ibland och tog den dummie
som var precis framför hunden som gick lös vid förarens sida, det är bra jobbat av både hund och förare!
Några önskade mer sådan här kurs så det kommer jag så klart att boka in för det här var kul tycker jag!
2019-02-17
Nose Work kurser
Först hade vi kurstillfälle 2 för nybörjarkursen. Vi kollade hur det hade gått med läxan och sedan gjorde första övningen med eukalyptus. Vi pratade massor med hur viktigt det
är att belöna hunden på rätt ställe och vid rätt tillfälle. Klurigt att få till det perfekt men superviktigt!!
På eftermiddagen hade vi en fortsättningskurs. Jag hade förberett flera övningar med tanken att förmedla sånt som jag tycker är viktigt. Vi jobbade med
belöningsplacering och tajming för att få till tydliga hittanden. En övning var på temat att lära hunden att söka högre och högre. Efter den övningen
gjorde vi en övning med många tesilar i en buske men bara en av tesilarna med doft i för det är viktigt att hundarna inte lär sig att leta efter ett föremål som
kan innehålla en doftkälla utan faktiskt ha näsan på. Sen gjorde vi
fyrpunktsövningen och den är ju superbra för att få till bra starter och gör att hunden jobbar så mycket mer noga. Jag gillar verkligen den övningen och det går att
köra den som fyrkant eller på rad och dessutom med stigande höjd beroende på vad man vill ge hunden för erfarenhet. Att söka med ett bra sökmönster och ha en bra taktik så
föraren kan vara säker på att hunden sökt överallt är också viktigt så jag hade gjort några övningar på dessa teman också. En övning var ett
tvättlina med kläder som skulle sökas av. Tanken var att man inte fick gå tillbaka och om hunden gled iväg så kunde man starta om vid det klädesplagget.
En annan övning var massor med påsklämmor i buskarna, både högt och lågt. Vi avslutade med en övning
med många blomkrukar i tre grupper och här fanns det många varianter på hur man kunde/borde lägga upp söket. Det visade sig dessutom att vittringsfälten blev riktigt kluriga
på detta sök och det var så häftigt att hundarna tyckte att det var värt att slita så mycket för att få fatt i vittringen trots att vi då hade jobbat i tre timmar!
2019-02-16
Nose Work tävling
Idag har jag varit med på TEM Fordon hos Fixalot. Jag tänker att jag ska bli arrangör/tävlingsledare för Nose Work tävlingar för jag tycker att det är så trist
att det inte finns tävlingar så att det räcker till alla som vill tävla. "Det svåraste med Nose Work är att komma med på tävlingar" är en vanlig kommentar.
Jag tycker att Nose Work är en så ypperlig aktivitet för alla sorters hundar och förare så jag vill gärna försöka bidra till att det blir fler tävlingar.
Därför kommer jag nu att vara med på många olika tävlingar där arrangör och domare är positiva till att jag finns bredvid och ställer tusen frågor så jag
lär mig så mycket som bara är möjligt innan jag tar steget och ordnar egna tävlingar. Så stort tack till Lottie och domarna Siw och Ann-Sofie samt alla
tävlande för att ni ville dela med er av kunskap och erfarenhet!
Jag blir så glad av Nose Work! Det så underbart med en hundsport där alla kan vara med. Jag som älskar retrieverns jaktträning och som
uppfödare av flattar så kommer jaktträningen alltid ligga mig allra varmast om hjärtat, men det finns ju så många hundar och förare som inte får till jaktträningen
till den nivå som krävs för jaktprov idag och då är det så härligt att det finns en så bra aktivitet som nose work som passar alla och
som hundarna tycker är så meningsfullt att jobba med. Dessutom upplever jag att det är härlig stämning på tävlingarna och domarna bemöter de tävlande på ett bra sätt
och det ger mersmak för dom som tävlar.
2019-02-15
Gemensam träning
Härligt vårväder äntligen så jag blev träningssugen och skrev en rad i forumet och trots kort varsel så blev vi några som tränade tillsammans idag.
Empress och jag har haft ett litet uppehåll med apporteringsträningen och idag var hon riktigt med på noterna så det ska bli kul att träna lite mer
jaktträning med henne nu. Jag fick dessutom förmånen att "låna" en valpköpares hund och träna lite med och då blev det ju extra kul.
Å så bjöd Pernilla på hembakat fika!
2019-02-13
Hemsidan och forumet....
För en dryg vecka sedan så blev severn kapad och därmed kommer vi inte längre åt varken hemsidan eller forumet.
Hemsidan hade vi sparad så den har nu flyttat in på nytt hotell men forumet verkar vi inte kunna få tag på. Vi har gjort ett nytt forum
så där får vi nu börja skriva roliga saker så det snabbt blir härligt välfyllt.
Jag tror att ni själva kan göra er en användare (klicka på "Register", godkänn villkoren och sen kan man välja användarnamn och lösenord). Ni som
äger en hund från oss kan skicka mig ett mail när ni har fixat en användare så utökar jag er behörighet så att ni kommer åt de trådar i forumet som är
bara för Atomosar.
Forumet är nytt för mig och jag är usel på sådana här saker men hör av er om ni har frågor och funderingar så försöker vi hjälpas åt.
Ett tips! Det går att få ett mail när någon skriver något i forumet. Jag tror att man måste klicka i vid kategori så vill man prenumerera på tex
Valpdagboken så klickar man i "Subscribe to this forum" vid valpdagboken och då får man ett mail om någon skriver i valpdagboken osv.
2019-02-12
Hunden vid förarens sida
Vilka framsteg ni alla gör och va modiga ni är som vill utmana er med svåra störningar. Jag längtar till nästa kurstillfälle!!
2019-02-10
Samspelta på jakten
På den här kursen så bestämmer alla själva vilka övningar som vi ska göra. Jag vill gärna att alla väljer kluriga saker att jobba med för då lär vi oss mest.
Viktigt på den här kursen är att vi tänker utifrån att hunden gör på ett sätt utifrån sitt sätt att se på saken.
Så vi tänker att när vi gör rätt så kommer hunden göra så som vi vill.
2019-02-05
Rallylydnad
Ikväll hade vi förmånen att få träna Rallylydnad på några banor som Ulrika gjorde åt oss. Jag tränade med både Empress och Ticket och Empress gillar verkligen Rallylydnad och allt som mina
hundar tycker är kul tycker jag är kul. Ticket är lite vimsigare så vi passade på att träna på annat också när vi hade så bra träningskompisar. Vi
jobbade med sitt kvar och gå vid sidan utan koppel och så det där viktiga med att kunna koppla av när andra ekipage jobbar. Det är ju liksom det
där med att man kan träna vad man vill som är så bra med den här träningsgruppen! Jag vill vara noga med att mina hundar kan vara utan koppel och vara lugna och trygga med
mig oavsett vad som händer runt omkring oss när vi är bland andra hundar och människor. Den här träningsgruppen är verkligen ett perfekt tillfälle för sådan träning tycker jag.
Tack alla för ikväll!
2019-02-05
Hunden vid förarens sida
Idag startade vi en ny kurs. Det är så ofta som vi säger att vi behöver jobba mer med att få hunden samlad och sansad vid vår vänstra sida så jag bokade in en
kurs där vi bara jobbar med det och inget annat. Ikväll gick vi igenom en massa olika varianter på hur man kan träna och hur man bör tänka i olika situationer så nu
är det bara pyssla på där hemma så får vi fortsätta finslipa när vi ses nästa gång.
2019-02-04
Hundmatshämtning
Kallt och trist väder men vi fick massor med hjälp av Pernilla så vi fick ihop allt bra och rätt i god tid innan alla kom och skulle hämta sin hundmat. Väl inne i värmen sen när alla kom så
blev några
koppar kaffe och mysigt hundsnack med härliga valpköpare och så kom några hundar också och hälsa på. Mysigt!
2019-02-03
Årets första kennelträff
Jag hade fixat så att vi kunde grilla hamburgare och dela ut rosetter till våra framgångsrika ekipage som tävlat under 2018! Mysigt!! Och så det där roliga
med att smida planer för det nya året! Jag hoppas på att denna träff ska ge lite peppning inför det nya året och att man ska få lite tips av varandra
om något mål osm känns kul för mig och min hund. Vi skriver upp våra mål på en gemensam lapp så blir det lätt att hitta kompisar med liknande mål så man kan peppa varandra.
Nu ser jag ännu mer fram mot 2019 tillsammans med goa Atomosar!!
2019-02-03
Nybörjarkurs i Nose Work
Massor med snö!! Halva gänget var insnöade idag så vi blev inte så många på kursen idag. Duktiga hundar och vetigirga kursdeltagare som ställer massor med frågor och har bra funderingar, det gillar jag!
Idag körde vi med korv i kartonger och testade lite olika varianter för att lära känna hundarna. Nu är det bara träna flitigt på att äta korv i kartonger till nästa gång vi ses!
2019-01-27
WT-träning
Riktigt vinterväder och åtta aktiva ekipage var vi denna snöiga söndag. Jag hade förberett fem stationer. Station 1 var en enkelmarkering med lite kuperad terräng och lite dold nedslagsplats.
Station 2 var en markering som föll på en ganska platt yta så det kan tyckas enkelt men hundarna stod i en sänka när markeringen föll så dom såg inte riktigt
var dummies landade så det blev lite klurigt. Station 3 var skott under transport och sedan ett kast och hundarna skulle hämta dummien som föll på en dold nedslagsplats.
Station 4 började med att en dummie föll i en buske snett framför ekipaget och sedan skulle ekipage gå en transport framåt och då förbi busken och
ytterligare en bit innan dom vände om och hunden skickades tillbaka mot dummien. Station 5 var en transport och sedan en markering men när dummien landat så vände sig ekipaget om och gick tillbaka
10 meter innan man ställde upp mot dummien och hunden skickades. Dummien låg i en terräng med många små kullar med jord så det var flera hundar som hade lite problem att hitta dummien.
2019-01-23
Rallylydnad
Fem tillfällen där vi gått igenom grunderna i skyltarna som är med i nyörjarklass har Anna och Ulrika erbjudit oss. Jag är så glad att vi Atomosar har fått förmånen så
stort TACK till Anna och Ulrika för att ni ville erbjuda oss dessa kvällar med bra innehåll, glada skratt och gott fika. Vädret har varit lite eländigt vissa gånger men
jag har alltid varit varm i hjärtat när jag åkt hemåt. Nu är det tänkt att träningen ska fortsätta och att vi alla tränar på vår egen nivå och så hjälps vi åt. Alla Atomosar är
välkomna även om man inte varit med tidigare så det är bara höra av sig om ni vill vara med och träna med oss.
2019-01-11
På kurs med Ticket!
Jag och Ticket har varit på jaktkurs idag. Givande på många sätt och jag trivs med de egenskaper som Ticket har och han lär sig många bra saker av att vara på jaktträning tillsammans med andra.
2019-01-11
GRATTIS Hopp-kullen!
Redan 1 år gamla! Jag minns så väl den kalla natt som ni föddes. Önskar er alla en härlig födelsedag och jag tror att ni blir ordentligt firade!
2019-01-10
GRATTIS Extra-kullen!
Idag fyller ni 7 år! Hoppas att ni får en härlig födelsedag och många goda saker att mumsa på!
2019-01-09
Rallylydnad
Ännu en kväll där Anna och Ulrika ordnade träning åt oss. Jag tränade med både Ticket och Empress och just Empress tycker att Rally är jättekul och hon ansträninger sig verkligen
för att få till allt jag önskar. Jag uppskattar verkligen att få komma till ett färdigt upplägg med mina hundar. Det är så klart
också mycket värdefullt att få råd och tips och så det där mysiga med att ta en kopp kaffe tillsammans med härliga träningskompisar. Dessutom så
ordnar Anna och Ulrika allt detta gratis åt oss! Tack! Ikväll blev det flera heltokiga skratt och det där med "tysksvängen" var inte helt enkelt om man inte gjort det
tidigare. Tack alla för en härlig kväll! Lite kallt om tårna men väldigt varmt och skönt i hjärtat!
2019-01-08
Hundmatshämtning
Det blev en mysig dag idag och vi hann klart med hundmaten i god tid! Stort tack till Pernilla och Ulrika som hjälpte till och så så klart tack till vår farmor som kom
och roade våra barn en stund så vi kunde packa hundmaten åt alla valpköpare som kom och handlade på kvällen.
2019-01-06
Nose Work
Sista kurstillfället och målet var att alla hundar skulle hitta doften och på något sätt visa för föraren var doftkällan var. Alla hundar var jätteduktiga!! Som
så ofta så finns det lite saker som föraren kan tänka på och träna mer på men jag är jättenöjd!! Kul att kursen väckt lite nyfikenhet på doftprov också!
2018-12-31
Maddes Nyårsträning
I år firar vi 10 år jubileum! Varje nyårsafton ordnar vi lite träning för dom som vill och så bjuder vi på lite skagenröra och vid 12-slaget (mitt på dagen alltså) så skålar vi tillsammans i några bubblor.
En riktigt mysig tradition som Madde och Patrik införde för nu 10 år sedan och så är hundarna nöjda när familjen vill fira nyårsafton.
Vi önskar er
alla ett Gott Nytt År och ser med stor förväntan fram mot 2019 tillsammans med härliga Atomosar!
2018-12-24
God Jul!
Vi önskar er alla en riktigt God Jul!!
2018-12-19
Tävlingslydnad
Oj vilka framsteg alla har gjort!! Både när det gäller momenten i sig och dom unga hundarna som första kurstillfället hade mycket att stå i bara av att vara på gruppträning skötte sig utmärkt idag!
Jag tycker att det är bra att många vill jobba med tävlingslydnad även om man inte har som främsta mål att tävla för det blir många fina
pusselbitar i relationen som faller på plats när man jobbar flitigt med de små detaljerna i de grundläggande momenten som startklassen innehåller.
Hoppas att vi snart kan övertyga dom som börjar bli klara med momenten att våga börja anmäla på tävling för hundarna kan momenten och med lite fler vältajmade belöningar
så kommer dom satsa det där lilla extra.
2018-12-19
Tävlingslydnad
Oj vilka framsteg alla har gjort!! Både när det gäller momenten i sig och dom unga hundarna som första kurstillfället hade mycket att stå i bara av att vara på gruppträning skötte sig utmärkt idag!
Jag tycker att det är bra att många vill jobba med tävlingslydnad även om man inte har som främsta mål att tävla för det blir många fina
pusselbitar i relationen som faller på plats när man jobbar flitigt med de små detaljerna i de grundläggande momenten som startklassen innehåller.
Hoppas att vi snart kan övertyga dom som börjar bli klara med momenten att våga börja anmäla på tävling för hundarna kan momenten och med lite fler vältajmade belöningar
så kommer dom satsa det där lilla extra på att få till fart och snabbhet.
2018-12-16
Nose Work kurs
Kurstillfälle tre och nu har alla börjat med doften och vi jobbade vidare med både kartonger och doft på möbeltass. Det är ett gäng riktigt arbetsvilliga hundar och vetgiriga ägare och det är ju
då som det är extra kul att ha kurs!
2018-12-16
En härlig unghund
Jag blir så glad när mina valpköpare vill ha min hjälp och just när det gäller unghundar så händer det ju plötsligt en dag att man inte riktigt känner igen sin vän och
att nya situationer uppstår. Som hundägare är det så klart skönt att bolla detta med någon och få några råd och tips på vägen. Bara det att man får veta
att förändringarna man upplever är lika för många ägare till unga hundar kan ge lite extra energi att kämpa vidare.
Idag hade jag förmånen att få träffa en riktigt härlig ung hund och hans husse och jag blev så varm i hjärta av att få se en fanstisk liten hund trots att husse bitvis lät lite uppgiven.
2018-12-14
Vårdhundar
Jag har förmånen att ha valpköpare som utbildar sina hundar till vårdhundar hos Vårdhundsskolan och jag vill så klart vara med på ett hörn och lära mig mer. Jag tycker att det ska finnas
fler hundar i vården och skolan och det måste vi verkligen jobba för. Tänk va mysigt att få besök av en hund den dagen man själv bor på ett boende. Det måste vara fler än jag som vill det!
2018-12-13
På kurs med Ticket
Ikväll var jag och Ticket på kurs igen och idag var det extra mycket aktiviteter som pågick hos våra kurskamrater så jag och Ticket fick härliga utmaningar och han var
förvånastvärt duktig och när det var
en timme kvar på kursen som somnade han under min stol och när vi skulle gå hem så sov han så gott så jag fick nästan inte liv i honom. Jag var så himla nöjd med vår träning!
Våra instuktörer var också imponerade så klart men också lite förundrade över att jag vill betala för en kurs när jag sen helst vill sitta på en stol tillsammans med en passiv hund. Men
jag vet så väl att den bästa erfarenheten en flat kan få av att vara på kurs är att somna mitt i röran och det lyckades vi med idag trots att alla våra kurskamrater lekte med
leksaker och åt godis! Älskade Ticket va du är bra!!
2018-12-12
Träff med Rallylydnad
Vi var inte så många ikväll men mysigt blev det! Anna och Ulrika bjöd på glögg och tillbehör och så en kopp kaffe medan det snöade stora flingor!
Vi fick först testa två olika banor och sedan gjorde Anna
och Ulrika om banorna och vi fick testa ytterligare några nya skyltar. Jag och Empress körde alla fyra banorna och hon tycker att det är riktigt roligt! Mer alert nu
och härligt uppmärksam när vi ska svänga åt olika håll men ibland lite sen att sätta sig. Vi var så glada båda två efteråt!
Jag uppskattar så himla mycket att få komma till en förberedd träning där jag bara kan njuta av att vara tillsammans med en älskad hund och lära oss nya saker. Jag
tycker att det är otroligt generöst av Anna och Ulrika att ordna dessa fem träningskvällar åt oss helt gratis och dessutom får vi bra minnesanteckningar efteråt. Jag uppskattar
verkligen det ni gör oss Atomosar!
2018-12-09
Kursen som vi kallar Allt på jaktprov utom apportering
Apportera kan våra hundar så det behöver vi inte träna alls lika mycket som allt det där andra svåra på jaktprov så som att gå vid sidan i jaktens alla tänkbara situtaioner och
vara samlad och sansad i skott och kast och när annan
hund jobbar. Alla resor ser olika ut för både hund och förare så jag vill försöka hitta ett passande sätt till både hunden och föraren i varje ekipage. Så klart hinner vi inte lösa allt på två
kurstillfällen men vi hittade några viktiga nycklar för alla ekipagen. Vi jobbade också med stoppsignal och hundarna fattade riktigt snabbt, kul!
Guldstjärna till alla för utmärkt passivitet för jag hörde inte ett enda pip på tre timmar och när vi fikade som avslutning som somnade två av hundarna!
2018-12-08
Stora Stockholm
En mycket märkligt känsla att inte vara där i år. Jag hade problem med ett öga så jag vågade inte ge mig iväg och köra bil. Så himla trist för jag har nog inte missat ett enda år sedan typ 35 år tillbaka.
2018-12-06
På kurs med Ticket
Idag var vi både inne och ute och temat var nosövningar av olika slag. Ticket gillar att använda sin näsa så det gjorde han bra även ikväll men min tanke med kursen är ju i första hand att
hitta en bra balans mellan aktiv och passiv så vi jobbade mest med det.
2018-12-05
Tävlingslydnad
Oj va duktiga alla var ikväll! Jösses va mycket och va rätt ni måste ha tränat hemma!! Kul!!
2018-12-03
Hundmatshämtning
Det var stora leveranser för båda leverantörerna och det hade tyvärr blivit en del fel så det var lite struligt. Men vi fick ihop så alla blev nöjda! Stort tack till Pernilla och Ulrika
som hjälpe mig hela dagen, ni är guld värda!
2018-12-02
Nose Work
Andra kurstillfället på nybörjarkursen som jag erbjudit mina valpköpare. Riktigt bra resultat efter allas träning hemma! Kul för då kunde vi introducera doften och då blir det ju
lite mer på riktigt på en gång. Vi jobbade en del med det där med tajming....förarnas tajming med att ge korv på rätt ställe vid rätt tillfälle....det är svårt!
2018-11-30
Ticket på jaktkurs
Idag började jag och Ticket på en ny jaktkurs. Han behöver få komma ut i lite olika grupper med hundar och nya platser och vi blev inbjudna till den här gruppen och det
passade ju oss helt perfekt. Vi jobbade med grundläggande saker tillsammans med andra hundar och det blev väldigt bra för oss tycker jag. Vår instruktör prioriterar lite
annorlunda än jag gör så vissa bitar var Ticket ovan vid men överlag tycker jag att han skötte det som jag i första hand ville få ut av träningen dvs bara
vara med mig och hålla sig samlad
och sansad i grupp när andra hundar jobbar, gå lös förbi andra ekipage och kunna fokusera på en uppgift när det väl var hans tur.
2018-11-29
På kurs med Ticket
Ikväll började jag och Ticket på en ny kurs. Vår tanke med kursen är att vara i en grupp med hundar och hitta en bra balans mellan aktivitet och passivitet. De andra på kursen gillade att
vara aktiva mest hela tiden så det blev lite jobbigt att vara Ticket bitvis men han skötte sig hyfsat för att vara första gången tycker jag.
2018-11-29
Gemensam träning
Jag hade skrivit ett inlägg i forumet och hoppades på träningssällskap och det fick jag. Jag ville jobba med transporter med störning av olika slag och så ha flera målområden med dummies.
Det är framför allt Ticket som behöver sådan träning mot målet att kunna vara lös oavsett vad som händer runt om oss. Jag tycker att han skötte det bra. Empress
fick också vara med en stund och hon fick göra några markeringar och träna på varva att vara aktiv och passiv.
2018-11-28
Träff med Rallylydnad
Anna och Ulrika har planerat fem onsdagar där vi ska få veta mer om rallylydnad och alla som vill får hjälp med tips och råd. Otroligt generöst av er att erbjuda oss dessa mysiga
kvällar helt gratis! Det var många som kom och det blev tid för både träning och fika och givande hundsnack. Jag hade med mig både Ticket och Empress och framför allt Empress gör riktigt
fina framsteg tycker jag. Hon är så noggrann och vill så gärna göra rätt hela tiden. Älskade hund!
2018-11-25
Kursen som vi kallar Allt på jaktprov utom apportering
Det blev mycket prata om hur vi ska få till transporterna. Jag hade fixat lite störingar i form av vilt, dummie, publik och fikakorg och vi testade av olika lösningar med
målet att alla ska hitta sitt sätt att jobba. Att alla hittar sitt sätt tror jag är en viktig nyckeln till framgång för om man inte tror på det man gör så kommer
det aldrig funka hela vägen. Jag tycker att vi hittade bra tankar för alla ekipagen så vi får se på nästa kurstillfälle om det har gett resultat. Vi gjorde också första
övningarna med stoppsignal.
Ingen hund hade testat tidigare så det var kul att se dom alla. Vi gjorde också några stadgeövningar med kast och några skott. Vi pratade om och testade lite hur
man kan vara tydlig mot hund om apporten
ska hämtas eller inte och jag var noga med att säga jag inte låter min hund hämta om den visar minsta tendens till att inte ha rätt känsla i stadgan. Summa av dagens kurs tycker jag
är att vi har ett gäng härliga lovande hundar som höll ihop bra och skötte sig utmärkt i passivitet under dessa tre timmar och det är ett gott betyg till gänget!
2018-11-21
Tävlingslydnad
Ikväll hade vi första tillfället på en tävlingslydnadskurs där vi jobbar med momenten i startklass. Med på kursen var både ekipage som jobbat mycket med startklass tidigare och ekipage som är
helt nya på tävlingslydnad. Jag tycker att man lär sig mycket på att titta och klura när andra jobbar så jag vill att vi jobbar med ett ekipage i taget. Det ska
bli kul att följa gänget under dessa veckor för jag tror att vi kommer få givande saker att klura på lösningar till och få se härlig utveckling hos ekipagen.
2018-11-21
Äntligen några viltspår med våra egna hundar
Jag har haft så många ekipage som velat ha min hjälp med viltspår under hösten så jag har inte haft inspiration att lägga spår till mina egna hundar. Men nu är det
lite färre som bokar spårtider för många är klara med sina mål för säsongen så nu har jag äntligen lagt några viltspår till Ticket och Empress.
Jocke tycker att det är kul att spåra med Empress så då blev ju det hela ännu roligare när vi kan göra tillsammans. Det behövs några spår till innan vi är redo för anlagsprov så
vi hoppas snön håller sig borta ett tag till.
2018-11-19
Empress fyller 1 år!
Vår älskade Kejsarinna från Österrike är nu 1 år! GRATTIS på födelsedagen!! Jag minns den dagen så väl för vi var så förväntansfulla och höll tummarna för att det skulle
födas en tik till oss. Nu är hon redan stora tjejen och löper för första gången! Födelsedagen firades med tårta och extra många kramar!!
2018-11-18
Nybörjarkurs i Nose Work
Första kurstillfället för ekipage som inte testat tidigare. Kul att både hundar och förare var så laddade!! Det känns riktigt bra efter första kurstillfälle och ja ser verkligen fram mot fortsättningen!
2018-11-17
Kennelträff med WT och B-prov
Jag hade förberett några WT-stationer och ett B-prov och min tanke var att visa och berätta om innehåll, upplägg, skillnader och vad domaren vill se. Förhoppningsvis så gav träffen också lite
inspiration att träna vidare!
2018-11-15
Gemensam träning
Det blev en förmiddag där vi riktigt fick klura på hur hundarna tänker och hur vi ska göra för att få allt att funka så som vi tänkt oss. Kul när lösningarna inte är självklara!
2018-11-14
Träffar med Rallylydnad
Anna och Ulrika har bjudit in alla Atomosar till några träningskvällar med rallylydnad. Fika blev vi bjudna på också! Denna träningsgrupp kommer att ses
varannan onsdag.
Vi kommer få en liten genomgång i början av varje tillfälle och få både råd och tips och
lära oss nya skyltar. Sen tränar alla på egen hand på de banor som Anna och Ulrika fixat åt oss. Tack för att ni fixar så bra!!
2018-11-11
Samspelta på jakten
Det blev en givande kurs tycker i alla fall jag. Jag uppmuntade till att alla skulle ta med sig de svårare frågorna och funderingarna så vi fick rejäla saker att ta tag i.
Det blir liksom roligare när vi kommer på lösningar då!
Det blev en härlig blandning av problemlösningar kring tex snabba direkt inleveranser, avlämningar både när hunden inte vill komma in med apporten,
släpper för tidigt och när hunden inte vill släppa alls. En annan sak vi pysslade med var
att inte söka efter fler apporter och jobba färdigt på en apport i taget vid dubbelmarkering. Lite tips om hur vi får hundarna att använda näsan mer och benen lite mindre.
Vi gjorde också några övningar i att få hunden mer uppmärksam på vilken apport som jag vill att vi ska hämta. Det blir alltid lite stadga och transport och inkallning osv
för det ingår
ju i det mesta vi gjorde.
Ekipage både ville och vågade visa flera saker som dom inte riktigt fått till och tillsammans klurade vi på lösningar utifrån kursens tema
"Samspelta på jakten". Jag gillar det sättet att se på hundar och hundträning. När föraren gör rätt och övningen av väl anpassad så gör hunden precis så som vi önskar.
Det blev så tydligt hela tiden igår! Tack för att ni verkligen bjöd så mycket på er själva och hängivet jobbade på det här lite annorlunda sättet. Jag hoppas verkligen att ni förstår
hur bra ni jobbade med era hundar igår! Jag är så imponerad av er alla!!
2018-11-09
WT-träning
Kul att det blev ett gäng även denna fredag! Jag ahde förberett fem stationer och vi anpassade upplägget så det skulle bli bra för alla. Vi fick med oss lite nya saker att träna på och det är
ju det som är så kul med hundträning. Tänk va trist det skulle vara om vi en dag kände oss helt klara!
2018-11-08
Träningstävling
Igår var jag och Ticket på träningstävling i lydnad/bruks. Tyvärr så löper Empress just nu så hon fick vara hemma men det var faktiskt mysigt att ha med sig bara en hund och ha fullt
fokus på. Han är så härlig min Ticket för han är så positiv till allt och vill så gärna göra rätt. Det blev en nyttig kväll för oss båda och vi åkte hem med massor med lust att träna mer!
Jag blev riktigt sugen på att köra lite bruks igen, spår framför allt men
gärna även kanske lite sök för det är länge sedan nu.
2018-11-04
Samspelta på jakten
Idag började vi en ny kursomgång med den kurs som vi kallar Samspelta på jakten. Vad innebär samspelt för dig och vad är viktigt att tänka på om målet är att vara samspelt med sin hund?
Vi klurar på hur hunden tänker. Det ger oss ledtrådarna till vi ska träna en hund. Varför hunden gör hunden som den gör när vi gärna vill att hunden gör på ett annat sätt?
När vi jobbar rätt med hunden så kommer den göra det som vi vill i ett härligt samförstånd med oss.
Jag vill gärna att alla ekipage tar med sig de allra klurigaste knutarna så vi kan hjälpas åt att knyta upp dom för det är då vi lär oss mest!
2018-11-05
GRATTIS Disney-kullen!!
3 år! Overkligt att tiden har gått så fort!! Jag är helt säker på att ni alla blir ordentligt firade idag!!
2018-11-04
Samspelta på jakten
Idag började vi en ny kursomgång med den kurs som vi kallar Samspelta på jakten. Vad innebär samspelt för dig och vad är viktigt att tänka på om målet är att vara samspelt med sin hund?
Vi klurar på hur hunden tänker. Det ger oss ledtrådarna till vi ska träna en hund. Varför hunden gör hunden som den gör när vi gärna vill att hunden gör på ett annat sätt?
När vi jobbar rätt med hunden så kommer den göra det som vi vill i ett härligt samförstånd med oss.
Jag vill gärna att alla ekipage tar med sig de allra klurigaste knutarna så vi kan hjälpas åt att knyta upp dom för det är då vi lär oss mest!
2018-10-26
GRATTIS Av-kullen!!
Idag fyller ni 11 år!! Det är tyvärr inte en självklarhet när det gäller flattar så jag är så glad och tacksam för att ni är flera syskon som är pigga och lyckliga! Hoppas
att ni alla får en riktigt mysig födelsedag!
2018-10-26
Gemensam träning
Jag hade skrivit i forumet och frågat efter träningskompisar idag och vi blev några som tränade tillsammans. Jag hade med mig Ticket och Empress. Ticket jobbar mest med transport och stadga
och jag "glömmer" dummies på olika ställen. Ibland får han hämta någon. Idag jobbade vi med lite mer störning av andra ekipage. Empress är en annan modell av hund så med
henne får jag tänka på lite annat sätt och det är lite klurigare för mig men oj vilken lättsam och enkel, mjuk och rar och lyhörd tjej hon är!
2018-10-24
Kennelträff där vi presenterade de tre aktiviteterna Rallylydnad, Tävlingslydnad och Nose Work
Några Atomosar kom och visade de tre olika aktiviteterna Rallylydnad, Tävlingslydnad och Nose Work och sen fick alla som ville testa lite och vi var flera som svarade på frågor och funderingar.
Förhoppningen är att träffen
gjorde några nyfikna på någon ny grej och inspiration att träna vidare. Om det finns intresse så kommer Anna och Ulrika ordna en träninggrupp som uppföljning på detta. Hör av er
om ni är intresserade!
2018-10-22
Lite nya aktiviteter finns i forumet
Bla en kennelträff där vi presenterar WT och B-prov för dom som vill veta mer om vad det innebär och vad som förväntas av hund och förare.
2018-10-22
Grundlydnad
Kursdeltagarna bestämmer själva kursens innehåll och idag var temat lös hund vid sidan och inkallning. Kluriga övningar blev det och lite rörigt blev det
bitvis men är det någonstans som man ska våga testa så är det ju just på kurs tillsammans med härliga kurskamrater som sitter i samma båt.
2018-10-22
Gemensam träning
Anna skrev i forumet och ville ha träningskompisar men så blev hundarna sjuka så Anna kunde inte komma...men vi blev ett litet gäng ändå!
2018-10-19
WT-träning
Jag hade förberett 5 stationer och det var ett härligt gäng hundar och förare som var med idag! Jag tror att vi har flera ekipage som vi kommer kunna peppa att
starta på WT så småningom, kul!!
2018-10-15
Grundlydnad
På den här kursen jobbar vi med det som kursdeltagarna önskar på temat sådant som hör vardagen till. Idag blev det att gå fint vid sidan,
göra avslappnade hundmöten och att föraren skulle hälsa på en person utan att hunden skuttade omkring.
2018-10-15
Gemensam träning
Jag skrev en rad i forumet och önskade mig träningskompisar och vi blev ett gäng idag igen
i det underbara höstvädret! Vi la ett viltspår till Dina och så ville Per och Jawa ha lite hjälp med skotträning. Så duktiga allihop!! Min dag blev inte riktigt som jag hade planerat
så mina hundar får helt enkelt träna en annan dag...
2018-10-14
Grad A!!
Idag kom Leahs Hd-resultat och hon fick grad A!! Härligt!! Alla syskonen Lakritstroll har fått A!
2018-10-14
Kursen som vi kallar Samspelta på jakten
Andra kurstillfället idag. Vi jobbar utifrän hur hunden tänker och utgår från att hunden har en bra tanke med de beslut som hunden tar. Om vi vill att hunden
ska göra på ett annat sätt eller ha en annan känsla så måste vi anpassa övningen eller förutsättningarna runt omkring oss osv. Det är alltså vårt fel, inte hundens, när det inte
blir så som vi tänkt oss. En stillsam kurs för att vara en jaktkurs och jag tycker att vi har hittat tänkvärda saker att jobba vidare med för alla ekipagen.
2018-10-13
Grattis Ticket!!
Idag fyller vår härliga gosse 1 år!! Han fick så klart är stor tårta och massor med extra kramar och pussar!
2018-10-11
Fina resultat!
Flera Atomosar är i farten och startar på prov/tävling/utställning så ni kollar väl resultatlistan här på hemsidan?!
2018-10-11
Gemensam träning
Jag la ett inlägg i vårt forum om att jag gärna villa ha träningskompisar idag och jag fick fler kompisar än jag hade vågat hoppas! Kul!
Jag tränade med Empress och Ticket och vi passade på att jobba med sånt där som man behöver ha hjälp med och idag blev det mest markering och därmed också stadga och transport.
Pernilla hade bakat en massa godsaker till oss och Anna bjöd på kaffe så det blev en riktigt mysig stund i den härliga höstsolen. Tack alla ni som kom! Jag vill gärna träna snart igen
så jag kommer lägga ut ett nytt datum i forumet och hoppas på träningssällskap igen!
2018-10-08
Full fart i viltspårsskogen
Hösten är en härlig tid och att gå viltspår i den härliga färgglada höstskogen är så underbart! Idag var det ett ekipage som jag gav klartecken att anmäla till ett anlagsprov och
att ha fått se ett så duktigt ekipage i spårskogen gör mig lycklig resten av dagen!
2018-10-07
En ny kurs som vi kallar Samspelta på jakten
Vad innebär samspelt? Hur får man ett bra samspel med sin hund? Fallgropar?
Vi försöker tänka utifrån hur hunden tänker och på så sätt komma på hur vi ska göra för att lösa det där klurigheterna som vi hittills inte riktigt fått till i jaktträningen.
Det blir alltså mest träning av förarna och det är så tydligt att när vi lägger upp övningen rätt så gör hunden rätt! Tack alla förare för att ni ville bjuda på
så många lärorika exempel.
2018-10-07
Pralinerna fyller 4 år!
GRATTIS på födelsedagen till våra två Praliner Lisa och Linus! Pappa Melker äter extra mycket godis för att fira er födelesdag här hemma!
2018-10-03
GRATTIS på 9 års-dagen!!
Idag fyller Som Djur-kullen 9 år! Vår fina färgglada höstkull! Hoppas att ni alla får en riktigt härlig födelsedag!!
2018-10-01
Hundmatshämtning
Flera bokade leveranser dök inte upp idag så vi hade det riktigt rörigt när vi skulle få ihop hundmat till alla som beställt. Det löste sig hyfsat bra tillslut trots allt!
Stort tack till Pernilla och Ulrika som var med och hjälpte till
från morgon till kväll!
2018-09-30
Valpkurs
Sista kurstillfället. Vi jobbade med sitt kvar och gå vid sidan och så berättade jag hur jag tränar och tänker kring inkallning. Vad är det svåra med inkallning och hur
kan man jobba med varje bit för sig i för att få ett en inkallningssignal som fungerar i alla lägen? Vi pratade också om att det är bra att
tänka tanken att hunden kan sticka efter ett vilt och att det är viktigt att veta innan hur man vill agera i en sådan situation.
2018-09-30
Träff med apportering för våra yngsta
Vi var några stycken som passade på att ses en stund innan valpkursen för att träna lite apportering. Det finns så fina egenskaper i våra yngsta stjärnor!
2018-09-28
WT-träning
En härlig höstdag och duktiga hundar och förare! Jag hade förberett fem stationer och ekipagen var på olika nivå så det fanns möjlighet att
anpassa så övningarna skulle bli lagom kluriga för alla. Träningen gav mersmak för oss alla tror jag så jag ska försöka boka in fler WT-träningar
framöver.
2018-09-26
Grad A och B!
Nu har vi sett resultaten på SKKs Hunddata och alla röntgade Lakritstroll fick grad A och Jawa som är Saltkråka fick grad B!! Härligt!! Nu börjar jag så klart
genast att drömma om hundvalpar!!
2018-09-26
GRATTIS!
Idag fyller Lopporna 2 år!! Tre underverk! Jag är helt säker på att ni kommer få en toppendag!
2018-09-20
HD-röntgen
Idag har vi röntgat höfterna på hundarna i kullarna som vi kallar Lakritstrollen och Saltkråkorna. Jag bokar alltid en gemensam tid för dom som vill för då kan vi ge hundarna
en så bra upplevelse som möjligt och tillsammans kan vi titta på bilderna. Det känns bra tycker jag. Självklart åker vi till Kicki Lagerblad för hon är bara bäst på
att röntga hundar och
att ge hundarna en bra upplevelse. Nu håller vi tummarna för att SKK gör bedömningen A eller B på våra älskade fyrfota vänner!!
2018-09-10
GRATTIS!
Idag fyller Smulorna 2 år!! Hoppas att ni alla får en riktigt härlig födelsedag!!
2018-09-09
Valpkurs
Vi började med frågor och funderingar från allas vardag och tankar om det vi pratade om på förra kurstillfället. Bra saker som togs upp tycker jag. På mina valpkurser så är det
liksom inte jag som bestämmer innehållet utan det viktiga är att vi pratar om det som alla vill ha hjälp med och funderar på i sin vardag. Sen har jag så klart en idé om
vad en valpkurs bör innehålla men på ett eller annat sätt så kommer mina saker med om jag låter kursdeltagarna välja ämnena. Vi jobbade med
sitt kvar och gå vid sidan och så fick de ägare som vill ta en promenad på fältet och släppa sin hund och vi pratade om vad vi såg på temat följsamhet och relation och
och kom med lite olika tips på hur jag gör för att komma till de mål som jag har dvs att hunden ska ha koll på mig på promenaden och jag vill inte behöva ropa på hunden.
2018-09-09
Träff med apportering
Det är praktiskt att passa på och göra flera saker när vi ändå ses så vi som vill träffas innan valpkursen och kör lite apportering. Det var riktigt duktiga ekipage idag
och jag är så stolt och så nöjd! Två av hundarna har jag inte sett apportera sedan de bodde här hos oss och nu när jag fick se
dessa två jobba så fint så fick jag blinka bort en liten glädjetår i ögat. Älskade fyrfota vänner!!
Lovande apportörer och riktigt duktiga förare och så dessutom det där sköna lugnet bland dom ekipage som tittar på och väntar på sin tur. Då
är det en fröjd att vara uppfödare!
2018-09-07
Mysig förmiddag!
Det är så himla kul att hjälpa målmedvetna vetgiriga valpköpare och Kerstin och hennes matte Caroline är så ihärdiga med att försöka få till så vi
kan ses och träna tillsammans och idag hann vi ses en stund igen. Vi testade en massa varianter för att se vad som
funkade och jag fick en bra bild av hur jag tycker att vi ska jobba mot de mål vi satt upp.
Jag fick ett mail från Caroline kort efteråt och det gör mig så glad att förstå att hon fick med sig nya tankar och idéer från vår stund.
Det är en förmån att få följa med på resan dom gör och Caroline är så flitig med att höra av sig med träningsrapporter och
nya frågor och funderingar. Det gör mig så glad!
Jag blev så full av inspiration efter träningen med Kerstin och Caroline så jag var tvungen att träna lite med Ticket och Empress. Det går sakta med väldigt säkert framåt nu
och Ticket vill verkligen lära sig nya saker och visar hela tiden vilken kapacitet han har. Han är en typisk sådan där flat som man visar en ny sak
och sen sover han på saken och sen han har långt mycket mer än jag visste. Empress är så lättlärd, snabb och hon har en fantastisk näsa och hon är så
extremt noga med att förstå och göra rätt så jag får anstränga mig för att förklara precis vad jag förväntar mig av henne och bli arg på mig själv när
det inte blir så som jag tänkt mig. Älskade hundar!! Ni är mina lyckopiller!!!
2018-09-04
Planering av nya kennelaktiviteter!
Idag träffades jag och Anna och Ulrika för att planera lite inför den kennelträff som dom erbjudit sig att hjälpa till att ordna. Vi har tänkt att det ska bli en presentation av rallylydnad,
tävlingslydnad och nose work på den första träffen. Tack Anna och Ulrika för att ni vill hjälpa till att ordna roliga kennelaktiviteter!!
Sen hoppas jag så klart på att några vill hjälpa till så vi även kan ha en presentation av
b-prov, wt och lite utställning på någon kommande kennelträff.
Jag har inte kört rallylydnad med egna hundar tidigare så idag fick både Ticket och Empress en första lektion av Anna och Ulrika och vi alla tyckte att
det var kul och i synnerhet Empress. Älskade hundar vad ni gör mig lycklig!
2018-08-29
Hundmatshämtning!
Skönt med lite svalare väder! Det var så tomt i alla frysar denna gång men idag fick jag fick hjälp av Pernilla och Ulrika att packa ben och även fylla frysar med korvar och burgare. Jag
gillar frysar fulla av den bästa hundmaten!! Vi fick snabbt ihop allas beställningar och kunde börjar levererar till alla valpköpare redan strax efter kl 15. Skönt när det inte blir
så stressigt.
2018-08-26
Valpkurs
Idag hade vi första kurstillfället på valpkursen som jag nu erbjuder våra yngsta kullar. Jag har alltid en tanke om vad jag vill att vi ska hinna prata om på ett sådant här kurstillfälle
men det viktigaste är att alla får svar på sina frågor och funderingar så jag vill att vi hjälps åt att fylla kurstiden med sånt som känns aktuellt just nu.
Det blev bra saker som kom med på det här kurstillfället tycker jag och jag ser verkligen fram mot nästa gång. Men allra mest värmer det så klart i mitt hjärta när jag ser så
extremt väl fungerade av-knappar hos dessa unga hundar. Å så härligt fokus när de ska göra en övning.
Imponerande både att valparna är så bra men också att ägarna har jobbat så bra med sina nya vänner!
Jag blev så innerligt lycklig av det jag fick uppleva idag!!
2018-08-19
Kennelträff!
Jag hade förberett några stationer till de vuxna hundarna och jag visade hur jag hade tänkt upplägget men sen fick dom klarar sig på egen hand för min plan var
att lägga mitt fokus på de unga hundarna. Vi har många unga hundar just nu och det är så härliga individer och så duktiga förare så jag vill så gärna vara
med och förvalta alla lovande ekipage. Vi gjorde stort sök med alla och det var första gången för de flesta. Vi fick se lite olika varianter och det är ju
bra så vi fick prata om olika sätt att tänka och träna framöver. Men, nu glömde jag ju den där övningen som jag skulle visa för att få lite mindre spring och lite
mer näsa! Vi får ha en träff snart igen helt enkelt!
Vi hade en gemensam fikastund så vi alla fick träffas trots att vi inte tränade tillsammans. Efter kaffet tog jag med mig de unga lovande ekipagen och så
berättade jag lite mer om stadga och transport och
vikten av att känna den där lugna goa känslan både i vila och arbete. När man har en flat så måste man jobba mest med att hitta den lugna känslan och njuta av passivitet (och dricka kaffe!)
tillsammans med sin hund.
2018-08-16
Träning mot målet att bli vårdhund!
Jag har idag haft förmånen att träna tillsammans med Kerstin och hennes matte Caroline. Planen är att Kerstin ska bli vårdhund och jag tycker att det är så spännande att få vara
en del av den resa som Kerstin och Caroline gör tillsammans.
Samma eftermiddag så hade våra fina Dina och hennes matte Pernilla möjlighet att komma förbi och träna lite apportering. Kul att få se Dina jobba för jag känner ju
inte henne lika bra som mina andra fodertikar för Dina är ju född i Danmark och flyttade hit när hon var 15 veckor.
2018-08-13
Har-kullen fyller 8 år!!
GRATTIS!! Åren går så fort och redan är ni 8 år!! Hoppas att ni alla får en riktigt härlig födelsedag!
2018-08-13
Inga Tuffa-valpar på detta löp...
En stor fördel med insemination är att man alltid har bra koll på löpet och tiken för att hitta rätt dag för insemination. Eftersom Tuffa är min egen tik så har jag
bra koll på tidigare löp. Den här gången var det inte riktigt som det brukar och tillsammans med vår duktiga veterinär så har vi kommit
fram till att detta löp inte är optimalt och därför väljer vi att avstå att inseminera Tuffa och väntar på nästa löp.
2018-08-09
Vi ser fram mot allt skojigt vi ska göra tillsammans!
Det har varit för varmt för både oss och våra hundar så den här sommaren har det inte alls blivit den hundträning som vi hade planerat. Ingen har orkat. Nu är det äntligen lite hopp om skönare
temperatur så nu sätter vi igång!
Jag var ute och tränade apportering med mina två unga hundar, Ticket och Empress, igår och det har varit bra för dom både att mogna på
sig under sommaren så nu ska det bli riktigt roligt att få utveckla dessa två härliga apportörer.
Vi har tyvärr haft massor med strul med hemsidan och forumet. Därför inga uppdateringar på ett tag. Nu har vi flyttat allt till ett annat webhotell så nu hoppas vi att vi inte
ska få samma problem men långa perioder där hemsidan och forumet ligger nere.
Några ekipage har varit på prov och utställning under sommaren och deras resultat har först nu kommit ut på hemsida på grund av dessa tekniska problem.
Så titta gärna på resultatsidan och skriv gärna ett grattis i gästboken för det uppskattas ju så klart!
Vi har tyvärr inte hittat några valpar i Spejas mage för det var sorgligt tomt på skärmen när vi gjorde ultraljud. Trist! Vi kommer göra ett nytt försök
att para Speja på hennes nästa löp och då blir det nog en annan hane. Återkommer när vi bestämt oss.
Nu löper Tuffa så vi kommer inseminera henne och pappa blir Foxpath Comus "Remus". Han är pappa till våra två valpar som vi kallar Bönorna och det är två
riktigt härliga tikar så vi vill så gärna ha fler valpar efter Remus!
Jag har börjat boka in lite aktiviteter för oss Atomosar så ha koll i forumet om ni vill vara med!
2018-07-12
Dröm-kullen fyller 5 år!!
GRATTIS!! Här firar vi vår Tuffa idag!! Hon vill helst bada så det får bli ett födelesdagskalas vid vattnet. Vi önskar alla syskon en härlig dag och hoppas att ni blir
ordentligt firade!!
2018-07-08
Kullträffar för våra tre yngsta kullar
Först kom våra yngsta i Super-kullen och Bönorna. Det blev en bra pratstund om de funderingar som valpköparna hade och så berättade jag lite om hur jag tänker och träna med en
valp i den här åldern. Några av mina exempel gav en liten bild av hur jag tänker och tränar det jag kallar för bubblan. Sen gjorde vi en apportering med alla valpar. Oj
va duktiga dom var!! Jag fick hålla tillbaka tårarna för jösses va stolt jag är över dessa två kullar och deras förare!!
Som avslutning på Super-kullens och Bönornas träff så pratade vi om passivitet, stadga och transport och det blev då också inledningen på Hopp-kullens träff.
Med valparna i Hopp-kullen så jobbade vi med just stadga och transport och jag visade några övningar som jag tycker passar unga hundar.
2018-07-03
Speja+Remus!!
Idag har vi inseminerat vår älskade Speja med fryst sperma efter fina härliga Remus! Nu håller vi tummarna hårt för att det föds ett gäng starka friska valpar
här hos oss i början av september. Valparna vill flytta till sina nya familjer i månadsskiftet oktober/november.
Atomos Drömäventyr "Speja"
Speja är 5 år och det här blir hennes första kull hos oss. Hon bor hos Tove och Lars i Sigtuna och vi är så glada och tacksamma att dom låter oss
få låna Speja för en kull här hos oss.
Foxpath Comus "Remus"
Remus är född och uppvuxen i England och nu bor han i Australien. Remus är 4 år nu och han är en härlig rasrepresentant med mycket intressant stamtavla och han har visat att han är
duktig på jakten och dessutom just fått
de poäng som behövs för bli Show Champion i Australien. Stort tack till ägare Jill Wake och uppfödare Polly King för att ni vill låta Remus få valpar här hos oss.
2018-06-29
Bilder på Bönorna!
Här är bilderna som Jon tog på valparna när dom var 8 veckor:
Atomos Fulländade Böna "Fanny"
Atomos Förträffliga Böna "Selma"
2018-06-29
Bilder på Super-kullen!
Här är bilderna som Jon tog på valparna i Super-kullen när valparna var 8 veckor:
Atomos Superstar "Dusty"
Atomos Superhero "Elliot"
Tikar:
Atomos Supergirl "Ellie"
Atomos Superwoman "Thea"
Atomos Superhjälte "Siri"
Atomos Supertalang "Luna"
Atomos Superstjärna "Nova"
Atomos Superkändis "Sonja"
2018-06-27
Hundmatshämtning
Det var ju fotboll på tv....så det blev ganska lugnt på hundmatshämtningen idag för många kom tidigt och många kom sent!
2018-06-26
Viltspår
Ännu en kväll med unga lovande viltspårshundar!! Kul!!
2018-06-24
Kullträff och kennelträff
Först kom våra yngsta i Super-kullen och Bönorna. Det blev en bra pratstund om sådant som vi kände var aktuellt just nu. Bra frågor och funderingar tycker jag och
summan är att det går väldigt bra för alla. Skönt! Sen kom resten av Atomosarna och jag bjöd alla på lunch och fika. Det blir alltid så
mysiga samtal när vi äter och dricker kaffe tillsammans så tack till er alla som vill dela med er av livet tillsammans med era fina hundar.Efter lunch
visade jag de vuxna hundarna några stationer som dom kunde jobba på och jag ägnade mig sedan åt att träna lite stadga och transport med Hopp-kullen
och så visade jag en första övning i stort sök. Duktiga ekipage!!
2018-06-20
Viltspår
Ikväll gick vi viltspår med några av de unga hundar som var med på kullträffarna med ett första viltspår som jag ordnade för ett tag sedan. Jag
är så tacksam att jag får följa utvecklingen hos dessa unga lovande hundar och deras engagerade och entusiatiska förare!
2018-06-20
Gemensam träning
Kul att vi blev några stycken. Mina unga hundar behöver mer erfarenhet av att ta det lugnt i grupp med andra ekipage så den här förmiddagen var givande för oss. Tack alla
fina ni som kom och drack kaffe med oss!
2018-06-17
Nu är äntligen vår Dina här hos oss!
I fredags åkte jag och Pernilla till Danmark för att hämta hem Dina. Mamma till Dina är Diaz (Atomos Drömvävare) och tanken från början var att Diaz skulle få en kull
här hos oss men så frågade min kompis Randi (kennel Durin´s i Danmark) om hon kunde få ta den kullen istället och så fick jag en valp. Självklart! Jag tvekade inte en sekund!
Bara roligt att en så bra hund som Diaz får en kull hos en annan kennel i ett annat land så våra fina linjer sprider sig lite. En av bröderna
flyttar dessutom till Grönland så det blev ju extra roligt. Så nu var det dags att hämta Dina.
Tusen tack Pernilla för att du erbjöd dig att hjälpa till även nu när
hund nummer tre på ett år skulle importeras till Sverige.
Stort tack till Randi och Öivind som gjort detta möjligt för oss!

En så trygg och stabil valp som bara somnar på flygplatsen!
Så som jag har längtat efter den här dagen och Dina är så lik sin fina mamma Diaz!

Vi hade tid med en lång pratstund och Dina tog allt med ro.
Personalen på flytgplatsen var så underbar!! Den här mannen hade en egen hund och han blev så förtjust i Dina.
Kvinnan som skulle ta hand om Dina när hon var i buren var också så rar med Dina.
Jocke hade skickat med ett extra säkerhetssnöre som Pernilla knöt dit innan vi vinkade hejdå till Dina.
Efter en lång väntan vid en stängd dörr så kom äntligen en man och hjälpte oss.
Dina var helt lugn i sin bur.
Här är vår hjälte Pernilla som nu hjälp oss att få tre nya älskade fyrfota vänner och samtidigt tre lovande avelshundar till Sverige!!
Här är några bilder på Dina nu när hon är hemma hos oss. På fredag flyttar hon till Rose-Marie och Börje som kommer att förvalta henne
på bästa sätt och vi behåller så klart avelsrätten för vi alla vill att Dina ska få valpar hos oss en dag.
2018-06-06
De sista två valparna har hittat sina hem!
Idag kom en gammal valpköpare på fika och dom köpte hund av mig 2007 så nu var det dag för familjen att skaffa en ny vän och jag är så glad att ännu en
valp får bo hos Marie och hennes fina familj! En ny valpköpare kom också på besök idag och dom föll pladask för vår sista valp så nu har alla
valpar hittat sin familj så vil hälsar Katrin med familj hjärtligt välkomna till Atomosgänget!!
2018-06-06
Kullträff med viltspår
Idag hade vi den andra kullträffen av två med viltspår. Det var bara en hund som kunde komma idag men det blev ju mysigt det också!! Tack till Pernilla och Cattis som kom och hjälpte
till med att lägga spåret.
2018-06-02
Valpleverans
Idag flyttar fyra valpar, på torsdag flyttar två valpar och på lördag flyttar två valpar. Den här stora dagen när alla valpar får sin nya ägare vill vi gärna
bjuda på lite extra fika för det sak vara en festlig dag tycker vi men känslorna är så klart blandade. Jag tycker att det är jobbigt att valparna ska skiljas åt och
aldrig mer vara det fina gäng som de varit här hos oss. Men så är det ju en glädjens dag också för alla valpar har fått så fina hem!!
2018-05-31
Hundmatshämtning
Ännu en härlig hel lång dag tillsammans med goa Atomosar!! Nu är många frysar fulla med den bästa hundmaten och det gör mig så lycklig!! Tack alla ni som gjorde detta möjligt idag!
2018-05-28
Första dagen på jobbet för Kerstin!
Det första man måste lära sig om man ska bli en bra vårdhund är att koppla av på jobbet. Det fixar Kerstin galant för
jag har fått bilder på henne under dagen idag och hon ligger i olika ställningar och sover. Bra jobbat
av Kerstin och matte Caroline att få till det så här bra redan första arbetsdagen!!
2018-05-26
Min älskade Kerstin!
Igår flyttade Kerstin till sin nya matte Caroline med familj. Jag saknar Kerstin jättemycket
men jag är samtidigt väldigt glad för den möjlighet som Caroline erbjuder Kerstin.
Caroline jobbar som arbetsterapuet på Tunåsens äldreboende i Uppsala och Kerstin ska få
vara med där på dagarna och utbildas till vårdhund. Vilket härligt hundliv!! Jag
ser så mycket fram mot att få följa med Kerstin och Caroline på den spännande resa dom nu ska
göra tillsammans. Jag kommer skriva här och berätta om deras väg mot målet.
Kerstin har verkligen klivit in i mitt hjärta under den tid hon bott här hos oss så
självklart så behöll jag avelsrätten för en kull så om några år vill jag så gärna ha små
Kerstin-barn här hemma.
2018-05-23
Fotografering
Ikväll har Jon och Lotta varit här och hjälp mig att ta uppställningsbilder på alla valparna. Guld värt att få så proffig hjälp tycker jag!
2018-05-20
Valpmys och fika!
Trevligt att ha er här allihop!! Idag har vi börjat bestämma vilken valp som ska flytta till vem. Jag passade också på att berätta om några saker som jag tycker är viktiga att tänka på när man ska
få hem en ny familjemedlem och få en bra start tillsammans.
2018-05-17
Blodgivare!
Många av hundarna som jag fött upp är blodgivare och det är jag riktigt stolt över för det betycker friska fina hundar och engagerade ägare som vill hjälpa till.
Ikväll var det info-kväll och Cilla bjöd med mig. Tack! Trevligt! Vi fick god mat och bjöds på föreläsning, berättelser om verkliga fall där
blodgivarna räddat liv samt en visning av labbet.
2018-05-15
Remus som är pappa till Tessys valpar!
Jag fick just två fina bilder på Remus! Han bor nu i Australien. Den andra hunden är hans familjemedlem Bette.
2018-05-14
Återträff med gänget som jag gick specialsöksinstruktörsutbildningen tillsammans med!
Så himla mysigt att ses igen och få höra om allas erfarenheter från kurser och träningar och få lite fler tips från vår coach Siw för hon är alltid så full av nya tankar som hon vill dela med sig av.
Vi ses snart igen hoppas jag!!
2018-05-13
Valpmys och fika!
Ännu en härlig kullträff för våra två yngsta kullar som ännu bor kvar här hos oss!! Det är så härligt att få lära känna alla nya förväntansfulla valpköpare!!
2018-05-10
Kullträff med viltspår!
Idag la vi ett första viltspår för de som ville i kullarna Lakritstrollen, Saltkråkorna och Hopp-kullen. Tack Pernilla och Cattis för att ni la alla spåren!!
2018-05-08
Bubblan
Svårt att hitta lugnet hos både hundar och förare när vi tränar bubblan på en av de roligaste platser hundarna vet. Det tar sin lilla tid att hitta sina egna verktyg och vägen och målen ser olika ut'
för oss alla men jag tror att vi är många som överens om att det är härligt att kunna ge hunden möjlighet att koppla av när det är rörigt runt omkring. För mig
är det en förutsättning för att vår vardag ska vara trevlig och grunden för allt som jag vill göra med mina hundar.
2018-05-06
GRATTIS på 10 årsdagen!
Idag fyller Livet-kullen 10 år!! Alla finns inte här hos oss längre så vi tänker extra mycket på er alla idag. Hoppas att ni får en underbar dag och mycket gott att mumsa på!
2018-05-06
Valpmys och fika!!
Idag var vi ute. Underbart varmt väder hela dagen!! Så mysigt!! Tack alla ni som kom! Jag ser verkligen fram mot att få leverera mina fina valpar till
er entusiastiska vetgiriga valpköpare. Vi kommer ha så mycket kul tillsammans!!
2018-05-06
Valpkurs
Sista krustillfället för på valpkursen! Bra tankar och funderingar och riktigt duktiga hundar och förare. Jag är så glad att jag får förmånen att följa med på den resa mina fina
älskade hundar gör genom livet. Nu har vi ingen mer kurs inbokad men har ni önskemål så hör av er så får vi se vad som går att få till!
2018-05-04
Hundmatshämtning
Full fart hela dagen och knappt tid för kaffe men härligt roligt och mycket trevligt tycker jag!! Nu är många frysar fulla med den bästa hundmaten och det gör mig så lycklig!!
Tack alla ni som ställer upp och hjälper till! Utan er blir det ingen hundmatshämtning!!
2018-05-03
Tävlingslydnadskurs
Sista tillfället för den här gången. Dessa kurser är alltid lite speciella och riktigt trevliga!! Nu hoppas jag på att vi börjar närma oss att några vågar starta startklass!!
2018-05-01
Valpmys och fika!!
Första besöket i valphagarna! Ett härligt gäng valpköpare på besök! Alltid lika trevligt att ha er alla här hos oss!!
2018-05-01
WT-träning
Fem stationer, nja sex stationer för vi hade ju en station med fika också! Jag tycker att stationerna gav lagom utmaning för alla och vi fick se riktigt duktiga ekipage även om alla
var på lite olika nivå. Några passiva ekipage var också med idag och dom skötte sig bra dom också.
2018-04-23
Nya härliga valpköpare!!
Det är så roligt att få träffa alla er nya förväntansfulla nyfikna vetgiriga valpköpare!! Än har vi inte bjudit på valpmys så dom som vill komma hit och träffas oss får än så länge
nöja sig med att vi ses ute och att vi umgås med några av våra andra hundar. Mammorna och valparna ska få lugn och ro några dagar till men till helgen tänkte jag att vi ska
börja bjuda in dom som är intresserade av en valp i kullarna.
2018-04-28
Fortsättningskurs i nose work
Sista kurstillfället för den här gången. Först gjorde vi några övningar tillsammans. Jag ville visa lite hur man kan träna hunden i att jobba bra i vind och vittringsfält.
Vi gjorde även en variant på fyrpunktsövningen dvs fyra doftkällor nära varandra och diskuterade vad hunden lär sig av denna typ av övning och hur man kan variera den för att
få önskat resultat. Sedan hade jag gjort i ordning sju olika områden med olika svårigheter. Inne i ett garage, ute i skogen, fordornssök på vår traktor och så några sök med lite andra klurigheter
plus ett inomhussök med en hög doftkälla som hängde ner från taket mitt utan att det fanns några föremål i närheten. Klurigt och roligt!! Alla gjorde alla stationer och ingen fick avslöja var doftkällan var
så det skulle bli okänt för alla. Vi hade kommit överens om att vi skulle avsluta med att en hund skulle göra varna område när vi andra tittade på och planen var att doftkällan skulle vara okänd
även för det sista ekipaget.
Alla verkade nöjda efter dagens kurs! Kul!!
2018-04-25
Träning med vilt
En valpköpare hade önskat att jag skulle hjälpa till med lite träning med vilt just denna förmiddag och det var ytterligare några som ville vara med. Jag hade tinat
några olika sorters fåglar och kaniner. Det är så kul att se hundar som första gången presenteras för vilt. Alla hade sina favoriter och tog dom fint. Det var
även några lite mer erfarna hundar med idag så till dom gjorde vi några markeringar och sök.
2018-04-24
Bubblankurs
En härlig kväll med 12 lugna hundar på åkern på Bärmöudd. Tänk att vi fick till känslan även här på åkern som är en av de roligaste platserna med mest förväntningar
på aktivitet för många av hundarna. Jag tycker så himla mycket om Bubblantanken och vad dom verktygen gör med hundar och förare!!
2018-04-23
Nya härliga valpköpare!!
Det är så roligt att få träffa alla er nya förväntansfulla nyfikna vetgiriga valpköpare!! Än har vi inte bjudit på valpmys så dom som vill komma hit och träffas oss får än så länge
nöja sig med att vi ses ute och att vi umgås med några av våra andra hundar. Mammorna och valparna ska få lugn och ro några dagar till men till helgen tänkte jag att vi ska
börja bjuda in dom som är intresserade av en valp i kullarna.
2018-04-22
Valpkurs
Det blir bra frågor och funderingar när denna kull träffas. Kul tycker jag!! Vi jobbade med sitt, sitt kvar och gå vid sidan. Det är så klart mycket kvar att jobba med men
alla förare visade att de fått till en bra start i detta svåra med att förklara icke hundiga saker för sin fyrfota vän.
2018-04-22
Kullträff med apportering för Hopp-kullen!
Andra tillfället. Mycket kan hända när man göra sina första apporteringar men summan är att det finns riktigt härliga apportörer i dessa små krabater! Jag är så nöjd med kullen!! Tack för
att ni kom!
2018-04-20
Vilket underbart väder!
Idag hade vi en gemensam träning här på Bärmöudd. Vi blev ett härligt gäng hundar och människor och solen värmde så skönt och fikakorgarna var proppfulla. Temat för dagens träning
var ordning och reda och lugna hundar och förare. Dom ekipage som skötte sig bra fick hämta några apporter.
2018-04-18
GRATTIS Bästa-kullen!
Idag fyller ni 6 år! Hoppas att ni alla blir ordentligt firade! Här hos oss har vi systrarna Pippi och Tessy och dom har fått massor med extra godsaker idag!
2018-04-18
Gemensam träning!
Så mysigt med en lugn och skön förmiddag tillsammans. Ulrika bjöd på gott fika också! Tack alla och va många vi blev en alldeles vanlig onsdagsförmiddag!
2018-04-16
KennelMästerskapet 2018!
Jag blir så varm i hjärtat när jag tänker på hur fina människor det finns i Atomosgänget! Vilken helg! Ni är underbara allihop!!
JuniorKennelMästare blev Atomos Badar Med Kläderna På "Jawa" med förare Anna
Årets Blåbär blev Atomos Tyra Trollpacka "Tyra" med förare Anna
KennelMästare blev Atomos Extra Xtra "Xtra" med förare Evelina
Förra årets KennelMästare var Atomos Tjuvaktig Som En Skata med förare Sandra.
Vi brukar alltid tacka förra årets vinnare med ett diplom så det inte ska bli så tomt på väggen när vandringspriset vandrar vidare.
Stort tack till er alla som kom och jobbade hela helgen och såg till att allt funkade så bra på stationerna och i köket och vid grillen. Ni är guldvärda!!
2018-04-13
Vi söker en fodervärd till Kerstin!
Vår lilla tjej är född 180111 och hon är fullt frisk och synnerligen trevlig. Vi tycker att hon är mycket lovande och har allt vi kan önska hos oss en ung flat så vi vill att hon
bor hos en fodervärd så vi kan få möjligheten att låta henne få en valpkull här hos oss i framtiden.
Kerstin (hon heter Atomos Hoppsan Kerstin i stamtavlan) är en pigg och framåt tjej. Massor med energi och lust och vilja men också lyhörd om hon
tar sig tid att lyssna. Hon älskar att jobba och använda näsan och hon tycker att det är väldigt roligt att apportera. Hon
är rumsren, kan gå fint i koppel, är van att åka bil, kan vara ensam korta stunder i bilen och hemma.
Hon är van att äta rå mat dvs kött, ben, grönsaker och frukt men inte torrfoder och vi vill att hon får fortsätta att äta den mat som hon är van vid. Vi tycker att Kerstin har stor potential
och vill att hon får bo hon någon som vill träna olika saker med henne.
2018-04-12
Tävlingslydnad
Kul att vi hittade några datum för tävlingslydnadskurs!! Kul att gruppen fylldes på med två nya hundar denna gång!!
2018-04-08
Valpkurs!
Första kurstillfället. Det blir mest teori på mina valpkurser för jag är övertygad om att vi får bäst resultat om ägaren först hittar sitt sätt att tönka hund innan man börjar försöka förklara
nya saker för sin fyrfota vän. Vi pratade om många bra saker och alla hade bra frågor och funderingar. Under tiden fick valparna träna på det där allra svåraste dvs att vara stilla tyst och lugn
i grupp tillsammans med andra. Det gick bättre den här gången än förra gången. Jag gillar det här med att varva med en stunds återhämtning och vila i bilen.
2018-04-07
Fortsättningskurs i Nose Work!
Först en enkelt övning för att vi skulle få möjlighet att diskutera hur en perfekt markering ser ut och tips på hur man tränar. Sen hade jag gjort fem områden och ett doftprovsliknande upplägg.
Ulrika var domare och tidtagare på doftprovet. Så klart spännande med okänd doftkälla och ett upplägg likt ett doftprov och det blev bra erfarenheter för alla ekipage. Alla doftkällor
var okända på alla områden men om man ville så kunde man få ledtrådar. Efteråt fick alla facit och jag tycker att det hade gått bra. Problem för alla på något område men
så ska det väl vara för annars har jag ju gjort för lätt! Å det var inte samma område för alla. Men som vanligt så var det ju duktiga hundar men förare som inte alltid kunde läsa sin
hund....bara träna lite mer!
<
2018-04-05
Grattis alla i PP-kullen!
Ni är redan 3 år gamla! Stor grattis på födelesedagen!! Jag hoppas att ni haft en härlig dag och att ni fått mycket gott att mumsa på!
2018-04-04
Grattis alla Laktritstroll!
Idag fyller ni 1 år!! Så fort det har gått! Hoppas att ni alla blir ordentligt uppvaktade idag!
2018-04-01
Molly och hennes åtta fina valpar!
En lätt och snabb valpning och alla mår bra!!
2018-03-30
Grattis alla Saltkråkor!
Hoppas att ni alla får en härlig ettårsdag och att ni får mycket gott att mumsa på!!
2018-03-30
Våra fina prinsessor!
Tessy fick två fina tikar igår. Fröken Brun och Fröken Svart!
2018-03-29
Tessy och hennes fina mage!
Dygn 61 idag så snart får vi träffa hennes valpar!! Jag lääängtar så!!
2018-03-29
Här är nu äntligen dom fantastiska bilderna som Jon tagit på våra valpar i Hopp-kullen!
Atomos Hoppsan Kerstin
Kerstin bor kvar hos oss så länge och vi hoppas på att hon hittar ett hem som är positiva till att hon får en valpkull hos oss i framtiden.
Atomos Hoppetossa
Bianca bor hos Kristina och hennes familj och vi har behållt avelsrätten för en kull.
Atomos Hopp Fallera
Tequila bor hos Jacob.
Atomos Hoppsansa
Hon kallas för Bodil och hennes husse och matte hämtar henne snart!
Atomos Hopp Fallerej
Han heter Gösta och bor hos Emma.
Atomos Hoppilandkalle
Nero bor hos Markku och Barbro.
Atomos Hoppas På Det Bästa
Chewie bor hos Christian och Therese.
Atomos Hoppsan Vilken Dag
Molle bor hos Erica.

Atomos Hoppsan Hejsan
Alex bor hos Sebastian och Natalie.
2018-03-25
Kullträff för Hopp-kullen och kennelträff för kennelns alla hundar!
Först träffade jag Hopp-kullen som nu är 10 veckor gamla. På den här första träffen efter att dom flyttat hemifrån så brukar vi prata om vad som hänt och reda ut de frågor och funderingar
som alla har. Jag passar så klart på att berätta lite om hur jag tänker och hur jag tränar med en valp.
Sen kom ett helt gäng gamla goa valpköpare och jag hade förmånen att få bjuda både nya och gamla valpköpare på lunch och fika. Trevligt!
När alla var klara så visade jag några stationer som jag hade förberett. Övningarna var inspirerade av de stationer vi har på KennelMästerskapet så att alla
som ville kunde träna lite inför KennelMästerskapet om tre veckor.
Under dagen idag träffade jag dessutom två nya familjer som vill köpa valp från oss och dom fastnade för varsin valp (tur att dom ville ha så olika typ av hund så
att det inte slutat med att dom ville ha samma valp!!) så nu är alla våra valpar sålda. Kvar hos oss finns fina Kerstin som vi vill ha på foder eller på något annat sätt
behålla avelsrätten på.
2018-03-23
Hundmatshämtning
Så mysigt att få träffa så många goa Atomosar, både tvåbenta och fyrbenta!
Trots att vi idag hade mycket att packa, bla 200 kg kycklingvingar som skulle packas i påsar med 1 kg, så hann vi klart i tid. Tack alla fina ni som kom och hjälpte till!!
2018-03-21
Gemensam träning!
En lite spontan träning i onsdagförmiddag. Mysigt! Jag och min nya vän Ticket behöver träningskompisar och dagens pass blev precis lagom för vår nivå.
2018-03-21
Riktigt fina HD-resultat!!
Nu på morgonen kom HD-resultaten på de hundar vi röntgade i torsdags. Tre grad A på hundarna Louie, Lady och Elsa i från kullen vi kallar Smulorna
och så grad B på Rusa som är från kullen vi kallar Lopporna!! Genast börjar min hjärna planera parningar....
Här är dom stolta föräldrarna!
Sesam och Xtra
Tuffa och Sesam
2018-03-20
Bubblan!
Riktigt duktiga ekipage på den här kursen! När man hittar den där rätta känslan hos hund och förare så klarar man saker som man inte trodde var möjligt.
Igår byggde vi upp övningen så att vi på slutet kunde kasta 12 dummies runt hundarna och alla kunde få till förflytta bland dessa kastade dummiesar med en bra känsla.
Så himla duktiga hundar och förare!! Nu kör vi nästa bubblankurs på Bärmöudd och då blir utmaningarna ännu lite större!
2018-03-18
WT-träning!
Härlig vårsol och goa människor och duktiga hundar!! Vilken härlig förmiddag!! Det finns så mycket bra saker i dessa hundar och förarna jobbar på så bra med sina fina hundar så nu
vill jag ha mer vårsol och så ses vi och tränar lite oftare och kanske att jag lyckas övertala några om att starta på ett WT?!
2018-03-17
Fortsättningskurs i Nose Work!
Kul med fortsättningskurs! Först fick alla göra en liknande övning för att se var i träningen vi är just nu. Alla hundar kunde doften galant. Vi kommer jobba mer med att förarna ska läsa sina
hundar och så lite finslipning på belöningsplacering och tajming behövs. Vi gjorde övningar i lite olika miljöer och så vi ge övningarna ett namn enligt tävlingsklasserna
så jobbade med inomhussök, fordonssök och utomhussök. Behållarsök gjorde vi så mycket på nybörjarkursen så det var kul att testa lite annat.
2018-03-16
Molly och Tessy har flyttat hem till oss!
Nu är dom här våra två fina mammor som får valpar här hos oss i slutet av mars och början av april! Jag ska ta några bilder på dom båda så ni får ses våra vackra mammor och deras fina magar!
2018-03-15
HD-röntgen av Smulorna och Lopporna!
Tack alla ni som kom! Ni är ju så goa allihop! Vi såg bilder på bra höfter som inte kommer få några problem i framtiden och jag är så glad för den men så är det
ju SKK som bedömer bilderna så vi håller tummarna att SKKs avläsare tycker som vi!
2018-03-13
Bubblan!
Ännu en kursomgång med bubblan! Härlig blandning av trogna kursdeltagare och nytillkomna. Då brukar kurserna bli som bäst! Vi jobbade med förflyttningar idag och
klurade lite på vad för verktyg som funkade då och så passade vi på att läsa hundarna reaktioner på varandra i olika situationer. Hundar framför, bakom, bredvid
eller när man ska passera en hund eller när man bli passerad av an hund. Det finns så mycket viktiga saker att titta på och det blev riktigt
intressant på ett ställe där hundarna gick mellan två stillastående hundar på ett lite för trångt ställe och alla hundar, både de som var i rörelse och de som stod still, visade
så tydligt men ändå på helt olika sätt att de tyckte att avståndet var för litet. Viktig info om varje hund men också nyttigt för
oss alla att se och klura på om den där hunden som verkar så ointresserad av andra hundar egentligen är helt oberörd.
Vi diskuterade många saker som påverkar oss när vi tränar med våra hundar och jag tror att det var fler än jag som fick med mig bra tankar. Ett
exempel som jag tog med mig mycket av var det Jon berättade om en övning han använt inom idrotten i var man bör ha sitt fokus och en för mig väldigt bra bild
över var jag bör vara i tanken och var jag ofta hittar mig själv när jag inte får till saker med min hund. Jag tycker att bubblankurserna är så lärorika!!
2018-03-12
Aramis fyller 11 år idag!
GRATTIS på födelesdagen! Idag tänker vi lite extra på dig och det är jag säker på att du vet. Dina fina barnbarn ligger här vid mina fötter och sover så gott!
2018-03-10
Dags att flytta hemifrån!
Nu har några valpar flyttat! Vi har några godingar kvar här så om du söker en ny vän, hör av dig! Eftersom vi tror mycket på kullen så håller
vi lite extra hårt i två av tikarna ett tag. Tanken är att dom inte ska bo här hos oss för alltid
utan vi söker rätt hem till dessa två men vi vill på något sätt ha avelsmöjlighet kvar (vi ersätter
så klart ägaren för det och överenskommelsens
kan se lite olika ut, det viktiga är att alla blir nöjda). Är du sugen på att vara fodervärd åt en tjej med härlig potential så kanske din nya vän finns här hos oss?!
2018-03-04
Valpträff!
Idag har vi haft både nya och gamla valpköpare här på fika och valpmysig! Alla förväntansfulla valpköpare är ju så klart välkomna hit varje vecka (och oftare om dom vill så klart!)
men de gamla goa Atomosarna får vänta till valparna är lite större. Det är härligt att blanda nya och gamla Atomosar och tänka på så mycket kul vi ska göra tillsammans!
2018-03-01
Diaz har fått valpar hos kennel Durin!
Vi är så glada att fina Diaz, Atomos Drömvävare, har fått en kull hos kennel Durins i Danmark! GRATTIS till alla inblandade! Stolt pappa är den engelskfödde hanen Mahinda Winstone. Tre tikar och
två hanar föddes den 1 mars. Mamma Diaz är så klart en duktig mamma till sina fina valpar.
2018-02-22
Fler aktiviteter för Atomosar!
Nu är det nästan slut på det aktiviteter som jag bokat in så nu måste vi fylla på med mer kurser och träffar. Har ni önskemål så skicka mig ett mail!
2018-02-06
Hundmatshämtning
Det flöt på bra idag och vi var klara i god tid. Mysigt att hinna ta en kopp kaffe och snacka lite skit med goa Atomosar!! Tack alla ni som är med och gör denna härliga dag möjlig!
2018-02-04
Nose work kurs
Många frågor och funderingar under dagens kurs! Det gillar jag!! Jag tror att vi nästan höll på dubbelt så lång tid som vi hade planerat men det viktiga är ju att vi
lyckas reda ut alla frågor och har en bra och tydlig plan på vad som ska tränas till nästa gång.
2018-02-02
Vi söker fodervärdar
Vi vill behålla avelsrätt på några av de valpar som föds hos oss så vi söker fodervärdar. Hör av er om ni är intresserade!
2018-02-01
Vi hoppas på valpar i början av april!
Molly har en kull hos oss tidigare och Dustin har flera kullar i Europa och det här blir hans första kull i Sverige.

Molly är en väldigt snäll och mjuk och synnerligen behaglig tjej som alltid vill göra rätt.

Molly är 6 ½ år och hon är född hos oss
och i stamtavlan heter hon Atomos Så Många Drömmar.

Dustin är 5 år. Han bor i Österrike.
I stamtavlan heter han Dustin Flat-XP.

Jag är så glad att
jag har fått kontakt med Dustins uppfödare Barbara, kennel Flat-XP, och jag är
så tacksam för att Barbara och Dustins ägare Renate vill låta Dustin få valpar
hos oss.
2018-01-31
Molly+Dustin!!!
Vi är så glada att vi fått möjlighet att låna Molly för en kull till hos oss!! Vi hoppas på att Molly och Dustin Flat-XP ska ge oss en kull med fina valpar i början på april. Dustin
bor i Österrike så vi har gjort en insemination. I Dustins stamtavla finns det många riktigt härlig gamla arbetshundar från bla England så det här blir en riktigt spännande kombination.
Tack till Dustins ägare Renate och tack till Dustins uppfödare Barbara, kennel Flat-XP i Österrike, för att ni vill låta oss använda er fina kille!!
2018-01-31
Nu har vi gett upp...
Det finns inga valpar i Pippis mage....så himla trist!!
2018-01-21
Nose Work!
Andra kurstillfället. Alla hade gjot läxan mycket bra så idag var alla hundar redo för att börja inlärningen av doften eukalyptus. Vi pratade och övade även på belöningsplacering och
tajming av belöningen och genast blev det lite svårare för förarna. Jag ser verkligen fram mot att se er tillsammans vid nästa kurstillfälle!!
2018-01-20
Årets första kennelträff!
En träff för att summera året som gått och smida planer för 2018. Alla skrev upp sina hundiga mål och så ser vi tillsammans till att uppfylla dom under året, eller hur?!
Träffen är också för att uppmärksamma som ekipaget som gjort bra ifrån sig på tävling/prov/utställning och extra kul i år var att jag fick dela ut en för mig alldeles ny rosett för
titeln RLD N! Visst är rosetten fin?!
Jag fick också förmånen att bjuda alla goa Atomosar på lunch och det var bra att vi skulle grilla maten så den kunde värma oss på flera sätt
för det var riktigt kallt idag. Tack alla ni fina som ville komma på träffen idag!!
2018-01-20
Nose Work!
Sista kurstillfället. Tre hundar var jätteduktiga på att hitta doften trots för föraren okänd doftkälla både i kartonger och placerad på okänt ställe bland några stolar.
Den fjärde kursdeltagaren missade kursgång 3 och det märktes ju så klart idag men ekipaget är på rätt väg så med lite mer träning så kommer det bli toppen!
Jag är jättenöjd med hur bra alla hundar och förare jobbade med tanke på att kursen bara varit på fyra
tillfällen totalt så har alla kommit förvånansvärt långt, kul!!
2018-01-12
Nio valpar!
Alla valpar mår bra och Tuffa är en fantastisk mamma!! Följ oss i valpdagboken som finns i forumet!!
2018-01-11
Valpning pågår!
Följ oss i valpdagboken som finns i forumet!!
2018-01-10
Valpdagboken!
Nu är Tuffas valpdagbok igång i forumet!! Ska försöka lösa så att det blir en länk här från hemsidan också. I valpdagboken så kommer jag att skriva och lägga ut bilder
så ni kan följa vad som händer här hos oss i vår valplåda!
Vi vill så klart gärna få en hälsning i gästboken när ni har läst i valpdagboken för vi uppskattar verkligen att få veta att vi har sällskap i lådan.
För att kunna skriva i gästboken så behöver man vara inloggad i forumet (det blir så mycket reklam och annat skräp i gästboken annars).
Om ni inte har en inloggning och vill skriva i gästboken så hör av er så fixar jag en inloggning.
2018-01-10
GRATTIS på födelsedagen!!
Extra-kullen fyller 6 år idag!! Hoppas att ni alla får en underbar dag och många goda saker att mumsa på!!
2018-01-07
Nya valpköpare!
Nästa vecka föds Tuffas valpar så idag är sista dagen som jag träffar nya valpköpare innan jag kryper ner i valplådan med Tuffa. Den här sista veckan har inte Tuffa behövt vara med och
träffa nya valpköpare utan Puzzel har fått vara stolt mormor istället. Jag har haft förmånen att få träffa flera härliga förväntansfulla människor som vill erbjuda en av våra
kommande valpar ett hem. Nu ser jag ännu mer fram mot att få lära känna Tuffas valpar så jag kan få para ihop rätt valp med rätt valpköpare!!
2018-01-07
Nose work!
Idag startade ett nytt gäng på nose work kurs! Kul!! Lite ivriga hundar i början men jag tycker att vi fick till det bra så de sista söken vi körde jobbade alla hundarna väldigt bra.
2018-01-06
Nose work!
Kurstillfälle 3 för den här gruppen. Vi kunde snabbt konstatera att alla hundarna nu kan doften. Bra jobbat av alla ekipage!! Det återstår lite av det där kluriga med
belöningsplaceringen och tydliga avslut men känner jag gänget rätt så kommer ni fixa det galant med lite mer träning!!
2018-01-03
Hundmatshämtning
Det var en ganska liten beställning den här gången så det gick fort att packa men det var många som missat att beställa så det var många som
kom och handlade ur butikens frysar istället. Trevligt att ses tycker jag!
Å så som vanligt tack till alla er som kommer och hjälper till och
jobbar en hel dag för att få hundmatshämtningarna att funka!
2017-12-31
Maddes nyårsträning!
Så mysigt att några ville komma och att vi fick förmånen att ha med Madde och Patrik på Maddes Nyårsträning gjorde ju det hela ännu trevligare!! Lite träning först och sen var vi
ett gäng som skålade tillsammans och mumsade på några brödbitar med räkor på.
2017-12-30
Gott Nytt År!!
Vi är så tacksamma för ännu ett givande och lärorikt år tillsammans med goa Atomos och vi ser verkligen mot ännu ett härligt år tillsammans!
2017-12-29
Gemensam träning
Vi var några stycken som hade lite ledigt nu mellan helgerna och idag fick vi ihop en gemensam träning här på Bärmöudd. Mysigt! Jag tog med mig Puzzel och hon tyckte att det
var superkul! När man är 9 ½ år så får man ju lösa saker och ting lite som man vill och hämta apporter tackar hon aldrig nej till! Älskade lilla hund!!
Tack alla ni som kom och såg till att vi fick en så härlig förmiddag!
2017-12-23
God Jul!!
Vi önskar er alla en riktigt God Jul!!
På nyårsafton ordnar jag "Maddes Nyårsträning" här på Bärmöudd. Mer info finns i forumet! Vi tränar tillsammans och så fixar jag så att vi kan skåla
i några bubblor. Å så liten skagenröra och en brödbit. Alltså precis så som vi, tackvare Madde, gjort tillsammans nu varje nyårsafton sedan 2008!
2017-12-21
Bubblan
Ett till kurstillfälle med bubblan.
Bubblan kan beskrivas lite stöddigt ”självklart är hunden hos mig, var skulle den annars vara?!”.
Den relation som bubblan-tänket ger mig och mina hundar är för mig grunden till allt jag vill göra med mina hundar både i vardag och träning.
Vi tittade tillsammans på de exempel som ekipagen gav oss och vi hittade många bra verktyg värda att jobba vidare med. Tack alla för ännu en lärorik kväll!
2017-12-17
Stora Stockholm
En lång härlig dag på hundutställning! Så många vackra hundar och trevliga människor! Å så den där härliga känslan som infinner sig under finalerna i stora ringen!
2017-12-16
Nose Work
Andra kurstillfället och alla ekipagen var redo för att introduceras för doften eukalyptus. Vi jobbade mycket med belösningsplacering och tajming. Det är det svårtast och viktigaste!
2017-12-14
Bubblan
Ikväll började vi en ny liten kurs med bubblan. Min tanke med det som jag kallar för bubblan är att hunden ska må bra och vara lugn och
trygg hos sin förare oavsett vad som än händer runt omkring. Utan ord, utan koppel och helt utan konflikter.
Den relation som bubblan-tänket ger mig och mina hundar är för mig grunden till allt jag vill göra med mina hundar både i vardag och träning.
Det är både nybörjare och ekipage som jobbat med bubblan tidigare. Jag tycker att det brukar bli väldigt bra kurser när vi blandar nybörjare och lite mer
erfarna.
Vad menar vi med bubblan? Hur tänker vi? Hur tränar vi? Vilka verktyg använder vi? Vilka fallgropar finns?
Vi ser vart diskussionerna för oss. Det blir mycket teori för det viktigaste under kursen är att vi
reder ut begreppet bubblan.
2017-12-11
Ögonlysning
Idag har Molly och Tessy varit hos veterinären för att få sina ögon kontrollerade och veterinären hittade ingenting som hindrar oss från att planera för att para dessa härliga tjejer!
Nu är det bara det där roliga och lite kluriga kvar dvs att bestämma sig för vilka hanar som ska få förmånen att bli pappor till valparna.
Jag är så innerligt tacksam för att matte Lena och husse Jerry erbjuder mig att köpa en kull på både Molly och Tessy!
2017-12-11
Vi såg flera valpar med ultraljud idag!!!
Så himla mysigt!! Jag längtar så mycket efter valpar i vår låda!!

Valparna föds andra veckan i januari och vill flytta till sina nya familjer i mitten av mars.
Hör gärna av er redan nu om ni vill erbjuda en av våra valpar ett hem!
2017-12-11
Pippi-kullen fyller 2 år!!
GRATTIS!! Tiden går fort när man har roligt!! Hoppas att ni alla för en underbara dag och jag vet att ni alla kommer bli ordentligt firade!!
2017-12-09
WT-träning
Va många vi blev!! Kul!! Jag har förberett fem stationer men två av dom var dubbelstationer och så en station med fika och skottträning så det blev egentligen åtta stationer. Kul!!
Station 1 var antingen två enkelmarkeringar eller en dubbelmarkering för dom som ville. Först en ganska lång transport fram till platsen som ekipaget skulle stå.
Andra klurigheter var att kastaren flyttade sig mellan kast ett och två och det finnas ingen bra
referenspunkt för framför allt markering nummer två så det var ganska klurigt men hundarna löste det bra. Station 2 var en markering sedan en efterföljande dirigering på samma plats för
dom som ville. Station 3 var en lite snårig utskicksplats och markeringen föll inne i några täta buska så hunden såg inte nedslagsplatsen. Station 4 var fika! Å
medan alla fikade så passade jag på att skjuta några skott. Bra träning för unga hundar att höra skott i neutrala situationer.
Station 5 var en transport och sedan en markering som landade på andra sidan av en kulle så hundarna såg inte nedslagsplatsen. Man kunde välja på två svårighetesnivåer så
antingen så kastades markeringen innan transporten eller så kastades markeringen efter transporten och då kunde markeringen hämtas direkt utan fördröjning. Station 6 var en markering
där kastaren var dold och tanken var att ekipaget skulle vänta en stund innan markeringen föll. Nedslagsplatsen var en bit ner i en slänt så hunden kunde inte se var den landade.
2017-12-07
Tävlingslydnad
Ikväll var vi ett litet mysigt gäng valpköpare som gillar tävlingslydnad som träffades. Vi brukar alltid har en eller flera små tävlingslydnadskurser under hösten/vintern men
det har varit extra svårt att hitta passande datum denna gång. Nu hoppas vi på att vi ska få till ytterligare några kurstillfällen under början av 2018 och
det ser jag fram mot!
2017-12-06
Hundmatshämtning
Härligt rörigt och mycket att göra men vi fick till det och alla fick den mat de önskat! Å så fick vi ju ses och det gillar ju jag! Jag passade på att bjuda på lite glögg och
pepparkakor så vi fick ha lite julstämning tillsammans för några av oss ses nog inte mer innan jul.
Tack alla ni som hjälpte till! Ni är verkligen ovärderliga för oss!!
2017-12-04
En ny blodgivare i kenneln!

Nu är Spencer godkänd som blodgivare! Jag är så stolt över att så många Atomosar är med och hjälper till med en så viktig sak!
Ni är riktiga hjältar!!
2017-12-03
Unghundskurs
Sista kurstillfället. Vi hade bestämt att vi skulle gå på promenad tillsammans. Jobba med lösa hundar både när vi står still och andra ekipage passerar men också utan koppel
vid under promenad. Det blev några sitt kvar övningar också. Jag hade med mig mormor Puzzel så hon fick finnas med som lite störning. Jag tycker mycket om den utveckling som
jag fått se hos både hundar och förare under den här kursen. Det är en rörig tid i en flats liv och då känns det ofta bra att träna tillsammans med andra som har
en flat i samma åler för att få råd och tips och lite uppmuntran när det behövs.
2017-12-02
Nose work
Idag startade jag en nose work kurs för några valpköpare. Ett riktigt härligt gäng vetgiriga människor och riktigt arbetssugna hundar. Bara på den lilla träning
vi hann med så fick vi se bra utveckling. Flitiga näsor och mycket fokus på uppgiften. Jag längtar tills nästa gång vi ses får då ska vi presentera doften eukalyptus.
Då blir det på riktigt!
2017-11-29
En givande förmiddag!
Idag hade jag förmånen att få besök av en valpköpare som ville ha lite hjälp med träning och vi gjorde några övningar och det
visade sig snabbt att hunden verkligen var redo för nya utmaningar så jag skicka med ekipaget några kluriga förslag på
övningar att jobba vidare med och jag ser verkligen fram mot att få se utvecklingen hos detta härliga ekipage!
2017-11-27
En parning till!
En parning till idag! Härligt!! Nu håller vi alla tummar för att vi får många fina valpar i vår valplåda i januari!!

2017-11-26
Kennelträff
Denna kennelträff var mest för våra yngsta hundar för jag gick igenom grunderna i apportörens olika arbetsuppgifter dvs sök, markering, närsök och dirigering. Mest
som ett teoripass för förarna men alla unga hundar höll i hop så bra och visade verkligen sina ypperliga avknappar medan andra jobbade! Imponerande!!
När vi tränat klart så hade jag fixat så jag kunde bjuda alla som ville på grillade hamburgare. Tänk att mat är så mycket godare grillad utomhus!
Innan kennelträffen så hade jag förmånen att få en pratstund med några nya valpköpare och det är ju väldigt trevligt det här med att vänta valpar för då får
jag ju förmånen att träffa nya förväntasfulla människor. Att som nyfiken ny valpköpare få komma på en kennelträff och se vilka vi är, både människor och hundar, ger ju bra och
viktig information när man ska välja kennel
att köpa sin nya valp från.
2017-11-25
En bra parning!
Vilken gentleman han är vår älskade Lipton! Han tog så fint hand om Pippi och villa bara mysa och gå på promenad. Pippi försökte få igång honom men Lipton ville bara pussas och mysa.
Nästan så vi började tänka att det inte skulle bli en parning men så
plötsligt bestämde han sig och då blev det direkt en bra parning med lång hängning. Visst är det smidigt med hanar som bara parar på en sekund på vilken parkering som helst,
men egentligen så är det dessa gentlemän som vi vill leva med i vardagen, eller hur?!

En utmärkt parning!
2017-11-20
Ögonlysning
Tur att vi snabbt fick en tid hos veterinär Titti och skönt att Pippis ögon var utan anmärkning även denna gång. Vi passade på att göra ett progesteronprov också
när vi ändå var hos en veterinär och vi fick snabbt svar och räknade ut att parning till helgen är rimligt att tro.
2017-11-20
Aktiviteter för Atomosar
Nu har jag fyllt på med lite aktivteter så läs mer i forumet för jag har bokat in en kennelträff och så kurser med nose work och bubblan och fyra WT-träningar.
2017-11-19
Unghundskurs för våra två yngsta kullar
Det är så härligt med unga hundar! Så fulla av livslust och nyfikenhet! Den där söta rara valpen fanns det inte något kvar av nu.
En spännande och lärorik tid väntar för både hundarna och ägarna. På kursen idag jobbade vi mest med att gå vid sidan och även lite introduktion av stadga i kast.
Alla kände sig nöjda med sin inkallning och sina sitt kvar övningar så det blir mest övning i att gå vid sidan nästa gång också. Målet är att vi ska kunna
ha hundarna lösa lite mer då också.
2017-11-15
Pippi löper!
Jag trodde att hon skulle vänta till januari/februari men nu är hon igång! Om allt blir som jag hoppas så parar vi henne också och hoppas på full fart
med två kullar hos oss i början på 2018!
2017-11-11
Bra parning!

Så fina tillsammans!
Tuffa gillade Falcon! Hon hann inte ens hoppa ur bilen förrän hon på alla sätt visade att han gärna får bli pappa till hennes valpar!!

En utmärkt parning!

Falcon fick apportera lite också när vi vi klara.

Falcon jobbar verkligen jättetrevligt
och väl i samförstånd med sin husse Per.
2017-11-09
Parning på lördag!
Vi är i Skåne och har idag gjort ett nytt progesteronprov så på lördag träffar Tuffa den stiliga gossen Falcon!
Falcon bor i danmark. Alla jag har pratat med oberoende av varandra
säger att Falcon är en så trevlig gosse.
Fina meriter har han också:
Udstilling: Excellent
Markprøve B: 2 x 1.p begynder, 2 x 1.p Åben, CK på Vinderklasse B
Markprøve A: 1.p Åben A og 3 vinder på Vinderklasse A
Workingtest: begynder/åben bestået og 2, 3, 4 og 5 vinder på Vinderklasse WT

Tuffa och hennes mamma Puzzel i Helsingborg
2017-11-07
Återträff!
Ikväll hade vi en återträff med gänget som gått specialsöksinstruktörsutbildningen tillsammans. Med oss vad också representanter från SBK. Mysigt att få
träffa er alla och få höra om alla erfarenheter vi hunnit få sedan sist vi sågs.
2017-11-06
Inga valpar i Sarabis mage...
Så himla trist! Som vi kan jobbat allihop för att få till det här och inte helt gratis med fryst sperma från England. Ja ja, vi har mer sperma i frysen så
vi har en chans till att få valpar efter fina Foxpath Comus "Remus".
2017-11-05
Disney-kullen fyller 2 år!
Oj va fort det har gått!! Stort GRATTIS till alla fina Molly+Musse-barn!! Jag hoppas att ni alla haft en riktigt fin födelsedag och blivit ordentligt firade!!
2017-11-05
Unghundskurs
Vilka duktiga hundar och vetgiriga engagerade förare!! Jag tycker att vi fick med många viktiga saker på våra två timmar tillsammans. En unghundskurs blir vad vi alla tillsammans
gör den till och kursdeltagarna själva bidrar massor till att det ska bli en givande stund. Jag ser fram mot kommande söndagar!!
2017-11-03
WT-träning
En härlig eftermiddag i höstsolen! Station 1 var en enkel markering som kastades mot ekipage dvs om hunden använde kastaren som referens så blev det för några en liten
överraskning. Nedslagsplatsen var i en tät buske och om hunden valde att inte ta sig genom busken utan valde en lite lättare väg så blev det ett härligt
omvägsbekymmer eftersom vittringen från dummien då fanns på ett ställe där det var omöjligt att ta sig fram. Kul att se hur alla löste det! Station 2 var
en transport och så en markering som föll bland många träd som stod tätt. Det var två rader med träd och flera hundar uppfattade det som att dummien landade i den första raden
av träd men dummien lång bakom den andra raden av träd men dom fick bra hjälp av vinden där. Station 3 var en kastad dummie som landade på andra sidan av en kullen. När dummien hade
landat så skulle ekipaget flytta sig och skicka från en annan vinkel. Kul att se hur dom löste det och alla gjorde olika. Station 4 var ett skott och en markering som föll så att
hundarna inte kunde se nedslagsplatsen. Här jobbade alla hundar riktigt bra. Station 5 var en lång markering ute på ett stort fält och inga referenspunkter alls. Avståndsbedömningen
var inte helt klockren men alla jobbade bra längs den tänkta linjen. Vilket bra jobba alla hundar gjorde idag!! Det innebär att jag till nästa gång gör lite svårare övningar!! Kul!!
2017-10-30
Hundmatshämtning
Mycket märklig dag! Allt gick så lätt och smidigt så vi hade packat klart allt redan två timmar och tio minuter före utsatt tid! Sen när det började komma goa Atomosar för att hämta mat
så blev det körigare än vanligt för då kom så många på en gång. Härligt rörigt!! Ni är så goa allihop! Å så som vanligt, ett stort tack till alla er som kommer och hjälper till!
Ni är guld värda!!
2017-10-29
Jaktkurs
Temat för dagen var övningar vid vatten. Stadga och transport. Apportring om någon ville det men alla valde att avstå. Övningarna var på temat att jobba oss närmare och närmare vatten. Planen
var att alla hundar skulle vara torra när vi gick hem....men det var faktiskt flera hundar som blev blöta....det är svårt det där med att träna vid vatten utan att träna i vatten!
2017-10-28
Tuffa löper!
Vi parar henne med den danska hanen Jiggers Tarka Lovely Falcon!! Spännande!!
2017-10-26
WT-träning
Va roligt att så många ville vara med en helt vanlig torsdagseftermiddag! Station 1 var en markering där hunden först satt på ett smalt ställe och inte
kunde se hur det såg ut där dummien föll. När hunden sprungit halva sträckan så såg plötsligt terrängen helt annorlunda ut och terrängen uppmanade till spring och hundarna tappade
sin referenspunkt. Station 2 var en markering där marken först var plan, sen en slänt med högt gräs och så landade dummie uppe på en platt yta. Här löste hundarna klurigheten med slänten
på ett bra sätt men det blev ganska yvigt sök uppe på en plana ytan där dummien låg. Station 3 var en transport och så en markering som föll bakom en stor buske.
Busken var en bra och tydligt referenspunkt så trots lång sträcka så tog sig hundarna till rätt plats snabbt. Station 4 var en transport med kast under transporten.
Riktigt bra stadga! Väl framme vid anvisade plats
så skulle dummien hämtas. Det blev lite svårt med själva markeringsarbetet så många hundar löste det liten mer som ett sök. Station 5 var först en markering som hunden skulle hämta.
Sen flyttade sig kastade och det föll en ny markering efter en stund. Den dummien skulle föraren hämta medan hunden satt kvar. Innan vi avslutade träningen så sköt vi några skott.
2017-10-26
Av-kullen fyller 10 år!
GRATTIS på 10 årsdagen!! Önskar er en riktigt härlig födelsedag!!
2017-10-22
Kullträff och kennelträff!
Först hade jag en liten träff för våra yngsta dvs Lakritstrollen och Saltkråkorna. Vi gjorde några enkelmarkeringar först. Sen visade jag ett exempel på en
vindningsövning och alla fick hitta varsin apport. Tiden gick fort och vinden var inte riktigt med oss idag så sökövningen fick bli lite
i teroretiskform så nästa gång vi ses får vi fortsätta att utveckla söket tillsammans.
Sen kom det ett gäng vuxna hundar. Vi jobbade med stadga och transport. En dummie kastades åt en hund som istället för att hämta fick ställa sig sist i ledet.
Nästa övning blev tvärt om dvs när en dummie kastades åt en hund så gick det sista ekipaget fram och ställde sig först. Nästa variant på övning
var en kastad dummie och så skulle ekipagen, ett i taget, gå förbi dummien. Övning fyra var en kastad dummie som ekipage gick mot och efter halva sträckan
skulle ekipaget vinkla vänster in på en annan väg. Övning fem var en transtport och så skulle ekipaget ställa upp sig vid en snitsel. En dummie föll.
Ekipaget skulle efter en liten stunds väntan vända och gå tillbaka. Övning sex var en transport fram till en plats och det föll en dummie. Hunden skulle sitta
kvar och föraren gick och hämtade dummie. Antingen så lämnade föraren dummien direkt till kastaden eller så gick förare och hämtade sin hund och dom gick tillsammans
till kastaren och lämnade dummien.
Sen åt vi tomatsoppa och ostmacka i sommarstugan! Tack alla ni som kom och såg till att det blev en så härlig söndag!!
2017-10-15
Jaktkurs
Vi jobbade oss noga igenom några övningar på temat stadga och transport. Det är ett vetgirigt gäng förare så vi pratar mycket om hur man på bästa sätt
ska lösa olika situationer. Utgångspunkten är hur föraren ska jobba för att få hunden att göra så som man vill. Lugnt, tyst och i samförstånd med hunden så
ekipaget känner sig trygga med varandra och trygga i det som sker runt omkring dom. Jag tror att det här sättet att se på hunden och på relationen mellan
hund och förare är den rätta vägen om man vill hitta knapparna till lugn och ro mellan jobben och så full fart när ekipaget ska lösa en uppgift tillsammans.
2017-10-07
Vi hoppas på valpar i december!
Atomos Drömtydare "Sarabi"
Om det nu blir så som vi hoppas så ger Sarabi och Remus oss ett härligt gäng valpar i början av december. Remus bor i England så vi har gjort en insemination.
Remus heter Foxpath Comus i stamtavlan så det blir för oss nya linjer. Spännande! Stort tack till Remus ägare Jill och Remus uppfödare Polly King för att
vi får förtroendet att använda er fina Remus. Å så så klart stort tack till Sandra för att vi fått förtroendet att låna Sarabi för en kull till här hos oss.

Foxpath Comus "Remus". Remus apporterar på jakt tillsammans med sin uppfödare Polly.

Foxpath Comus "Remus"
2017-10-07
Pralinerna fyller 3 år!!
GRATTIS på födelsedagen Linus och Lisa!! Hoppas att ni får extra mycket gott att mumsa på och blir ordentligt firade!!
2017-10-03
Som djur-kullen fyller 8 år!!
GRATTIS på födelsedagen!! Hoppas att ni alla får en härlig födelsedag och firar ordentligt! När man fyller 8 år så får man börja göra lite som vill
så beställ en riktigt mumsig meny idag!!
2017-10-01
Jaktkurs
På den här kursen jobbar vi med dom små detaljerna och vi utbildar i första hand förarna. Det är högt till tak i diskussionerna och alla bjuder verkligen på sig själva och därmed
tror jag att vi alla får med oss väldigt mycket på dom här två timmarna.
2017-09-27
Hundmatshämtning
Va lugn det var idag! Ingen stress inget strul och massor med tid att prata med goa Atomosar!! Det gillar jag!!
Tack alla ni som kom och hjälpte till och
därmed gör det möjligt för oss att erbjuda hundmatshämtning dvs bra pris på den bästa hundmaten till alla goa Atomosar!!
2017-09-26
Lopporna blir 1 år!!
GRATTIS Aslan, Rusa och Torsten!! Hoppas ni alla får en härlig födelesedag!!
2017-09-25
Bubblan
Va roligt det är att ha bubblan kurs när deltagarna är så nyfikna och vill veta mer! Små steg åt rätt håll trots att det bara är en vecka sedan vi sågs
och har det börjat så bra så vet jag att det snart kommer hända härliga saker med både hund och förare!
För mig är bubblan grunden till all träning med mina hundar. Jag upplever att jag får ut så mycket mer av allt jag gör tillsammans med en hund när vi har
rätt känsla båda två. Mina tankar och verktyg har jag helt hämtat från hur jag upplever att mina hundar är mot varandra. Dom säger inga kommandoord. Dom bjuder inte varandra på godis.
Dom har ingen klicker med sig. Dom överöser inte en annan flockmedlem med röstberöm på det vis vi människor gärna gör. Hundarna har andra sätt att få flocken att bli lugn och
trygg och känna tillit och trygghet. Jag vill jobba med mina hundar på ett liknande sätt. Resultatet är så underbart och både jag och hundarna vill hela tiden har mer
och mer av det vi upplever tillsammans. Jag kallar upplevelsen och verktygen för bubblan. Jag är så glad att mina älskade hundar har visat mig ett sätt att
tänka, träna och umgås som funkar till allt jag vill göra med en hund. Den tillit och trygghet som jag känner att vi har kan jag inte beskriva med ord. Den måste upplevas. På
bubblankurserna får jag vara med och dela känslan med ekipage som också upplevt bubblankänslan och det gör mig så lycklig!
2017-09-24
Valpkurs
Sista kurstillfället för denna gång. Vi "knöt ihop säcken" och gjorde även lite mer utmanande övningar än tidigare. Som vanligt duktiga förare som jobbade bra med sina valpar
och många bra frågor och funderingar. Det ska bli så roligt att få följa alla dessa lovande ekipage!!
2017-09-19
Bubblan
Ikväll hade vi första kurstillfället av två med grunderna i bubblan. Många bra frågor och funderingar togs upp och hundar och förare bjöd oss på många olika exempel att titta på och prata om.
Det ska bli jättekul att ses igen om en vecka och få höra mer om era tänker och kunna fylla på i allas verktygslådor. Det är så lärorikt och intressant att få följa med
på alla olika bubblanresor för det är verkligen en individuell resa för alla. Jag tycker ju så klart även att det är väldigt lärorikt att få ta del av hur dom som inte gillar bubblan vill jobba
istället för det är självklart så att alla inte kan gilla mitt sätt att tänka och träna hund. För mig är bubblan grunden till och förutsättningen för
allt jag gör med en hund och jag verkligen älskar att
få uppleva bubblankänslan med mina och andras hundar!! Att kunna vara överallt med hundarna utan koppel och uppleva att vi är trygga och mår bra tillsammans var vi än är.
Utan ord och utan konflikt. Det går inte att beskriva känslan utan den måste upplevas. Ord som jag förknippar med bubblankänslan är lugn,
harmoni, samvaro, tillit och trygghet. Vi brukar lite stöddigt beskriva bubblan "Självklart är hunden med mig, var skulle den annars vara?!".
Både jag och hundarna vill ha mer och mer av känslan så vi hjälps åt att skapa den för både jag och dom trivs bra med att kunna koppla av oavsett vad som händer runt omkring oss.
2017-09-17
Kennelträff
Underbart väder och många goa Atomosar!! Först hade vi en liten kullträff för våra två yngsta kullar och vi gjorde några grundläggande apporteringsövningar. Vi fick se härliga hundar
och duktiga förare och jag
tycker att vi hittade bra saker som ekipagen bör jobba vidare med. Hoppas vi ses snart igen och jobbar vidare!
Lagom efter att vi var klara med
valparnas apporteringar så kom ett gäng vuxna hundar och vill träna. Jag hade planerat några övningar på temat stadga och transport. Jag får känslan av att de flesta är
duktiga på att träna apportering och olika kluriga övningar där hundarna ska hämta apporter men det där med övningar som bara innebär stadga och transporter....det är ju inte lika roligt!
Vi hade först två stationer. Station 1 började med fem skott och sex dummies på ett sök. Hunden skulle sitta kvar och föraren skulle hämta alla dummies, en i taget, och lägga dom på en plats
några meter från hunden. Station 2 var en startplats där ekipage ett dvs förare och hund ställde upp sig. Ekipage två stod vid kastplatsen som var
en bit längre fram och kastade en dummie. Sen fanns det olika varanter
beroende på vilken svårighet ekipagen ville ha. Man kunde tex låta ekipage
ett gå förbi ekipage två och ställa sig på en sista hållplats. Utan att ta dummien. Eller så kunde ekipage två gå först till den sista hållplatsen och sen gick ekipage ett också till
sista hållplatsen.
Sen ställde ekipage tre upp sig på startplatsen och ekipage fyra fick uppgift att vara kastare och när dummien föll så gick ekipage ett och två tillbaka till startplatsen samtidigt
som ekipage tre gick till sista hållplatsen. Då blev det härligt rörigt på mitten när ett ekipage var kastare och två ekipage kom från ett håll och ett annat ekipage från ett annat håll.
Det fanns förstås massor med möjligheter att variera den här övningen så alla som ville kunde så klart göra övningen flera gånger.
Sen avslutade vi med att ställa alla ekipage på en linje. En kastad dummie och ett ekipage fick i uppdrag att gå en
valfri lång transport och sen skulle hunden sitta kvar och föraren hämta. Nästa variant så gick alla ekipage sakta framåt och stannade när jag kastade. Jag kastade 2-3 dummies åt gången och
förarna hämtade och hundarna satt kvar. När alla gjort detta så sköt jag fem skott och kastade ut en dummie till varje ekipage. Samtidigt så gick alla
ekipagen över fältet och ingen dummie skulle hämtas. När linjen var en god bit från alla dummies så stannade jag linjen och alla fick vända på sig och så gick alla tillbaka samtidigt och
förarna tog med sig varsin dummie. Klockan går fort när man har roligt för nu var det dags att gå till stugan och äta lunch tillsammans!
Tack alla ni som kom!! Jag är så otroligt stolt över alla "mina" fina hundar! Idag var hundarna mellan drygt 5 månader gamla och 9,5 år och det värmer så i mitt hjärta
att jag får följa alla dom här underbara hundarna genom livet!
2017-09-10
Smulorna fyller 1 år!
GRATTIS alla mina fina Smulor!! Hoppas att ni alla haft en härligt födelsedag!
2017-09-09
WT-träning
Vi började med att prata lite om hur man kan förbereda sig inför en station och lite tips på hur man kan göra för att få hunden samlad och fokuserad på rätt sak direkt
man kommer fram till den plats man ska stå på på en station. Jag titta lite extra noga på just dom delarna idag och jag är nöjd med hur förarna jobbade
och resultatet blev att hundarna
satt så fint och tittade samlat och sansat när dummiesarna föll.
Jag hade förberett fem stationer. Station 1 var en enkelmarkering med dold kastare. Station 2 var en transport rakt mot kastaren. Dummien föll utom synhåll för hunden.
Station 3 var två markeringar som föll på nästan samma plats men inte riktigt. Så kul att få se hur hundarna jobbade med den gamla fyndplatsen och följde upp den nya vittringen.
Station 4 var ett kast och sedan en transport snett bort från nedslagsplatsen. Framme vid snitsel två så skickades hunden. Några sprang först mot det håll som den plats de stått
vid när dummien kastades och då blev det en svår uppgift för det var massor med snår och buskar ivägen. Station 5 var en markering som föll i tätta buskar och varken kastare eller
dummies var tydliga men det blev en tydlig möjlighet att hörselmarkera.
Vi avslutade träningen med station 6 dvs Lottens goda kladdkaka och en kopp kaffe!
2017-09-06
Inga valpar i Xtras mage....
Fy va tråkigt!! Jag har liksom nästan tagit förgivet att hon skulle bli dräktig. Ja ja inget vi kan göra åt saken utan vi får hoppas att hon
tänker löpa snart igen så vi får en ny chans.
2017-08-28
Hundmatshämtning
En dag varje månad är lite annorlunda och väldigt härlig tycker jag, nämligen när vi har hundmatshämtning! Det kommer leveransen med fryst hundmat från två olika leverantörer och
vi är många som har beställt hundmat så det är flera pallar som kommer med frysbilen. Det är ofta ganska rörigt när vi ska packa om allt enligt allas önskemål men tillslut får
vi alltid ihop det.
Det är två saker som gör mig så lycklig dessa dagar. Dels så får jag umgås med härliga Atomosar hela dagen och dels så får jag vara med och bidra till att så
många av "mina" älskade hundar får sin frys full med den bästa maten! Det är riktig lycka för mig!!
Tack alla ni som är med och gör denna dag möjlig! Nu är vi så många som kommer och jobbar så jag vet inte om jag vågar lägga ut namnen här för jag kanske glömmer någon... Ni vet vilka ni
är och ni vet hur tacksam jag är och ni vet att hundmatshämtningen inte är möjlig utan er, eller hur?!?!! TACK!!
2017-08-27
Valpkurs för våra yngsta
Härligt att så många vill vara med! Underbara hundar och duktiga vetgiriga förare!
Vi jobbade med sitt och klurade lite på det här med att lära hunden att gå riktigt fint vid sidan. Det blev en del
andra frågor och funderingar också. Som jag ser det så handlar mycket om att få hunden att inte ha så stora förväntningar och förhoppningar
i olika situationer. Jag funderar själv mycket kring initiativ och ansvar när jag lägger grunden för en bra relation med en ung hund.
2017-08-12
Lite kurser i höst
Nu har jag bokat in en valpkurs för våra yngsta och så en nybörjarkurs i Nose Work. Det kommer bli lite fler kurser framöver så kom gärna med önskemål så ska jag se vad som går att få till.
2017-08-10
Xtra är parad med Ivar!!!
Håll nu alla tummar för att det blir många härliga valpar!! Ultraljud i början av september och så föds det förhoppningsvis valpar i början av oktober!!
2017-07-31
Hundmatshämtning
Full fart i butiken idag eftersom vi hade en del kvar som vi vill färdigställa innan alla kom för att handla. Inte så många beställningar som vi brukar ha för många är ju bortresta.
Tack alla ni som hjälpte till både ute i butiken och i kassan och så med all mat och så tog ni dessutom hand om mina barn så jag fick massor med tid att umgås med goa Atomosar! TACK!!
2017-07-29
Kullträff för våra yngsta
Så härligt att så många kan komma trots att det är semestertider! Vi jobbade ju så klart mest med det här svåraste att koppla av tillsammans med andra ekipage. Så svårt och så viktigt.
Idag pratade vi mycket om inlärning och hur jag tänker när jag ska lära en hund sånt som inte riktigt finns i hundarnas värld
så som "sitt" tex. Jag försökte visa några grejer som vi ofta gör fel och hur jag tycker att man ska tänka och jobba för att på ett bra sätt förklara för hunden vad vi menar.
2017-07-28
Butiken
Nu har vi fått iordning lite i de nya utrymmmena så vi kan ha butiken öppen på måndag. Tusen tack till alla er som har varit och hjälpt oss!! Utan er hade vi inte fått till det!!
Mycket återstår innan vi känner oss helt klara men vi måste pausa nu för att hinna lite annat också. Vi har inte börjat med rummet där ner än så det blir några härliga dagars jobb
till innan det är som jag vill ha det där.
Ny frysbox är beställd men vi har inte fått något leveransdatum ännu för dom är på
semester och så gick en av frysarna sönder i veckan så det ska bli spännande att se var jag ska stoppa all mat på måndag eftersom jag beställt mat för att
fylla på i en ny frys och nu har vi istället en frys mindre!
2017-07-25
Xtra löper!!
Vi parar henne med Ivar som i stamtavlan heter Lermyrens Lovely Lexus. Ivar är en riktigt härlig hane med ett stort hjärta och han verkligen utstrålar att han vill vara en riktig kompis. Dessutom
är han mycket duktig på att jobba och har alla dom där härliga retrieveregenskaperna som vi värnar om i vårt avelsarbete. Vi ser väldigt mycket fram mot den här kullen!!
2017-07-17
Sista valpen
Som vi alla redan räknat ut så har nu Lotten och Olof bestämt sig för att köpa sista valpen av oss. Det är ju så härligt enkelt för mig att bestämma mig för att ett hem känns rätt när det är
gamla goa valpköpare som vill köpa en ny vän. Nu heter hon Trolla! Trolla har bott hos dom nu i en vecka och alla
verkligen stormtrivs tillsammans. Så underbart!! Jag är så lycklig över att min fina rara mjuka goa lilla tjej har funnit en familj som verkligen kommer att uppskatta den hon är! Jag
vet ju dessutom att jag kommer att få träffa henne ofta och få följa henne på nära håll och det uppskattar jag verkligen.
2017-07-17
Speja har hittat sin familj
Jag är så otroligt glad för att Speja fick erbjudandet att flytta till Lars och Tove med familj. Hos dom bor även flatten Snoddas som är en underbar hane född hos oss för 5½ år sedan.
Familjen och Speja har känt varandra under hela Spejas liv så vi alla vet att hon trivs där och dom trivs med henne. Dessutom så har familjen länge pratat om att dom
vill vara fodervärdar åt en tik från mig och nu föll alla pusselbitar på plats. Det känns så himla bra!! Vilken förmån för Speja att få bo hos Lars och Tove, alla barnen och så Snoddas
och vilken förmån för mig att få ha Speja hos så vettiga fodervärdar som jag dessutom har känt i fler år! Jag är så nöjd!!
2017-07-15
Kullträff för Saltkråkan-kullen och Lakritstrollen
Kul att så många kunde komma trots semestertider! Vi redde ut de frågor som kom upp och så berättade jag ännu lite mer om hur jag tänker och tränar med en valp i den här åldern.
Att hittat lugnet tillsammans med andra hundar och människor är en av de saker som jag lägger mest fokus på när jag har en valp så det blir härliga pratstunder och flera koppar kaffe på
dom här kullträffarna. Men hörrni....den där regnskuren som kom var helt onödig! Tur att det klarnade upp igen!
2017-07-15
En valp har hittat sin familj
Vi har förmånen att välkomna Ulrika och Uffe till kennel Atomos! Kul att ni bor så nära oss för jag ser verkligen fram allt skojigt som vi ska hitta på tillsammmans!
Det har tagit lite tid att hitta det perfekta hemmet till denna lilla fröken för jag ville så gärna att hon skulle hamna hos någon som kommer uppskatta just den hon är
och hon behöver bo hos en familj som har både tid och lust att ge henne ett rikt liv. Hon är en tik i min smak och just den modell behöver ha vissa förutsättningar i sitt liv för att
må bra. Med Ulrika och Uffe känns det helt rätt och därmed är hon nu såld! Eller egentligen är båda valparna sålda för en valp är "utlånad" till en gammal valpköpare och det vet vi ju alla hur det slutar!!
2017-07-12
Butiken
Nu har vi börjat fixa och bygga om lite i butiken. Kul!! Mer plats och fler frysar hoppas jag på!
2017-07-12
Dröm-kullen fyller 4 år
Vi firade systrarna Speja och Tuffa med en massa extra godis och så nya leksaker!! Ellen som älskar kalas fixade givetvis! Hoppas att alla ni andra syskon också hade en riktigt
härlig födelesdag och blev ordentligt firade!!
2017-07-09
Hormoner
Nu löper både Puzzel och Pippi så nu håller vi alla tummar för att även Tuffa har tänkt komma igång för jag vill gärna para henne!
2017-07-03
Hundmatshämtning
Mycket mat så här inför semestertider så full rulle idag! Härligt att få träffa er alla idag! Nu är vi många som har fyllt våra frysar ordentligt fulla med den bästa maten. Tusen tack till alla er som hjälper mig
dessa dagar (idag var jag ju dessutom inte helt kry så ni fick göra mitt jobb också), utan er blir det ingen hundmatshämtning!
2017-06-26
Viltspår
Några härliga ekipage i spårskogen! Kul att jag får vara med och se framstegen!!
2017-06-26
Ögonlysning
Systrarna Speja och Tuffa har idag fått sina ögon kollade av veterinären och vi hittade inget oönskat i något öga. Skönt! Då är det inget som hindrar oss från att låta
dom få valpar!!
2017-06-24
Lakritstrollen!
När valparna var 7½ vecka så var Jon här och tog uppställningsbilder på dom. Det är ju att tag sedan nu men här kommer äntligen bilderna!

Atomos Händiga Lakritstroll "Alfons"

Atomos Hurtiga Lakritstroll "Zigge"

Atomos Driftiga Lakritstroll "Remus"

Atomos Hängivna Lakritstroll "Zigge"

Atomos Pålitliga Lakritstroll "Malte"

Atomos Lyckliga Lakritstroll "Lycka"

Atomos Käcka Lakritstroll bor kvar här hos oss och längtar efter att hitta sin familj

Atomos Ärtiga Lakritstroll "Niki"

Atomos Muntra Lakritstroll bor kvar här hos oss och längtar efter att hitta sin familj
2017-06-24
Speja löper!
Nu löper Speja och idag har hon flyttat hit hem till oss. Nu hoppas vi på att allt går så som vi planerat så det föds små fina Speja-valpar här hos oss i början av september. Valparna
vill i så fall flytta till sina nya familjer i månadsskiftet oktober/november. Hör gärna av er redan nu om ni är intresserad av en valp ur den kullen.
2017-06-22
Vår fina gosse har nu flyttat!!
Vi hälsar Katarina och Tomas hjärtligt välkomna till kennel Atomos!! Vilken förmån för lilla Zigge att få bo hos er!
2017-06-20
Tävlingslydnad!
Ett litet kurstillfälle till hann vi klämma in innan alla försvinner iväg på semestrar. Det går verkligen framåt för ekipagen och vi pratade en del om olika
tävlingar i höst....
2017-06-19
Jaktkurs!
På den här kursen jobbar vi med alla dom där små viktiga detaljerna mot målet att hundarna ska vara lugna och må bra i passivitet och
ha härligt fokus och full kraft när dom förväntas lösa en uppgift. Idag gjorde vi några övningar på temat stadga och transport.
2017-06-18
Kullträff för Saltkråkan-kullen och Lakritstrollen!
Eller ska vi kalla dom för Kråkorna och Trollen?! Oj vilka söta fina goa rara duktiga valpar!! Å förare förstås! Det här var första träffen sedan valparna började flytta härifrån.
Jag bjöd på fika och vi redde ut frågor som alla hade och så kom jag med lite tips och idéer om vad jag tycker är viktigt när man ska bygga upp en relation med en ny fyrfota vän.
Jag har en del saker som jag gärna vill vara väldigt tydlig med och då är det framför allt det här med att valparna ska lära sig att koppla av när dom träffas så
här i grupp. Det är viktigt att dom får känslan att vi alla är arbetskamrater och inte lekkamrater och att man mest vilar av när man är så här många som
träffas. Att få en flat att apportera, spåra, eller jobba med vad som helst är sällan ett bekymmer! Men att hålla sig lugn och samlad och sansad vad som än händer runt omkring är svårare och
kräver att man jobbar med det redan från början.
Riktigt lyxigt att både mamma Sarabi och mamma Tessy också kom och var med!! Å så några till fikasugna Atomosar! Tack alla för idag!! Jag längtar till nästa gång vi ses!!
2017-06-04
Kullträff med viltspår!
Idag la vi spår till några hundar i kullarna Smulorna och Lopporna. Tillfället var bara för hundar som inte spårat viltspår tidigare och därför
fanns det önskemål om lite apportering också så när vi var klara med spåren så tog vi fram dummiesarna. Vilka duktiga hundar! Å duktiga, kloka, insiktsfulla förare!
Jag är så nöjd med det jag fick se. Tack alla ni som kom. Det är väldigt värdefullt för mig att få följer er och se er utvecklas.

Fina lilla Vida med sitt fynd!!
2017-06-03
Sju valpar har flyttat!
Ja då var den stora dagen kommen och nu har sju av valpar gett sig ut i världen. Två tikar söker varsin familj att flytta till och så vill jag gärna ha en tik hos en fodevärd
så jag kan få ta en kull på henne sen.
2017-06-02
Anna ordnade gemensam träning!
Tack för en härlig eftermiddag! Va fort tiden gick! Jag blir glad av att träffa er alla!
2017-06-01
Veterinärbesiktning!
Alla Tessys valpar är friska!! Skönt!! Nu har vi lagt dom sista pusselbitarna om vilken valp som flyttar vart och det visar sig att det är två tikar som söker varsin familj att flytta till.
En tik vill jag behålla avelsrätt på så om någon vill äga en hund med mig så hör av er!!
2017-05-31
Hundmatshämtningen!
Men jösses! Den här gången måste det ha varit en vikarie som packat vår pall för inget stämde!! För lite av vissa saker och för mycket av annat! Men tillslut fick vi ihop det hyfsat i alla fall.
Tusen tack till Lotta och Pär för att ni kom och kämpade med oss idag igen. Å så tack till farmor som var med tjejerna och tack till mormor som var hemma med valparna!
2017-05-30
Tessy flyttade hem!
Tio veckor går så fort! Idag var det dags för Tessy att flytta hem till sin husse och matte.Älskade Tessy! Jag saknar dig!! Valparna får nu nöja sig med att umgås med mormor Puzzel, moster Pippi, halvmoster Tuffa
och halvmorbror Melker.
2017-05-28
Valpträff!
Fy va varmt det blev plötsligt!! Jag hade tänkt att vi skulle gå på promenad med valparna men det är ingen idé i den värme som var för dom bara smubblar in i skuggan och somnar.
Idag föll flera pusselbitar på plats och några valde valp och några har fortfarande två kvar som dom klurar på.
2017-05-27
Specialsöksinstruktör!
Så himla skönt att jag nu är klar med utbildningen och godkänd på examinationen och ett riktigt fint omdöme.
Det har gått åt massor med tid och energi och det har varit väldigt lärorikt och intressant!! Nu har jag ett fint diplom
där det står att jag en Specialsöksinstruktör!! Kul!!! Det är riktigt inspirerande att nu ha ännu en gren att tänka hund och träna hund i.
2017-05-26
Prinsen!
GRATTIS på födelsedagen!! 7 år idag!! Fina Prinsen!! Det var så mysigt att ha bara en valp i en kull för då kunde jag ju ha dig i sängen redan första natten!!
Jag är säker på att du idag blir duktigt firad!!
2017-05-25
Sarabi och hennes valpar börjar flytta!
Va fort det har gått! Fyra av valpar flyttar idag till sina nya familjer och Sarabi får idag flytta hem till sin familj. En svart hane blir kvar här men jag tror att
han snart har ett hem att flytta till.
2017-05-23
Veterinärbesiktning!
Idag har alal Sarabis valpar varit hos veterinären för att få ett veterinärintyg inför flytten på torsdag. Alla valpar mår utmärkt!!
2017-05-22
Jaktkurs!
På den här kursen jobbar vi med dom små detaljerna. Målet är att vi ska lära oss mycket om hundar generellt och mycket om förarens roll och möjlighet att påverka. Vi ska också
lära känna alla hundar och hitta verktyg som alla förare kan jobba
med mot målet att hunden ska vara lugn och fokuserad på rätt sak när vi tränar jakt.
2017-05-21
Valpträffar!
Oj va många som kom hit och hälsade på idag!! Gamla och nya Atomosar i en härlig blandning!! Det gillar jag!!
2017-05-21
GRATTIS Så-kullen!
6 år! Oj va tiden går fort!! Hoppas att ni alla firas ordentligt!!
2017-05-17
Goa valpar söker hem!
Vi har några valpar i båda kullarna som söker hem att flytta till i månadsskiftet maj/juni. Hör av er om ni är intresserade och kom hit på fika så vi får träffas och ni får mysa
med våra fina valpar!!
Vi söker två fodervärdar så vi kan behålla avelsrätten på i alla fall en kull på en tik ur varje av de två kullar vi har just nu.
Jag vill att tikarna bor på rimligt avstånd
från oss så vi kan träffas regelbundet och jag vill att fodervärdarna har tänkt jobba målmedvetet med jakt och annat skojigt och att det finns intresse för tävling/prov av något slag.
Denna gula gosse hade sitt hem klart långt innan han föddes men nu har familjen
lämnat återbud så nu söker han ett hem att flytta till. En synnerligen mysig och go kille som vill vara någons bästa kompis.
Hör av dig om du är intresserad av att dela livet med en underbar gul kille!
2017-05-14
Valpträffar!
Idag hade jag bokat in olika tider för våra kullar så vi skulle hinna mysa ordentligt med ett valpgäng och förhoppningsvis sedan kunna få ytterligare några timmar
med kull 2 som vilat under tiden. Det blev lyckat tycker jag och det var typ 35 personer här på fika och valpmys!!
2017-05-14
Med I-kullen fyller 9 år idag!
GRATTIS!! Hoppas att ni alla får en härlig dag!! Melker vill fira med att ligga under syrenbusken och mumsa på ett riktigt stort härligt köttben (jag tror att det får bli en
hjorthals).
2017-05-13
Specialsöksintruktörsutbildning!
Oj vilken dag! Det var riktigt kluriga uppgifter vi skulle göra och vår fröken hade ofta en rynka i pannan
och det blev verkligen givande och mycket lärorikt. Det här var sista kurstillfället....fy va jag kommer sakna dessa
härliga dagar....nästa gång vi ses så är det certifiering....läskigt och spännande!!
2017-05-09
Tävlingslydnad!
Sista kurstillfället för den här gången. Vi jobbade igenom alla momenten i startklass och alla hade gjort så fina framsteg! Va duktiga ni är!! Ett nytt kurstillfälle bokades
innan vi skiljdes åt och det ska bli kul att ses snart igen!
2017-05-09
Viltspår!
Några viltspår blev det på eftermiddagen idag, kul!! Det finns ambitioner att starta anlagsklass snart!!
2017-05-09
Specialsöksintruktörsutbildning!
Ett litet extra pass idag för att gå igenom läxor vi haft. Givande som vanligt!
2017-05-07
Lydnadskurs med jaktligt tema!
Gänget på den här kursen gillar att jobba med detaljer och är duktiga på att läsa sina egna hundar och andras hundar och det blir spännande givande diskussioner. Det gillar jag!
Jag har noga poängterat hur viktigt jag tycker att det är att hitta rätt känsla hos både hund och förare och det verkar vara fler än jag som gillar det tänket
för det är så tyst och lugnt dessa kvällar. Vi jobbade med att gå vid sidan, stadga i skott och kast och så en sådan där klassisk övning med att gå fram och ställa
sig inför en markering och sen fick föraren apportera istället.
2017-05-07
Valpträff!
En valpträff till för dom två kullar vi har nu. Jag är jättenöjd med dom valpköpare som tingat en valp ur dessa kullar och jag ser verkligen fram mot allt
skojigt vi ska göra tillsammans framöver!
2017-05-06
Livet-kullen fyller 9 år idag!
GRATTIS!! Hoppas att ni alla får en härlig dag och mycket gott att mumsa på!!
2017-05-04
HD-röntgen!
Jag har bokat två kvällar för HD-röntgen av Disney-kullen och Pippi-kullen så ett gäng röntgade idag och ett gäng om två veckor. Håller tummarna för fina resultat!!
2017-05-03
Viltspår!
Ännu en trevlig stund i spårskogen tillsammans med goa Atomosar!
2017-04-30
KennelMästerskapet 2017!
Vilken härlig helg vi haft!! Ni är ju så underbara allihop både tvåbenta och fyrbenta!!
ÅRETS KENNELMÄSTARE BLEV KIARA MED FÖRARE SANDRA!!
GRATTIS!!!
Jag hade förmånen att få följa med ekipaget på alla stationerna och Kiara som nu är 7½ år jobbade väldigt bra
och
Sandra förde sin hund ypperligt!!!

Årets Blåbär är en titel som vi delar ut till det ekipage som placerar sig bäst men som ännu inte startat på B-prov eller WT.
I år var det Tyra och förare Anna så fick titeln Årets Blåbär! GRATTIS!!

Vi tackade förra årets KennelMästare
Iris med förare Lotta med ett diplom att ha på väggen nu när vandringspriset skulle lämnas tillbaka.
Kanske jag ska berätta lite kort om stationerna för er som inte vet vad vi har för upplägg på vårt KennelMästerskap.
Först en minnesmarkering dvs en markering faller och hunden ska sitta kvar i 2 minuter innan föraren får skicka sin hund. Nästa uppgift är
en ganska långt och lite klurig dirigering som går över en kulle och där är det lätt att hunden istället drar in i skogen. Sen är det ett närsök
med två dummies på ett
för hunden ganska ologiskt ställe dvs i gräset med buskar och snår runt området. När det är klart så går man tillbaka till platsen för minnesmarkeringen
och då finns det ett för hunden okänt linjetag där att hämta. Efter en promenad kommer man fram till det stora söket och där finns det åtta dummies att hitta.
Vi avslutade det hela med en dubbelmarkering ute på åkern dvs utan referenspunkter. Det är ett klurigt upplägg för dom oerfarna men alla lyckas få poäng lite här och där
och ingen är ens i närheten av att få full poäng så jag känner mig även i år mycket nöjd med upplägget.
Jag har fått några fina bilder av Jon men dom hinner jag inte lägga ut idag så förthoppningsvis finns dom här på hemsidan imorgon!!
Anna hade gjort härliga kolatårta till oss!!
2017-04-29
Förberedelser inför KennelMästerskapet!
Idag har vi som ville träffats och fixat inför KennelMästerskapet imorgon. Så nu är stationerna färdiga och kylskåpet är fullt med mat
och så vet jag att flera tar med sig sötsaker till kaffe så nu hoppas vi på att vädergudarna levererar det där fina vädret vi har beställt!!
2017-04-24
En annorlunda kurs!
Det blir inte alltid som man tänkt sig. Vi hade "Lydnadskurs med jaktligt tema" ikväll men hur vi än försökte hålla oss till ämnet
så for samtalen iväg in på andra saker. Jag tappade räkningen efter att vi sju gånger tillsammans försökte hålla oss till kursplanen. Jag bestämde mig då
för att det behov gruppen har just nu är viktigare än kursplanen och så pratade vi vidare om det som alla uppenbarligen ville veta mer om. Å det var dessutom
mina favoritämnen och vad vi än pratade om så kom vi hela tiden så nära det
som jag kallar för bubblan.
Jag gillar såklart att få berätta om hur jag tänker hund och tränar egna hundar och ikväll fick jag dessutom förmånen att låna två av
deltagarnas hundar och visa hur
jag skulle jobba med just den individen. Jag älskar att få jobba med andras hundar och få tillfälle att förmedla den där känslan som gör att hunden kopplar av och
blir lugn och
trygg tillsammans med mig. Det är magiskt att få uppleva det tillsammans med en hund. Det
är ingen idé att jag försöker beskriva känslan för jag har inte ord som räcker.
Ikväll blev det så att en
pigg busig lätt uppskurvad ung fröken hamnade i min hand för att jag
skulle titta på hennes tänder. För att kunna det så behövde jag få henne lugn och stilla och vi hade just pratat om den "skogsanpassade av-knappen" och
jag fick frågan om jag använde samma sätt för att få hunden lugn nu när jag skulle titta på tänderna. Ja jo visst kan man trycka på den av-knappen om
man vill även om det kanske inte är riktigt nödvändigt för att kunna titta på tänderna men jag gjorde så som jag nyss försökt förklara utan att ha en hund att visa med
och tänkte att det var ett bra tillfälle att få visa hur jag brukar jobba.
Denna unga pigga lätt uppskruvade och alldeles underbara unga fröken visa mig nästan direkt var henne av-knapp satt och det tog bara några minuter så
satt hon så lugnt och avslappnat hos mig så en kort sekund trodde jag att hon slutat andas. Helt lealös i hela kroppen.
Jag älskade den där lugna välmående känslan. Luften är full av tillit. Trots att jag så många
gånger jobbat med min bubblan-tanke med andras hundar som jag fått förmånen att låna så kommer jag aldrig få nog av att känna den känslan. Jag vill bara ha mer och mer och mer
och mer.
Tack alla för ikväll! Det blev lite för mycket jag som jobbade med era hundar för det var ju ni som skulle göra övningarna!
Hoppas att ni fick med er bra saker ändå! Å så tar vi igen det
nästa gång för då kommer ni få göra massor med kluriga övningar med lydnad på jaktligt tema!
2017-04-23
WT-träning!
Jag tror att vi hann ha alla väder under denna söndagsförmiddag?! Men stämningen i gänget var det inget fel på!!
Jag hade förberett fem stationer. Station 1 var först en transport och på vägen stod jag och ville gärna hälsa och få en pratstund. Sen skulle ekipaget fortsätta fram till en
snitsel och vänta tills en markering föll. Nedslagsplatsen var bland buskar och sly och vass och ett stort omkullfallet träd. Stora omvägsproblem och kluriga vittringsfält
och jag älskar att titta på hundar som får jobba för att reda ut vittringen. Station 2 var först ett skott och sen en god stunds väntan och så ett skott till
och en kastad dummie som skulle hämtas. Riktigt bra stadga hos nästan alla, kul! Station 3 var först en markering som föraren skulle
hämta medan hunden satt kvar. Sen föll ytterligare en markering på samma linje men ytterligare ca 15 meter ut och den skulle
hunden hämta och då fick ju hunden störningen från den tidigare kastade dummie. Station 4 var en transportsträcka rakt mot kastaren som stod synligt med dummiesar i handen.'
En dummie föll och den skulle hunden hämta. När hunden var på väg in så kastades en ny dummie ut på samma ställe och nu var tanken att hunden skulle dirigeras ut dit.
Station 5 var en markering som föll bland en massa buskar och snår när ekipaget stod vid plats A.
När dummien landat så skulle ekipaget flytta sig ca 10 meter till höger och ställa sig vid plats B riktade mot nedslagsplatsen och från plats B skulle
hunden skickas att hämta dummie. Bilden från plats A var väldigt annorlunda jämfört med plats B så några hundar sprang tillbaka till plats A för att sen ge sig iväg
och leta efter dummien. Tre timmar gick väldigt fort!!
2017-04-18
GRATTIS på födelsedagen!
Idag fyller Bästa-kullen 5 år! Oj va tiden går fort och vad det har hänt mycket på dessa fem år!! Vi har alltså två födelsedagsbarn här hemma för Tessy och
vår Pippi är ju systrar. Vi har firat dom både med jordgubbstårta och den försvann snabbt! Hoppas alla ni andra syskon har en riktigt härlig födelesdag och
att ni får mycket gott att mumsa på!!
2017-04-13
Vi önskar er alla en härlig påsk!
Jag såg just en väderprognos och det ska tyvärr inte bli så där skönt vårväder som jag hoppats....men självklart ser vi till att det blir en härlig påsk i alla fall!!
2017-04-13
Viltspår!
Ytterligare några ekipage som fått vårkänslor och ville kolla formen i spårskogen! Kul!!
2017-04-11
Tävlingslydnad!
Vi hann med alla momenten i startklass ikväll och det är en härlig inställning hos alla ekipagen!
2017-04-11
Värdefulla droppar i frysen!
Igår träffades jag och Anette och Chiwas hos Catharina Linde Forsberg för att frysa sperma efter Chiwas. Han lämnade 1255000000 spermier (rätt antal nollor?!)
och 80% levde
när Catharina idag tinade en liten mängd. Jag har ju flera riktigt fina gossar som jag vill
ge en chans att få bidra i aveln men just nu har jag tyvärr inga tikar med passande stamtavla så för att inte missa chansen så har jag nu värdefulla droppar
i frysen så det räcker till 6 inseminationer.
2017-04-10
Lydnadskurs med jaktligt tema!
På den här kursen ska vi jobba med alla dom där små sakerna som är så viktiga för att få till den lydnad som behövs inom jakten. Det är ju på många
sätt samma saker som man bör kunna i vardagen men det kändes lite roligare och mer motiverande att ha ett jaktligt tema på den här kursen som jag erbjuder
unga hundar i kenneln.
2017-04-08
Träning inför KennelMästerskapet!
Tessys valpar föddes ju tidigare än jag hade planerat för så jag fick plötsligt flera lediga dagar i almanackan så jag erbjöd alla som
anmält sig till KennelMästerskapet att vi kunde gå igenom stationerna och träna lite tillsammans. Kul att vi blev några och va fort tiden gick!!
Tack alla för att ni kom och förgyllde min lediga dag!
2017-04-05
Specialsöksinstruktörsutbildning!
Igår hade vi ett kvällspass med regler i Nose Work. Inte så mycket nytt för min del men alltid intressant och lärorikt att diskutera olika upplägg
och olika domares syn på vad som är bra och dåligt. Som i så många andra hundsporter så kan man tycka och tänka olika.
Vi hade även en inlämningsuppgift där vi skulle planera för att
starta ett nytt företag och anställa fem specialsökshundförare. Företaget ska sälja tjänsten vägglöss-sök. Skojig uppgift att klura på!!
2017-04-05
Grattis PP-kullen!!
Idag fyller ni 2 år!! GRATTIS!! Hoppas att ni alla får en riktigt härlig dag och mycket gott att mumsa på!!
2017-04-04
Valpar!
Vi välkomnar Tessys valpar! på Dygn 59 föddes 10 fina valpar! Följ gärna oss gärna i valpdagboken som finns i vårt forum.
2017-04-03
Tessys valpdagbok!
Nu har jag gjort en valpdagbok till Tessys och hennes valpar så följ oss gärna där!
2017-04-02
Noseworktävling!
Idag hade jag förmånen att vara med när domare Siw Ruden dömde en tävling i Nosework. Mycket lärorikt att få stå bredvid en domare och kunna
fråga allt jag undrar. Jag fick verkligen med mig massor med kunskap och erfarenhet. Jag passade givetvis på att ställa en massa frågor till den andra
domaren också och dessutom var det två domaraspiranter med också så det blev lite olika svar på samma fråga ibland och det gjorde ju så klart det hela ännu
mer intressant. Det slår mig ofta att nosework är en fantastisk hundsport
eftersom den är så tillgänglig för alla typer av hundar och människor och det är verkligen ett arbete som hundar mår bra av att jobba med. Som
uppfödare av flattar så ställs jag inför situationen att antingen hunden, eller föraren, eller kanske ekipaget inte har precis dom där förutsättningar
som idag krävs för framgång inom jakten och jaktprovens värld men flattarna är ju en ras som vill jobba och måste få jobba för att må bra och där
kan ju nosework vara en yppelig variant av arbete som kan passa både hund och förare. Det gör mig så varm i hjärtat!! Å det ena utesluter ju
inte på något sätt det andra för man kan ju vara
superduktig både på jakt och nosework!!
2017-04-01
Träning inför KennelMästerskapet!
Idag ordnade jag en liten träning för dom som anmält sig till KennelMästerskapet. Å så några koppar kaffe förstås!
Vi gick igenom alla stationer och pratade lite om reglerna och tittade på
hur upplägget såg ut i terrängen förra året (kanske blir det lika i år?! Det beror på vad Johanna bestämmer sig för!).
Sen jobbade vi med det som gänget ville och det blev linjetag och dubbelmarkeringar. Lite finns det så klart att träna på inför KennelMästerskapet men
grunderna fanns där och jag blir som vanligt alldeles varm i hjärtat när jag får se mina fina hundar jobba! Tack alla ni som kom och var med idag!
2017-03-31
KennelMästerskapet!
Det var många som anmälde intresse och ville vara med i år men nu när anmälningstiden gått ut så är det är inte så många som anmält sig?!
Hör av er omgående om ni vill vara med!!
2017-03-30
Valpar!
Vi har fått fem underverk!! Två svarta pojkar, en gul pojke, en svart tjej och en gul tjej!
2017-03-30
Hundmatshämtning!
Det blev inte alls så som vi hade planerat! Valparna valde att stanna länge i magen och vår planering sprack rejält så jag var hemma och födde valpar
medan ett tappert gäng fina människor kämpade med hundmat och annat i butiken hela dagen! Vad skulle jag ha gjort utan er alla?! Ni är
magiska!! TACK!!
2017-03-30
Blodgivare!
Nu har Linus lämnat blod för första gången! Vilka hjältar vi har i kenneln!
2017-03-25
Valpdagbok!
Nu har vi gjort en valpdagbok till Sarabi och hennes valpar och där kommer jag att skriva regelbundet så ni alla kan vara med och se vad som händer
här i vår valplåda. Självklart uppskattar vi en kommentar i gästboken så vi vet att ni är med oss när det börjar närma sig valpning!
2017-03-24
Tessy!
Idag har Tessy flyttat hit med sina fina tjocka mage!! Jag ser så mycket fram mot att få ett gäng Tessy-barn här hemma hos oss! Tessy gick in här med stolta steg och
gjorde en noggrann husesyn och sen hoppade hon upp och la sig i soffan och hon verkar trivas bra. När vi åt middag så bjöd vi självklart henne på många bitar av
steken med grönpepparsås. Hos oss blir dom dräktiga tikarna riktigt bortskämda och det är dom så väl värda!!
2017-03-24
Jaktträning!
Det var länge sedan jag tränade jakt med mina hundar. Har lagt allt krut på nose work och jaktträningen har inte känts så kul på ganska länge. Idag
fick jag ett sms från en gullig valpköpare som undrade om jag ville ses på vår åker och träna lite och det ville jag ju så klart! Jag tog med mig Tuffa och en visselpipa. På
vägen dit så försökte jag komma på när det senast var som jag tränade jakt men jag är osäker....det är väldigt länge sedan i alla fall. Jag var nyfiken på om hon
kom ihåg stoppsignalen och gjorde en enkel övning och jösses va snabbt hon stannade. Kul!! Stadgan fungerade bra vid de första markeringarna men så plötsligt blev hon lite lätt i baken
men jag fick stopp på henne och så påminde jag henne om hur vi gör när det faller dummies och sen höll hon sig lugn och stilla. Svårt det här med olika hundsporter
för i nose work har vi fått jobba mycket med att hon ska ta en massa initiativ och ligga före i kopplet och jobba självständigt oavsett vad jag gör och oavsett vad
som händer. Nu ville hon göra lite lika
även i jakten och där ska man ju vara väldigt passiv och stilla och lugn tills man blir tilldelad en dummie att hämta. Men det va faktiskt lite kul att träna jakt med Tuffa
så jag tror att jag ska göra det lite oftare nu när vårsolen skiner!
2017-03-22
Viltspår!
Äntligen är vi igång i spårskogen igen!!
2017-03-17
Sarabi!
Jag har ju glömt att skriva att Sarabi har flyttat hit. Hon liksom bara flyttade in och verkar trivas riktigt bra. Livet i en barnfamilj kan
ju vara lite rörigt när man inte är van men Sarabi tar det hela med ro och har inga problem med att sova gott mitt i röran. Jag är verkligen
supernöjd med henne mentalitet och om jag fick beskriva hur jag tycker att en perfekt flat ska vara så stämmer den beskrivningen väldigt bra på Sarabi. Det ska bli så spännande
att få följa henne valpar!! Om drygt en vecka får vi se hur dom ser ut!!
2017-03-14
Tävlingslydnad!
Äntligen är vi igång!! Vi är som nybörjare allihop nu eftersom klassen är ny och några moment är helt nya, kul!! Det var en kall och blåsig kväll (det brukar vara
det när vi kör tävlingslydnad...) och så här första kurstillfället så började vi med dom där ganska tråkiga sakerna som halter, ingångar och stegförflyttningar och sånt och så avslutade
vi med ligg. Lika bra att börja fila på det där sakerna som kan ta lite tid att få till och så har vi dom där fartfyllda skojiga sakerna kvar till kommande kursgånger dvs apportering och hopp.
Å va är det ju det där nya "sitt under marsch" som vi ska få till också. Ska bli så härligt att få fylla några tisdagskvällar med tävlingslydnad!
Innan dagens kurs fick jag förmånen att hjälpa ett ekipage med lite tips på avlämningar med dummies och det känns som att vi kom på några bra idéer så
jag ser fram mot träningsrapporter!!
2017-03-12
Kurs med linjetag och närsök!
Kul att så många ville vara med! Vi gjorde några olika varianter på grundläggande övningar med linjetag och sen några övningar för att
introducera närsökssignalen. Många av ekipagen gjorde dessa övningar för första gången och jag tror att kursen gav mersmak, kul!! Några har önskat sig mer kurs och
det vill jag ju gärna så klart!!
Innan kursen började så träffade jag två ekipage som ville ha lite extra hjälp med att få till avlämningar och jag blir så glad när jag får förmånen att hjälpa mina
fantastiska hundar och mina fina valpköpare på vägen mot de mål som dom har satt upp!!
2017-03-12
GRATTIS!
Idag blir våra tre musketörer 10 år och vi tänker lite extra på er alla idag och jag minns så väl när ni föddes. Två av er finns inte här hos oss längre men jag tror att både Athos och
Pottan känner att jag tänker på er lite extra idag och så hoppas jag att Aramis firar sin födelsedag riktigt ordentligt!
2017-03-06
Idag har vi gjort ultraljud och kollat efter valpar i magen på Tessy!
Det finns valpar!! MÅNGA!! Å va mysigt och va spännande det ska bli!!
Valparna föds första veckan i april och dom vill flytta till sina nya familjer i början på juni.
2017-02-28
Hundmatshämtning!
Det gick lätt och smidigt att packa idag och vi hade fått allt det som vi beställt och det gör ju det hela lite enklare. Stort tack till Lotta, Pär, Evelina och Pernilla som hjälpte
oss med hundmat och bidrog till att våra barn fick en riktigt härlig dag!
2017-02-27
Valpkurs!
Sista kurstillfället för den här omgången. Jag är mycket nöjd med framstegen som jag fått se under kursen. Härliga hundar och riktigt duktiga förare! Jag ser verkligen fram mot
att få följa dessa lovande ekipage. Just nu har vi inget mer inbokat som är bara för syskonen i kullarna Smulorna och Lopporna men jag hoppas på att få önskemål från alla som vill vara med
och så snart jag vet vad ni vill så bokar vi in fler kurser/träffar. Självklart så är ni hjärtligt välkomna att delta på det som jag ordnar för vuxna hundar också för nu är snart den där
riktigt söta valptiden över och de små raringarna blir sådana där chamriga unghundar med allt vad det innebär!!
2017-02-26
Specialsöksinstruktörsutbildning!
Ännu en givande spännande och lärorik heldag tillsammans! Idag hade vi även sällskap av två personer som går en parallell instruktörsutbildning och det var kul att
få ännu fler infallsvinklar på denna mycket intressanta och inspirerande form av hundträning. Jag har verkligen fått en nytändning på detta med hundträning tackvare specialtsöket
och ser verkligen fram
mot all den gedigna läxa som vi har fått till nästa gång!
2017-02-18
Kennelträff!
Idag fixade vi en kennelträff för kennelns alla hundar och temat var att vi skulle jobba med avlämningar för dom som ville ha lite tips och råd. Vi började träffen med att
bjuda alla på grillad korv och en kopp kaffe och det är så mysigt att äta och fika tillsammans med goa Atomosar!
2017-02-17
Idag har vi gjort ultraljud och kollat efter valpar i magen på Sarabi!
Det finns valpar!! Flera stycken!! Å va härligt!!
Valparna föds i slutet på mars och dom vill flytta till sina nya familjer i maj.
Vår Melker är stolt pappa!
2017-02-17
Nose Work!
Idag hade jag och Tuffa bokat en privattid för att få lite ny inspiration att träna vidare och nya idéer på bra övningar.
Vi fick riktigt kluriga uppdrag att lösa. Vi var ute och temat för dagen var vind och kluriga vittringsfält och
att hitta och markera högt upp. Vi fick också ett sökområdet likt ett utomhussök på tävling. Det fanns 15 föremål som var utlagda men bara doft i ett av föremålen.
Upplägget var på många sätt nytt för mig och Tuffa så vi lärde oss många nya saker. Det är nyttigt och väldigt lärorikt för mig att få så klara tydliga besked om vad vi behöver jobba
vidare med, både jag och Tuffa. Det här med Nose Work på den här nivån och med den här typen av övningar är riktigt kul!!
2017-02-15
Tävlingslydnad!
Jag är med i en grupp där vi tränar tävlingslydnad tillsammans varje onsdag och ikväll kändes det riktigt bra med Tuffa! Kul!!
2017-02-11
Kennelträff 18/2!
Nu blir det äntligen lite kennelaktiviteter igen! Det är ju alltid lite rörigt och svårt att planera dom
veckorna som vi har tikar att para men nu är vi ju klara för denna gång
så nu har jag bokat in en kennelträff. Mer info finns i forumet.
Jag har tänkt fylla på med lite annat också för jag vet att några av er har fler önskemål. Jag har tänkt att vi ska ha några kennelträffar med olika teman och så
finns det önskemål om några kurstillfällen med olika innehåll. Hör av er om ni har några särskilda önskemål. När jag bokat in datum så kommer jag skriva mer info i forumet.
2017-02-11
KennelMästerskapet 2017!
Nu har vi bokat helgen 29-30/4!! Igår skrev jag lite mer i forumet så kolla där om ni vill vara med på KennelMästerskapet 2017.
2017-02-08
Tessy är parad med Melvin!
Vi har fått till superbra parningar!! Lätt och smidigt gick det och det är ju inte alltid en självklarhet när det är första gången för både hane och tik. Melvin bor i Järvsö så det
blev en bit för mig att köra fram och tillbaka eftersom jag ville hem till mina fina barn mellan parningarna. Men nu verkar löpet vara i stort sett slut så nu har
vi bestämt oss för att vi har parat klart för den här gången.
2017-02-01
Hundmatshämtning!
Nu är frysarna så där härligt proppfulla igen och det gillar jag!
Va många som kom idag och va mysigt att få träffa er alla!! Stort tack till Pernilla och Lotta och Pär som hjälpt oss att få ihop allt och så tack till farmor som roade våra barn!
2017-01-28
Sarabi är parad med Melker!
Dom fick träffas idag också men ingen av dom var intresserade av att få till en parning längre så nu har vi bestämt oss för att vi parat klart!
Nu håller vi tummarna för att det blir ett härligt gäng valpar här hos oss!!
Valparna är tillverkade här inne i motorcykelgaraget för det va så kallt och blött och mörkt ute.... Kanske vi måste kalla dom för Motorcykel-kullen?!
2017-01-23
Specialsöksinstruktör!
Jag har länge funderat på vad jag ska hitta på för ny hundig aktivitet och för knappt ett år sedan så fastnade jag för Nose Work.
Tanken med träningen är bra och jag gillar när det finns en verklighet som grund till en hundsport.
Under hösten har jag hjälpt till på Siw Rudens kurser i Nose Work och jag har lärt mig massor. Å det har varit riktigt kul! Olikt mig att åka hemifrån 2-3 kvällar i rad
och dessutom göra det flera veckor i rad för det är så jobbigt att missa att natta mina fina barn men kvällarna
på Siws kurser har varit magiska så jag har inte kunnat hålla mig därifrån. Ibland har vi dessutom haft kurserna både på förmiddag och kväll. Tack alla ni härliga
hundar och människor som låtit mig få vara med och allt det som Siw har delat med sig av till mig sedan i somras är helt ovärderligt.
Så det här har gett riktig mersmak och när Siw tipsade mig om att hon skulle hålla två specialsöksinstruktörsutbildningar så bara måste jag få vara med och
lära mig mer!! I helgen hade vi specialsöksinstruktörsutbildning både lördag och söndag. Så himla kul!! Trevliga kurskamrater och duktiga hundar och riktigt intressanta samtal.
Kanske jag ska förklara vad specialsök är?! Specialsök innebär att hunden letar efter ett visst ämne.
Specialsökande hundar kan alltså användas till många viktiga och samhällsnyttiga ändamål.
Ämnet hunden lär sig att leta efter kan i stort sett vara vad som helst och vi har användning för hunden för att söka efter det som vi inte kan hitta eller det som hunden
hittar snabbare än oss.
Specialsökhundar används bla till att leta efter ämnen som narkotika, sprängmedel, vapen,
lik, gasläckor, cancer, diabetes, skadedjur som exempelvis vägglöss, olika typer av mögel,
miljögifter osv. Listan kan göras hur lång som helst.
Träningen är den samma oavsett om målet är att använda hunden i tjänst eller som ren aktivering.
Nose Work är alltså en variant av specialsök. Nose Work grundades i USA 2006 av tre specialsökstränare som ville ge hemlösa hundar
som bodde i hundstallar en bättre tillvaro och en givande
mental stimulans. När hundarna mådde bättre tackvare att de fått en meningsfull aktivitet så
skulle det förhoppningsvis bli lättare att kunna placera ut hundarna i hem runt om i USA.
Resultatet blev riktigt bra och då framför allt för hundar som var reaktiva men träningen byggde även upp självförtroendet hos den osäkra hunden.
Denna nya nosaktivitet spreds sedan snabbt bland
hundägare över landet och blev så småningom en tävlingsgren. I Sverige blev Nose Work en officiell tävlingsgren 20170101.
För egen del så känner jag att det ska bli så inspirerande att hålla kurser i Nose Work eftersom det verkligen är en aktivitet för alla sorters hundar och hundförare.
Alla hundar mår så bra av att få ett meningsfullt givande arbete. När hundar inte får utlopp för sina behov kan hundarna i människors ögon upplevas som jobbiga och ohanterliga.
Hundar som får använda sig av sin näsa mår
så mycket bättre och blir harmoniska, nöjda och friska. Många så kallade "problemhundar" skulle förmodligen inte upplevas som det om de fick aktivera sig på ett lämpligt sätt.
Det här med specialsök skulle även kunna innebära fler roliga saker framöver. Vi får se vart det bär iväg.
Jag har fått frågan av polisen om jag vill grundträna hundar och sälja till polisen och när jag väl hittat en hund som jag vill satsa på i ett sådant projekt så kännas det ju
bra att faktiskt vara just specialssöksintruktör. Vi har även
i flera år haft lite funderingar på att utbilda en dolhund och kanske det här blir den sista pusselbiten som får oss att testa!?
Hur som helst så är det så makalöst roligt med hundträning och jag är så inspirerade att lära mig mer om detta med specialsök och ser verkligen fram mot kurserna i Nose Work som jag ska
hålla så småningom!!
2017-01-20
Nose Work!
Jag brukar inte skriva så ofta här om det jag gör med mina egna hundar men nu måste jag få skryta lite.
Jag och Tuffa tränar Nose Work på privata tider en gång i veckan eller varannan vecka just nu och
idag fick vi riktigt kluriga övningar och jag är så nöjd med Tuffa! Jag har haft svårt att
förklara vissa väsentliga bitar i detta nya och när hon inte förstår så blir hon låg och oföretagsam men idag hade alla poletter trillat ner och jag och
min instruktör tappade verkligen hakan! Duktiga fina Tuffa! Påhugget, snygga starter, självständig, målmedveten,
mycket noggranna sök, lite för noga bitvis, och utmärkta jobb i vittringsfälten
och så riktigt fina markeringar. Jag är så nöjd!! Nu har vi fått i läxa att träna på att få lite mer flyt framåt i söket så hon inte är för noggrann. Ett bra problem tycker jag!
2017-01-19
Nya regler i lydnad och bruks!
Va härligt rörigt det är med de nya reglerna i lydnaden! Jag har varit på kurs för att lära mig mer om hur det är tänkt men det är knappt att domarna vet hur dom ska döma så
vi alla är verkligen nybörjare nu. Ikväll gick vi även igenom bruksreglerna och där var det inte så stora förändringar.
2017-01-18
Tävlingslydnad!
Jag har fått förmånen att vara med i en nystartad träningsgrupp. Rolig blandning av olika raser och så varma goa människor och härlig stämning! Jag har tänkt vara med främst med Tuffa men
hon har ju i läxa i nose work att bli lite olydig och självständig så jag hade med mig Puzzel på träning idag istället. Hon trivdes riktigt bra på lydnadsplanen!
2017-01-17
Tessy löper!
Vi har tänkt para Tessy med härlig kille som heter Melvin och han bor i Järvsö. Vi åker och träffar honom i slutet av januari hoppas vi på att det
blir några bra parningar! Å så håller vi tummarna
för att allt går bra så vi kan välkomna små valpar i månadsskiftet mars/april. Om vi har riktig tur så föds det alltså två kullar här hos oss nu i vår!!!
2017-01-15
Kullträff och kennelträff!
Våra två yngsta kullar sågs en timme innan alla andra för att vi skulle få tillfälle att reda ut det som alla funderar på. Bra frågor och inga oroväckande problem, skönt!
Oj va många som kom på dagens kennelträff!! Det var folk och hundar överallt!!
Det var en riktigt härlig blandning av många nya valpköpare och ovanligt många gamla goa Atomosar som varit med i gänget i många år nu. Jag är så
glad och så tacksam för ni var så många som kom
och att ni så tydligt visar att ni uppskattar mig som uppfödare och de kennelaktiviteter som jag erbjuder.
Jag ville fortsätta med det träningsupplägg som vi påbörjade förra söndagen men utveckla och göra fler och svårare varianter. Temat på träningen kallade jag för "den
som är stilla och tyst får jobba". Det gick riktigt bra för alla (utifrån sin egen nivå förstås)
och när vi avslutade dagens träning så satt två ekipage passiva och den hund som skulle apportera satt snett bakom dom när den blev skickad. Klurigt upplägg
både för de passiva men också för den apporterande hunden som fick både springa ut men framför allt komma hem genom att springa förbi sina kompisar.
Sen bjöd jag alla på lunch. Det blev grillad kyckling, potatisgratäng och varma grönsaker. Till kaffet så bjöd Lotta på en mumsig kaka!
2017-01-14
Sarabi löper!
Vi har tänkt para Sarabi med vår Melker så i slutet av januari hoppas vi på att det blir några bra parningar här hemma på vår gräsmatta!! Å så håller vi tummarna
för att allt går bra så vi kan välkomna små valpar i månadsskiftet mars/april.
2017-01-11
Hundmatshämtning!
Det gick så smidigt att packa allt och få ihop det rätt! Skönt!! Det fanns mycket tid att dricka kaffe idag och jag uppskattar alltid att dricka kaffe med goa Atomosar och så
bjöd Margith på goda bullar. Som vanligt så har vi haft förmånen att få massor med hjälp av Lotta och Pär! Ni är ovärderliga!! Å barnen var så nöjda med sin dag
tillsammans med farmor!! Hoppas att ni alla kom hem ordentligt!
2017-01-11
Grattis Extra-kullen!!
Förlåt!! Jag glömde att skriva GRATTIS på födelsedagen igår!! 5 år har redan gått sedan ni lite oväntat valde att komma ut från värmen!!
Hoppas att ni alla hade en riktigt härlig födelsedag!!!
2017-01-10
Kullträff för Smulorna och Lopporna och sen kennelträff för alla!!
På söndag 15/1 ses vi igen!! Jag bjuder alla på lunch. Klockslag finns nu i forumet. Jag ser fram mot att ses!!
2017-01-10
Forumet!
Jag har länge velat för lite förändringar i forumet men det har tagit sin lilla tid att komma fram till hur jag tycker att vi ska få det mer överskådligt. Nu ikväll
har vi ändrat lite och kom gärna med synpunkter! Forumet är ju för alla Atomosar så jag vill ju att ni också ska tycka att det är bra!! Ni Atomosar som inte har en inloggning och
skulle vilja kunna komma in och läsa och skriva kan maila mig så fixar jag en inloggning åt er!!
2017-01-08
Kullträff för Smulorna och Lopporna och sen kennelträff för alla!!
Va många vi blev och va mysigt det va!! Jag trivs verkligen bland alla er goa Atomosar!!
Först hade vi en liten kullträff för våra två yngsta kullar. Det skiljer bara 16 dagar i ålder så det blir som ett gäng av dessa två kullar. Det frågor som togs upp var
alldeles vanlig valptids-frågor och inga oroväckande saker så det känns väldigt bra tycker jag. Alla är så kloka och resonerar vettigt runt det som händer när man lever tillsammans med en ung
härlig fyrfota vän. Det va kallt ute idag så vi hade satt på värmen i stugan så vi kunde vara inne med alla de rara valparna. Å så hade jag med kaffe och Kristina bjöd på chokladtårta!
En stund senare hade jag bjudit in resten av kennelns valpköpare på lite träning. Temat idag var "den som är stilla och tyst får jobba" och jag fick se härliga
förändringar hos både hundar och förare medan vi jobbade oss igenom övningarna. Om så lite träning kan ge så stor förändring och förbättring så måste vi jobba
vidare med detta när vi ses på söndag!! Jag blir så glad när jag tänker på
det härliga uttrycket i ansiktet på den husse som var mest förvånad och glatt överraskad av övningens effekt! Så lite gjorde så stor skillnad!!
När alla kände sig nöjda med träningen så tände vi grillen och jag hade fixat så vi kunde grilla hambugare till lunch. Å så lite kaffe och sötsaker förstås!
På årets första kennelträff så skriver vi alltid upp de mål vi har för våra hundar under det nya året. Det blev en lapp full med många bra mål både i vardagen och på prov/tävlingar. Kul!!
Men så var det några som smet utan att skriva några mål och det såg jag inte förrän de åkt hemåt.... Så får man väl inte göra?!
2017-01-05
Två Kennelträffar!!
Det är många som vill att jag ordnar kennelträffar och jag blir så glad att ni vill träffa mig så självklart ordnar jag!!
Två söndag, 8/1 och 15/1, har jag tänkt erbjuda träning och så tänder vi grillen som avslutning och jag fixar något litet att grilla till lunch. Å så kaffe förstås!
Vill ni komma 8/1 så hör av er via mail eller i forumet. Det blev lite kort varsel men om ni hör av er senast lördag 7/1 kl 10.00 så jag hinner handla.
Vill ni komma 15/1 så hör av er, via mail eller i forumet, senast onsdag 11/1 så jag vet hur många jag ska fixa lunch till.
Jag tänkte ordna lite träning på temat ”den som är stilla och tyst får jobba”. Jag älskar
den entusiasm som hundarna har i kroppen men för att komma dit vi alla vill med jaktträningen så måste vi få hundarna lugna, fokuserade och tysta under jaktträningen.
2017-01-03
Tuffa!
Jag och Tuffa har boka in oss på några privatlektioner för vi vill lära oss mer om Nose Work. Idag fick vi en gedigen läxa och flera nya infallsvinklar att klura på. Kul!!
2016-12-31
"Maddes Nyårsträning"!!
Va många som kom!! Va glad jag blev att så många kunde komma och ville komma på träningen idag!! Jag mår så bra tillsammans med alla er goa Atomosar!!
Det blev först lite spontan jaktträning och jag startade upp några stationer och så hjälptes vi åt att ordna övningar. Sen
bjöd jag på en liten brödbit och en röra med räkor till och så ett litet glas med bubblor så vi kunde skåla tillsammans. Mysigt! Å så klart en kopp kaffe och en liten cholkadbit till det.
Jag får sån energi av sådana här dagar och flera av er var noga med att säga att ni vill ses oftare!! Så innerligt gärna! Jag kollar lite i almanackan och skriver datum i forumet!
Önskar er alla ett härligt slut på 2016 och en bra start på 2017 och ser verkligen fram mot allt skojjigt som vi ska göra tillsammans under 2017!!
2016-12-27
"Maddes Nyårsträning"!!
Vi har haft förmånen att bli inbjudna till Maddes Nyårsträning i 8 år nu men i år kan inte Madde så i år blir det jag som bjuder in till "Maddes Nyårsträning"!!
Välkomna till Bärmöudd på nyårsafton. Vi ses vid lilla gula sommarstugan och tränar lite tillsammans en stund och som avslutning bjuder vi på lite skagenröra på en brödbit och så några bubblor!
Temat blir jaktträning och kom gärna med önskemål på övningar som jag kan förbereda.
Hör av er senast torsdag 29/12 om ni vill vara med så jag vet hur mycket jag ska handla.
2016-12-25
Hoppas att ni alla har en riktigt härlig julhelg!!
Så skönt med några lediga latar dagar och bara mysa med familjen och vara ute med hundarna och sitta i soffan och mumsa godsaker!!
Men, jag vet att jag snart har tröttnat på det och då tänkte jag boka in några roliga aktiviteter för mina goa valpköpare så vi får tillfälle att ses!!
Några av oss ses redan på tisdag i butiken, mysigt!!
Om det är något särskilt som ni vill att vi bokar in så hör av er. Några träffar med jaktträning som tema vill jag gärna ha om intresse finns.
Kanske en WT-träning skulle kunna ge lite
inspiration till att starta på WT i vår? Det kommer självklart att bli en liten valpkurs för våra yngsta.
En liten kurs med grunderna för apportörer i olika åldrar har jag hört önskemål om också. Flera har önskat sig tävlingslydnad nu när vi har
nya klasser och jag har varit på kurs och lärt mig en del om de nya momenten så det ska bli kul! Det är ju för er alla goa valpköpare som jag ordnar träffar och kurser så hör
av er med önskemål så att jag lyckas boka in rätt saker!! Info kommer om det som jag bokar in kommer att finnas i forumet.
På tal om forumet. Jag har tänkt skapa några nya kategorier i forumet så det ska bli lättare att hitta det man söker. En egen flik
för de kurser jag erbjuder och en annan flik där vi alla kan skriva om träningar som vi ordnar och så kanske flikar om andra saker?! En flik där man kan skriva om man behöver hundpassning?
Eller en flik om man har någon hund-pryl man vill sälja eller vill ha tips på bra prylar när man vill köpa?
Jag har funderat på om jag ska försöka samla ihop de vanliga frågorna som jag får och skriva dom och mina svar
under en flik så man kan få lite råd och tips. Nä...jag vet inte än vad jag vill men planen är i alla fall att börja
förändra och förbättra forumet lite (jag tror att jag har varit julledig för länge nu....) Om ni har förslag på förbättringar så hör av er!
2016-12-13
En duktig kille!
Här är en bild på Blixten, Atomos Blixten McQueen, och han tillsammans med sin matte Linda går en yrkesutbildning i narkotikasök.
Det ska bli så spännande att följa detta lovande ekipage!
2016-12-12
Vår charmiga tjej har hittat sitt hem!
Vi önskar valpen Atomos En Smula Extra (kanske hon kommer kallas för Smulan?!) lycka till hos Johanna och jag tror att det kommer bli superbra!!
Det har varit många, väldigt många, som hört av sig och visat intresse för vår sista valp men av olika skäl så har det
fallit på någonting och några riktigt bra hem har bestämt sig för att vänta på en av våra kommande valpkullar. Det är ju förstås skönt att vi redan har bra hem till kommande valpar
men den här lilla tjejen ville ju också börja sitt liv i en egen familj... Men så plötsligt fick jag ett samtal och vår lilla tjej fick ett fantastiskt erbjudande!!
Vår goa valpköpare och vän Johanna ville välkomna henne i sin familj. Det blev ju väldigt bra!! Johanna har haft fyra hundar från oss och idag finns två av dom kvar men
dom börjar bli gamla så det är dags att fylla på med en ny stjärna. Det ska bli så kul att få följa Johanna och hennes nya fina vän och jag vet att det kommer
bli en härlig resa!! Å va bra det här känns!!
2016-12-11
Äntligen!
Nu har Lopporna fått en egen sida!! Äntligen!
2016-12-11
GRATTIS Pippi-kullen!
Idag blir ni 1 år gamla!! Hoppas att ni alla får en riktigt härlig dag och att ni får mycket gott att mumsa på!!
2016-12-06
Hundmatshämtning!
Vi blir alltid lite förvånade när vi får det vi beställt och när allt därmed går ihop sig så smidigt på slutet.
Som vanligt hade vi förmånen att få hjälp av Lotta, Pär och Pernilla och så var farmor med barnen en stund och det underlättar ju massor förstås så tack alla för att ni ställer upp
så vi kan fixa hundmat åt alla våra goa valpköpare!!!
2016-12-09
Nya valpköpare!
Vi har haft flera härliga familjer här på fika senaste veckan och det är verkligen en förmån att få bjuda hem så många goa
människor och få prata hund och då i synnerhet flattar!! Ingen av dessa familjer är ännu redo att välkomna en valp men vi hoppas
så klart på att det så småningom blir så att en av våra fina valpar får förmånen att
bo hos dessa goa människor.
2016-12-03
Stora Stockholm!
Det är en härlig tradition (jag har missat något enstaka år på 35 år) att åka till utställningen som vi alla kallar för Stora Stockholm och
bara gå där och njuta av alla fina hundar. Ja mest flattar för min del.
Fina hundar och en kopp kaffe och så alla goa människor och då både dom som jag träffar ganska ofta och så några som jag nästan bara träffar just
på Stora Stockholm eller likande tillställningar. Mysigt!!
För min del blir det ju så klart ganska många sök på Rasdata för att kolla stamtalvan på en hund jag gillar och det är ju väldigt smidigt nu när man har telefonen
som gör att man kan stilla sin nyfikenhet
direkt. Några intressant idéer fick jag med mig hem och jag ska kolla vidare och se om det kan resultera i någon intressant hund som jag få vara med och bidra i vår framtida avel.
2016-11-29
Vår älskade Amy!
När du var knappt 3 år gammal så sprang du rakt in i vår famn och rakt in i våra hjärtan på en parkering i Malmö.
Vi är så otroligt tacksamma för att vi fick förmånen.
Vår älskade danska snurrhöna! Du hade så många namn men det som passade bäst var kanske Toka. Det är så fruktansvärt tomt här hemma utan fina, fina, kloka vackra
Amy. Å hur ska nu husse
klara sig utan att du biter honom i näsan varje dag?!
Det gick så fort på slutet och jag hann knappt förstå att du var så sjuk. Det är ju bara en månad sedan du sprang runt och stökade värre än en unghund.
Så vild och busig så att jag fick säga till dig att lugna dig lite.
Så klok, så behaglig att vara med och en så trogen vän. Så lyhörd på allt
vi önskade så det räckte med att tänka tanken så gjorde du rätt. Så mycket spring i benen och så makalös vilja att apportera allt i alla lägen.
Så fantastisk mor och mormor och barnvakt åt alla våra valpar och en så självklart trygg hund här hemma i vår flock.
Tack för alla fina oförglömliga stunder och den stunden jag minns bäst är när du,
på en slingrig väg i Norge, sprang ikapp husse och bet honom i rumpan!
2016-11-27
Kennelträff!
Jag hade bjudit in till en kullträff för Smulorna och Lopporna och sen lunch för alla som ville och efter det lite träning för äldre hundar från alla tidigare
kullar. Jag bjöd på en traditionell kennelträffslunch dvs en ganska stark tomatsoppa som fått stå till sig något dygn innan och mustat till sig och så
frallor med ost (en meny som under åren passat alla önskemål om vegetariskt, glutenfritt osv).
Det var ganska många som lämnade återbud pga vädret så jag blev lite besviken när jag stod här på morgonen med all mat och allt annat som jag hade förberett
men trots flera återbud så
blev vi många och det blev en rikigt härlig träff tycker i alla fall jag.
Jag blir så glad av att få umgås med ett så här härligt gäng Atomosar i flera timmar! Ni laddar mina batterier och jag är så stolt
och lycklig över att jag har så goa valpköpare!!
2016-11-24
På jakt efter nya hanhundar!
Det här med stamtavlor är så roligt så jag ägnar massor med tid att leta intressant hundar med intressanta stamtavlor. Både i Sverig men just nu även utomlands.
Poängen med det är ju att hitta
dom riktiga gobitarna som ska få vara med och bidra i vår avel. Idag tog jag mig en liten sväng till Hälsningland för att träffa två gossar. Det
visade sig att det fanns en till intressant gosse i en bil på parkeringen så min lilla resa resulterade i att jag fick träffa tre trevliga duktiga hanar
som jag hoppas kommer bidra på ett bra sätt till vår avel framöver. Det var absolut lite jobbigt att köra bli knappt 8 timmar på en dag men när
jag kom hem så var jag i ett härlig lyckorus över att jag nu har riktigt bra pusselbitar att jobba med i mitt fortsatta avelsarbete!!
2016-11-23
Nya regler för tävlingslydnad!
Från 20170101 blir det nya klasser och nya regler så idag började jag en kurs där vi går igenom alla regler och alla moment. Kul med lite förändring och på
flera sätt en förbättring!
2016-11-21
Kennelträff!
Söndagen den 27/11 blir det först kullträff för Smulorna och Lopporna (dom blir ju som en kull eftersom det bara är två veckors åldersskillnad)
och sen bjuder jag alla som vill på lunch och efter det blir det träning för dom vuxna hundarna. Mer info i forumet! Hör av er senast torsdag 24/11 om ni vill vara med!
2016-11-20
Söker du en ny vän?!
Den här rara söta tjejen är 10 veckor gammal och hon är en frisk och synnerligen trevlig liten valp!
I stamtavlan heter hon Atomos En Smula Extra. Hon är en mycket positiv och sprudlande glad valp.
Inställsam och mån om att göra rätt så hon lyssnar alltid noga.
Trygg men lite eftertänksam i miljö så hon tar det lugnt.
Hon gillar att använda sin näsa och uppskattar när jag slarvar bort saker eller godis som hon får leta efter. Apporterar gärna och med stor entusiasm!
Hon född och uppvuxen hos oss och därmed van med allt vad livet i en barnfamilj innebär.
Våra vuxna hundar har lärt henne en massa bra saker som man har nytta av att kunna när man är en liten valp.
Vi är noga med att ge våra valpar goda vanor i vardagen så hon kan det mesta som jag förväntar mig av en valp som 10 veckor.
När vi är ute i världen så får hon inte hälsa på varken hundar eller människor för så vill vi att det ska vara.
Det där med koppel är inte alltid så kul men oftast går hon hyfsat i koppel.
När hon är lös och kommer alltid när jag ropar på henne.
Hon gillar att åka bil och är van att åka i bur.
Hon har börjat förstå att vi vill att hon blir rumsren men det blir fortfarande någon olycka om vi inte är snabba nog att släppa ut henne.
Hör av er om ni är vill veta mer om valpen eller om oss! Vi bjuder gärna på fika så vi alla får träffas!
2016-11-18
Veterinärbesiktning!
Idag har Lopporna varit hos veterinären för att få ett intyg på att dom är friska och alla mådde utmärkt!! Härligt!!
2016-11-13
Valpträff!
Idag hade vi en träff för valpköparna men fika och valpmys! Om en vecka är det dags för Lopporna att flytta härifrån så då blir det inga fler sådana
här mysiga söndagar på ett tag....
2016-11-12
En fantastisk kille söker ett nytt hem!
Läs mer under knappen "Omplacering". Fina fina underbara Musse söker ett nytt hem och han vill flytta till dig som vill ha en riktigt fin kompis och
en pålitlig och samarbetsvillig arbetskamrat!
2016-11-12
Nu har Smulorna fått en egen sida!
Kolla under knappen "Kullar" så överst hittar ni där en knapp där det står Smulorna!
2016-11-05
Idag blir Smulorna 8 veckor!
Dags för valparna att ge sig ut i världen! Å dags för Xtra att åka hem till sin familj. Va tomt det blev här hemma hos oss!!
Det har verkligen varit ofattbart enkelt dessa veckor och Xtra har liksom bara flyttat in och verkar ha trivts riktigt bra här hemma hos oss. Skönt!
En svart tikvalp finns kvar hos oss och söker en familj att flytta till! Vi passar på att njuta av lilla fröken så länge som hon blir kvar här hos oss!
2016-11-05
Grattis Disney-kullen!
GRATTIS på 1-årsdagen!! Tänk att ni redan är 1 år gamla!! Hoppas ni alla får en underbar födelesdag och blir ordentligt firade!!
2016-10-26
Grattis Av-kullen!
9 år blir ni idag!! GRATTIS på födelsedagen!! När man är 9 år så får man göra nästan precis som man vill!!
Hoppas att ni får en underbar dag och mycket gott att mumsa på!
2016-11-03
Hundmatshämtning!
Nu är alla frysar fulla igen och jag har fått umgås med mina goa valpköpare!! Som vanligt, stort tack till familjen Söderberg och Pernilla!
2016-10-31
Kennelträff!
Va kul att så många kunde komma!! Temat på denna träff var stadga, transport och så det där viktiga....passivitet! Vi gjorde flera svåra övningar och jag
tycker att alla utvecklades väldigt bra under kvällen. Jag kan inte nog många gånger poängtera hur viktigt det är
att ta ansvar för mig och min hund och vår träning och våra mål och hela tiden utgå från det
när man väljer vilka övningar man ska göra och på vilket sätt man ska göra övningar. Det är lätt att ryckas med och göra så som andra gör utan att ha utgått
från sig och sin hund. Det blir sällan bra. En annan viktig sak som jag pratade en del om idag är att vi måste hitta sätt att kunna vila oss, både mig och min hund,
när röran pågår runt om oss för annars blir det lätt för mycket i huvudet på våra fyrfota vänner (och på oss tvåbenta!!).
2016-10-26
Grattis Av-kullen!
9 år blir ni idag!! GRATTIS på födelsedagen!! När man är 9 år så får man göra nästan precis som man vill!!
Hoppas att ni får en underbar dag och mycket gott att mumsa på!
2016-10-25
Kennelträff med valpmys och lunch!
Det är några goa Atomosar som vill komma hit och träffa valparna och självklart bjuder vi hem er alla som vill! På söndag 30/10 bjuder
vi på lunch och fika bland härlig valpar!!
2016-10-23
Valpträffar!
Idag hade vi först en liten träff för Tuffa och hennes valpar. Vi var inne med dom för det var trist väder ute. Sen hade vi
träff för Xtra och hennes valpar och då var vi ute för oj va härligt busiga dom är nu!
2016-10-21
Kennelträff!
Mörkt och kallt men ändå så varmt och härligt!! Tänk va ett gäng goa Atomosar kan göra en mörkt och kall fredagskväll så härlig!!
2016-10-16
Valpträff!
Det börjar bli lite fart i dom små valparna nu så idag var vi ute. Härligt att så många kunde komma!
2016-10-11
Kennelträff!
Va många som kunde komma en tisdagseftermiddag kl 16 och på så kort varsel! Jag är imponerad!! Jag hade alldeles för lite kaffe med mig
så det var tur att Jocke och tjejerna kunde komma med en termos till.
Valpköparna hade fått välja tema och temat blev passivitet, stadga och transport.
Härligt att mina valpköpare vill ha just sådan träning!! Nyttigt för alla!
Jag tycker att man ska vara petig med detaljerna och jobba med att hitta rätt känsla hos sig och hunden. Inte helt lätt alla gånger.
Viktigt också att man hittar sina egna verktyg och förstår vad man gör och varför och inte bara gör som intruktören eller träningskompisen säger.
Jag var ganska tuff idag känner jag men jag kan liksom inte låta bli när jag står inför ett så här entusiastiskt gäng förare med så duktiga
hundar för jag vet hur långt alla kommer att komma om dom bara gör detta grundarbete ordentligt. Vi ses snart igen på detta tema! Jag längtar!!
Å jag lovar att ta med mer kaffe nästa gång!!
2016-10-10
Hundmatshämtning!
Det va många av oss som beställt mat till idag men trots att det va väldigt mycket mat så gick det snabbt och smidigt att få allt packat
och klart i god tid innan alla kom och hämtade. Som vanligt, stort tack för hjälpen Lotta, Pär och Pernilla!!
2016-10-09
Första valpträfen!
Idag var det första gången som vi bjöd in nyfikna valpköpare hos Xtras valpar. Vilka härliga familjer våra valpar kommer att få bo hos!
2016-10-09
Några små kennelträffar!
Jag har bokat tre datum för kennelträffar på temat passivitet, stadga och transport. Se info i forumet.
2016-10-07
Grattis Pralinerna!
Våra två fina Praliner blir 2 år idag!! Grattis!! Önskar er båda en riktigt mysig födelesdag!!
2016-10-03
Grattis alla i Som Djur-kullen!
Idag blir ni 7 år!! Hoppas att ni alla har en härlig dag och blir firade ordentligt och får mycket gott att mumsa på! Det
var en spännande dag när ni föddes och vi fick våra fyra första gula valpar i lådan!!
2016-10-01
Aktiviter i höst?!
Det blev så härligt fullt upp här hemma med två kullar så det har gått alldeles för långt mellan gångerna jag får träffar alla
er goa valpköpare (Det är ju två veckor sedan senaste kennelträffen och inget nytt är bokat så jag får nästan panik!!)! Så nu
när jag har lite koll på läget dvs alla valpar är födda och snart är dom yngsta en vecka gamla så känner jag att jag kan lämna Jocke med
allt valppyssel några timmar och då vill jag gärna träffa er goa Atomosar!!
Frågan är då vad ni vill att jag erbjuder för aktiviteter?! Vad känns
mest akuellt just nu? Ja självklart är det viktigaste att vi får ses och så en kopp kaffe förstås men jag vill ju gärna ha
förslag på vad vi ska jobba med också?! Hör av er med förslag så ska jag se vad som går att få till!!
2016-09-26
Valpning pågår!!
Här är en bild på de första två valparna! En hane och en tik! Följ oss i valpdagboken!!
2016-09-21
Nu har Tuffa fått en valpdagbok!
Valpdagboken finns i vårt forum (förhoppningsvis hjälper Peter mig att fixa en länk från startsidan imorgon).
Dygn 60 idag så snart kommer vi få se vilka raringar som glömmer sig där inne i den gulliga magen!!
2016-09-19
En spontan kennelträff
Det tar ju lite tid det här med att vara hemma och vänta på hundvalpar
så just den här månaden när vi får två valpkullar så har det inte erbjudits lika många tillfällen att umgås
med valpköpare som jag egentligen vill så jag blev så glad när jag insåg
att den här måndagen var ledig för från imorgon, tisdag, blir jag hemma någon vecka med Tuffa och hennes valpar.
Va kul att så många kom trots att det var så kort varsel!
Temat för kvällen va lite blandat men vi var nog alla ganska överrens om att det inte är så noga vad vi gör utan det viktigaste är att ses och
träna tillsammans. Tack alla ni som kom!
Jag blir så glad av att få vara med er både tvåbenta och fyrbenta!!
2016-09-16
HD-röntgen
Jag hade bokat en gemensam tid för HD-röntgen av syskonen i PP-kullen så
sex av dom sågs igår så vi fick Kickis hjälp att röntga höfterna. Det finns bara en som jag är trygg att röntga
höfter hos för oj va många märkliga historer jag hört. Så när alla hundar var
röntgade så kunde vi andas igen för alla bilder såg bra ut!! Så himla skönt! Men det är ju SKK som läser bilderna så
helt säker på vilken bedömning dom får kan man ju förstås aldrig vara men jag är i alla fall helt säker på att alla hundarna
har fina höftleder som inte kommer orsaka dom något lidande.
Stort tack till alla er som kom! Jag är väldigt glad och tacksam för att jag fick förmånen att vara med och röntga era fina hundar!
2016-09-11
Valparna är här nu!
Två svarta hanar, en brun hane, två svarta tikar och tre bruna tikar! Alla mår bra!!
2016-09-10
Valpning pågår!!
Ni kan följa vad som händer här hos oss genom att läsa valpdagboken!
2016-09-03
Valpdagbok
Nu börjar jag skriva i Xtras valpdagbok så ni kan följa vad som händer här hos oss i vår valplåda!
2016-08-27
Kennelträff
Kul att vi blev ett gäng trots att det va lite kort varsel!
Oj va härligt alla utvecklats tillsammans sedan vi sågs sist! Beslutsamma förare som satt upp bra mål och då kommer ofta framgången direkt.
Jag hade planerat några enkla övningar på det där temat som vi alla alltid behöver träna på dvs transport och stadga.
Vi började med att fika och prata tills alla hundar kommit ner i varv (och så kom
Jocke och tjejerna på fyrhjulingen och då piggnade några hundar till igen....men kom snart tillbaka till en bra känsla så vi
kunde börja jobba lite).
Jag tycker att det är superviktigt att få till det är med en bra känsla i kroppen på både hund och förare och på så sätt få
stagda och transport att fungera bra för både hund och förare. Många gånger
så visar det sig att när ekipaget mår bra i dom situationerna så visar det sig att hunden kan
allt det där andra med snygga apporteringar, bra markeringsjobb
osv. Vi jobbade med ett ekipage i tag och jag tycker att vi hittade bra verktyg för alla att jobba vidare med.
Känns superbra tycker jag!!
Jag hade med mig några fåglar som alla jobba med och så avslutade vi träningen med några skott utan att något mer
hände och så drack vi kaffe tills alla hundar hade en bra känsla i kroppen. Nu jobbar vi vidare mot nya mål! Hoppas
ni vill träffa mig snart igen!
2016-08-26
Hundmatshämtning
Kul att få träffa alla! Allt gick väldigt lätt idag och kors i taket för vi fick precis det som vi hade beställt denna gång.
Alla mina frysar är nu proppfulla med hundmat och det kommer gå åt massor nu med två dräktiga/digivande tikar.
Som vanligt fick vi ovärderlig hjälp av Lotta, Pär och Evelina! Ni är underbara!!
2016-08-25
Kennelträff på lördag?!!
Mer info i forumet! Hör av er om ni vill vara med!
2016-08-25
Det finns många valpar i Tuffas mage!
Idag har vi varit hos veterinären och kollat i Tuffas mage med hjälp av ultraljud och vi såg många valpar där inne!! Vilken härlig höst vi kommer ha!!
2016-08-24
En härlig semester!
Nu är vi hemma igen efter några härliga dagar på västkusten. Vi trivs så himla bra där och vädret har varit toppen. Å våra fyrfota vänner har skött sig exemplarisk.
Jag är så tacksam över att få ha så fina vänner!

Här är alla fem!
2016-08-13
Så himla fina kompisar!
Jag blir så varm i hjärtat när jag ser mina fina hundar tillsammans med mina fina barn! All denna gränslösa kärlek!!

Våra fina Melker är så rar och så kärleksfull mot tjejerna och dom har
så mysiga pusskalas! Å va jag är tacksam över att ha så fina hundar i mitt liv!!

Riktigt fina kompisar!!

Här är lilla Tuffa! Tror ni att det är valpar i hennes mage?! Snart vet vi!!
2016-08-13
GRATTIS Har-kullen!
Idag blir ni 6 år!! Hoppas att ni alla får en härlig födelsedag och mycket gott att mumsa på!
2016-08-12
En härlig dag i spårskogen!
Både igår och idag har jag haft förmånen att träffa duktiga ekipage i spårskogen och jag hoppas att jag lyckast övertala i alla fall några att anmäla till spårprov...
2016-08-11
Annas träning!
Tack Anna och alla andra fina goa Atomosar för en härlig stund i skogen! Som vanligt så hade Anna fixat så fint åt oss med supergott hembakat fika
och bra övningar anpassade efter allas önskemål och nivå. Jag rä så glad att jag har så underbara valpköpare!!
2016-08-07
Mysigt med träningssällskap!
Idag fick vi besök av en kaffesugen och träningssugen valpköpare som hade med sig en delikat ananaspaj! Jag hade med mig
Melker och Tuffa och dom fick hämta några apporter var både i början och i mitten av vår träningsstund och därmellan fick dom
hålla sig pasiva. Det just det där med att varva aktivitet och passivitet som är lite svårt för vår älskade ras....
2016-08-05
En härlig eftermiddag i spårskogen!
Kul att så många ville ses i spårskogen idag!!
2016-08-05
Xtra är dräktig!
Å va spännande!! Det är massor med valpar i Xtras mage!! Håll nu tummarna för att allt går bra så vi har valplådan full med små Xtra-Sesam-barn i början på september!!
2016-08-03
På kurs med Karin Friberg!
Lyxigt att gå på hundkurs en hel dag!! Idag har jag varit på en ny kurs för Karin Friberg.
Alltid kul att få höra hur andra tänker och tränar hund!!
Jag gillar grunden i Karins sätt att se på hundar och jag gillar att hon försöker läsa hunden och klurar på hur hunden tänker. Det kommer man långt med.
Karin är noga med att poängtera att man som förare måste förstå och fråga sig varför man tränar på ett visst sätt och
hennes envisa påminnelser om att föraren ofta har en roll i det som hunden gör. Det blir ofta
en påtaglig skillnad på hundarna när föraren förstår och gör så som Karin instruerar.
2016-07-26
Tuffa är parad med Sesam igen!
Den här gången möttes vi i Sala i en hästhage på en gård som Eric haft en häst hos. Kanske vi ska ha hästtema på denna kull? Det blev i alla snabbt
och lätt en bra parning och vi åkte till en mysig resturang och åt god mat. Jag gillar det här med parningar när det liksom blir tillfälle att
få umgås med goa människor!! Stort tack till Eric och Sanna som så glatt och självklart ställt upp och träffat oss för att vi ska få till parningar!!
2016-07-25
Hundmatshämtning!
Det gick snabbt och lätt idag för den här gången hade det liksom blivit fel åt ett bra håll dvs
vi hade fått för mycket mat. Lite extra pyssel nu när det är så varmt ute för vissa produkter tinar som snabbt så vi behöver packa
om dom tillfället i våra frysar och sen packa det sista när folk hämtar sina kassar.
Som vanligt så fick vi ovärderlig hjälp av familjen Söderberg och Pernilla! Tack!!
2016-07-24
Tuffa är parad med Sesam!!
Oj vilken enkel parning! Det är första gången för Tuffa och jag hade inte väntat mig att hon skulle vara så här med på noterna. Skönt för jag har tänkt att hon ska
ha flera kullar!!
2016-07-24
Viltspår!
En härlig söndag i spårskogen!!
2016-07-22
Lite aktiviteter?!
Jag tänkte ordna en kennelträff lördagen den 30/7 om intresse finns. Vet ju att det är semestertider så det kanske är många bortresta men vill ändå göra ett försök.
Jag tänkte att vi tränar apportering tillsammans på den nivå som alla är och sjäkvlart är alla
välkomna oavsett tidigare erfarenhet och så hjälps vi åt att se till att det blir en givande träning för alla.
Kanske kan det vara en bra idé att köra ett pass med mest passiv träning? Hör gärna av er med önskemål på vad vi ska träna!!
Hör av er senast tisdag 26/7 om ni vill vara med så jag får koll på hur många vi blir (eller så jag får veta att jag valt fel datum och måste göra ett nytt försök
längre fram). Mer info kommer att finnas i forumet.
2016-07-22
Vår lilla Tuffa löper!!
Nu har vi bestämt oss för att vi parar Tuffa med Sesam. Det har varit en del diskussioner fram och tillbaka för vi har haft flera intressanta kombinationer i huvudet men så
plötsligt så känns det i magen vilket beslut så är det rätta. Sesam och Tuffa blir väldigt spännande!!
Det känns väldigt bra att ge en så frisk, klok och synnerligen trevlig hane en chans till att bidra med sina gener till rasen. Han är
snart 7 år och tiden går fort så det är lika bra vi passar på nu när vi har en tik som Tuffa som känns så rätt till Sesam. Stort tack till Eric som ger oss förmånen att
en än gång para med Sesam.
Det blir parning nu i slutet juli och därmed har vi förhoppningsvis valpar som kommer vilja flytta till nya familjer i slutet på november.
2016-07-19
GRATTIS Puzzel!
Vår älskade Puzzel fyller 8 år idag!! Hon är en riktigt charmig pigg envis tant nu och hon verkar må utmärkt på alla sätt! Sin
födelsedag firade hon i Nora tillsammans med oss alla i husvagnen!!

Här är våra fem fantastiska vänner!! Tre svarta löptikar och en hanhund
på husvagnssemester och så rara Pippi som sitter längst till vänster!!
2016-07-13
Nu är Xtra parad med Sesam!
Så himla spännande!!! Att lägga pussel med stamtavlor är nog det roligaste jag vet och när jag får kombinera en Atomos-hund med en Atomos-hund
så är jag allra mest entusiastisk!! Då känner jag ju många hundar i stamtavlorna och de kommande valparnas mor och far och ofta mormor, morfar, farmor eller farfar,
eller flera av dom är födda i min hand. Det är så otroligt härligt när jag ser en valp som ser ut som och beter sig som sina gamla morföräldrar
eller farföräldrar. Jag blir så varm i hjärtat! En annan stor poäng med att använda hundar som jag fött upp själv är ju att jag har god koll även på sånt som är oönskat.
Håll alla tummar för att vi får ett gäng friska fina valpar i början av september!!

Fina Sesam och fina Xtra

Xtra

Sesam

Vi hade ett födelesdagsbarn på besök!
Vi har träffats fyra dagar och varje gång hemma hos oss på Bärmöudd så jag har haft förmånen att
få bjuda på fika och mat!! Timmarna har gått fort och vi har haft väldigt trevligt!! En av dagarna firade vi dessutom ett födelsedagsbarn och det är riktigt
stort att ställa upp och komma hit med sin hund för en parning på en sådan dag!! Självklart ville Ellen fixa en tårta att bjuda på!
Nu tror vi att vi har parat klart för denna gång....eller....vi får se om det finns anledning till en dejt till och jag skulle tycka att det vore väldigt
trevligt att få bjuda hit alla dessa goa människor en gång till (men om det nu finns valpar i magen så kommer vi förstås ha många fler anledningar att ses!!)
2016-07-12
Dröm-kullen fyller 3 år!!!
GRATTIS på födelesdagen!!
Tuffa firade sin födelsedag med en tårta som Ellen och Matilda gjorde till henne!

Fin, eller hur?!

Å god!!!
2016-07-05
GRATTIS På-kullen!
10 år blir ni idag!! Några av syskonen finns i hundhimlen och vi tänker på er alla idag!! Ni föddes den sommaren som vi flyttade till Sigtuna så ni
va första gänget valpar som sprang runt här
på Bärmöudd. En härlig tid fick vi tillsammans och jag aldrig den sommaren!
2016-07-04
Kurs för Karin Friberg!
Idag har jag varit på kurs hela dagen och instruktören var Karin Friberg. Jag har inte varit på någon kurs för Karin Friberg tidigare så det va spännande att få veta
mer om hur hon tänker hund. Kursens tema var Läsa och Föra hund. Jag gillar när man tänker hundträning från förarens vinkel. Vi jobbade oss igenom flera
hundar och kursdeltagarna fick göra övningar med varandras hundar. Intressant att se hur hundarna reagerade olika på olika förare. Det var ju
liksom samma hund och samma övning men ändå så olika. Nyttigt för oss tvåbenta att få se det gång på gång. Jag hade tänkt gå en kurs till dagen efter men
fick inte ihop livet tillräckligt bra så jag kom inte iväg. I augusti blir det uppföljning, spännande!!
2016-07-03
Xtra löper!!
Å va spännande!! Vi har tänkt para Xtra med Sesam! Om allt går som vi hoppas så föds det valpar hos oss i september och dom vill flytta
till sina nya familjer i november! Hör gärna av er redan nu om ni är intresserade av att erbjuda en av dom ett hem!
2016-06-30
WT-träning
Ett gäng lovande unga hundar kom och var med idag. Fem stationer hade jag förberett. Station 1 var en ganska lång markering med skott. Den stationen var extra svår för
publiken som satt så till att dom såg allt skojigt. Station 2 var en markering med dold kastare och dold nedslagsplats. Den stationen löste alla väldigt bra tycker jag.
Station 3 var en transport och så en markering som var ganska lätt men transportsträckan visade sig ställa till en hel del bekymmer för flera ekipage.
Station 4 var en markering som föll i snårig terräng och ekopage fick stå lite inne i buskarna för att kunna se. En risig nedslagsplats krävde att hundarna
jobbade med korta ben och
låg näsa. Station 5 var en markering som föll på land men nära vatten. Hundarna skulle springa längs vattenkanten på vägen ut och så inte frestas av att spring förbi och rakt ner i vattnet.
Nästa alla hundar var torra när dom lämnde av dummie till föraren, snyggt jobbat!! Men som så ofta med unga hundar så är det inte apporteringen som är det svåra
utan det är allt det där runt omkring som är jobbigt. Mer träning i grupp!!
2016-06-28
Ögonlysning
Igår lånade jag Speja och så var vi till veterinären och kollade så att hennes ögon är ok. Det gör man alltid inför
en parning. Så nu hoppas vi att Speja snart börjar löpa så vi kan få fina Speja-barn!! Jag är så innerligt tacksam att Erika gör detta möjligt!!
2016-06-29
Hundmatshämtning
Det blev en lugn och skön hundmatsdag med mycket tid att umgås med goa Atomosar!
Ännu ett stort tack till familjen Söderberg och Pernilla som kämpade så vi alla fick fylla våra frysar. Å alla mina frysar är proppfulla med hundmat!
2016-06-28
Ögonlysning
Igår lånade jag Speja och så var vi till veterinären och kollade så att hennes ögon är ok. Det gör man alltid inför
en parning. Så nu hoppas vi att Speja snart börjar löpa så vi kan få fina Speja-barn!! Jag är så innerligt tacksam att Erika gör detta möjligt!!
2016-06-24
Midsommar
Vi önskar alla, både tvåbenta och fyrbenta, en riktigt härlig midsommar!!
2016-06-22
Sommaraktiviteter?
Vi har ju bara en aktivitet inbokad dvs en WT-träning 30/6 (mer info i forumet) så jag sitter här med almanackan och klurar lite på vad jag ska erbjuda
mina goa valpköpare för aktiviteter i sommar?! Men kanske är det klokt att kolla med er
vad ni vill att jag ordnar?! Hör gärna av er med önskemål!!
2016-06-22
Gemensam träning
I forumet fanns en inbjudan till träning tillsammans med goa Atomosar och jag hoppades in i det sista att jag skulle kunna vara med men jag fick inte till det tyvärr.
Tråkigt för mig!! Synd att man ännu inte lyckats lösa så att man kan vara på två ställen samtidigt!!
2016-06-21
GRATTIS Amy!!!
Idag fyller vår fina Amy 9 år!! Det är svårt att tro att hon är 9 år redan för hon är riktigt pigg och har massor med energi och livslust!!
Våra älskade danska Snurrhöna!! Jag är tacksam för att få ha dig i mitt liv och jag hoppas verkligen att du har tänkt
stanna hos oss länge till!!
2016-06-14
Viltspår
Ett gäng duktiga ekipage i spårskogen!
2016-06-13
Unghundskurs
Det här var sista kurstillfället för den unghundskurs som jag haft för våra två yngsta kullar. Alla har satt upp bra mål och vi har fått se stora framsteg. För
mig är en viktig pusselbit att hunden kan vara lös och koppla av i grupp och detta kurstillfälle blev resultatet långt över min förväntan!!
2016-06-13
Viltspår
Två härliga brorson och deras härliga mattar hade jag förmånen att träffa i spårskogen!
2016-06-10
Viltspår
Duktiga hundar och duktiga förare! Tack för en härlig eftermiddag i spårskogen!
2016-06-09
WT-träning
Nio ekipage, mellan 6 månader och 11 år, kom och var med idag!! Ni är så härliga allihop!!
Första stationen var en markering med skott. Andra stationen var också en markering med skott och ganska dold kastare. Här stod ekipagen på en plats
där dom fick en uppfattning om hur terrängen såg ut och när dom sprungit en bit mot apporten så
såg allt annolunda ut och många tappade då sin
referenspunkt och vimsade till det lite. Station tre var en transport och sen en dummie som förare skulle hämta medan hunden satt kvar. Sen en transport tillbaka
till första snitseln. Då föll den en ny dummie och den skulle hunden hämta. Station fyra var två enkelmarkeringar. Här fanns det möjligthet att kastad dummisarna
bakom en buske så att hunden uppfattade det som att dummie landat på halva sträckan. Jag anpassade kasten så svårigheterna blev lagom för den hund som
skulle apportera men alla fick smaka på denna klurighet i olika grad och det är riktig njutning att få stå och se hur dom jobbar och löser det uppgifter dom ställs inför.
Både ung och gammal fick tänka och jobba en stund men alla löste sin uppgift. Å va jag gillar att se duktiga hundar jobba och få tillfälle att försöka förstå hur
dom tänker!!! Station fem var lite klurig. Ekipaget gick mer till vattnet och ställde sig och tittade längs vattenkanten. Det föll en markering som landade några meter från
land men frestande nära vattnet. Det var mycket snår och sly där dummie låg så hundarna måste jobba lugnt och med låg näsa för att hitta dummie. När
dummien var avlämnad till föraren så gick jag förbi ekipaget och ställde mig vid vattenkanten. Ekpiaget hade så vänt på sig och ställt sig så dom såg när jag kastade en sten i vattnet.
Då var deras uppgift att gå till mig med hunden vid sidan och så skulle föraren lämna dummien till mig....men några hundar valde att kolla lite i vattnet istället ....
Jag tycker att det var riktigt kul med WT-träning och det verkar finnas intresse även för nästa datum som vi har bokat dvs 30/6 så jag tänkte boka ytterligare något
datum så ha koll i forumet om ni vill vara med på sådana här WT-träningar!
2016-06-02
I-kullen fyller 11 år
GRATTIS!! Fem underbara systrar föddes det denna dag för 11 år sedan, alltså samma dygn som det redan fötts 10 valpar hemma hos oss!
Det blev en härlig sommar!! Hoppas ni alla får en härlig födelsedag!!
2016-06-02
Våga-kullen fyller 11 år
Det liksom bara trillade ut 10 välskapta fina valpar en natt för 11 år sedan! Hoppas ni alla får en härlig födelsedag!!
2016-06-01
Viltspår
En mysig eftermiddag med två unga systrar från Disney-kullen!
2016-05-30
Unghundskurs
Nio härliga ekipage som jobbade på så himla bra under kvällen!! Sitta kvar med svår störning och gå vid sidan under olika knepiga förutsättningar
och så det där som jag tycker är så viktigt...att kunna vara lösa och koppla av tillsammans och bara mysa och njuta!
2016-05-31
Hundmatshämtning
Allt gick enkelt och smidigt idag förutom att det var lite onödigt varmt så vi hade lite extra pyssel med att hålla maten tillräckligt kall innan alla hämtade sina
beställningar. Kan alltså vara klokt att hämta maten så tidigt som möjligt dess varma dagar så den inte hinner tina.
Å som alltid så ställde familjen Söderberg och Pernilla upp och hjälpte oss idag!! Ni är fantastiska som vill vara med och kämpa dessa dagar!!
2016-05-30
Ögonlysning
Idag har Melker och Tuffa varit hos veterinären och kollat sina ögon. Veterinären hittade ingenting i Tuffas ögon, skönt! Men i Melkers ögon hittades en liten
prick i varje öga men inget att bekymra sig över och inget som hindrar honom att gå i avel. Man hittar ofta prickar på det man kallar y-sömmen och dom
prickarna är ok att ha men dom ska givetvis antecknas och registeras eftersom dom finns där. Veterinären tryckte extra på att om man är över 8 år
när man får sina första prickar (Melker är nyss fyllda 8 år och han ögonlystes för ett år sedan och då hade han inga prickar alls)
så är det att föredra att använda en sådan hund i avel framför
en hund som får sina prickar när den är ung. När man parar en flat som måste man gjort en ögonlysning inom 1 år så nu är både Tuffa och Melker klara för att paras
under kommande år! Hoppas, hoppas!!
2016-05-29
Alla fina mammor!!
Idag tänker vi lite extra på alla fina mammor som gett oss så många och så fantastiska valpar! Utan alla våra kloka
och duktiga tikar hade vi inte haft så många
fina fyrfota vänner att dela vårt liv med. Jag ägnar er alla en extra varm och kärleksfull tanke just idag, älskade
Elsa, Moa, Dea, Ärtan, Loppan, Pärla, Flisa, Amy, Puzzel, Pippi och Molly! Jag är så tacksam!
2016-05-26
Bubblan-träff
Kul att så många kom ikväll!! Jag hade bjudit in till en liten info-kväll för att få tillfälle att få berätta lite om det jag kallar bubblan.
Vad är då bubblan?! Ni som träffat mig och mina hundar ute har kanske sett att jag inte behöver lägga så mycket
fokus på min hund när vi är på träningar/kurser tillsammans. Det är det där lugna, trivsamma, ordlösa, okopplade som jag
kallar för bubblan.
För mig är bubblan grunden både till en trivsam vardag och nyckeln till framgång i all annan träning oavsett slag.
Min tanke
med träffen var att reda ut en del frågor om bubblan och kanske få några fler att bli nyfikna och vilja veta mer.
En viktig insikt en sådan här kväll kan ju också vara att man känner att det här är inget för mig.
Det är ju minst lika viktigt att komma fram till hur man inte vill göra med sin hund.
Man måste liksom inte gilla bubblan bara för att jag gör det.
Jag började klura på det här med bubblan 2003 när jag hade min första valpkull och tillsammans med kursdeltagare och valpköpare har vi utvecklat tankesättet och "verktygen"
och vi har varit flera som slagit våra kloka huvuden ihop och vi är många som gråtit så många glädjetårar tillsammans när den underbara bubblan-känslan infunnit sig!
Det blir mycket teori i början och det är svårt att riktigt förstå hur det
funkar förrän man upplevt känslan tillsammans med sin hund. När hund och förare upplevt känslan så vill båda ha mer och jobbar mot målet tillsammans.
Jag funderar mycket kring vem av oss, hunden eller jag, som har ansvar och vem av oss som tar initivativ?! Jag vill att det ska vara jag som tar ansvar och jag vill att
det är jag som ska ta initivativet om och när vi ska göra något.
Man får helt enkelt testa sig fram för varje ekipage gör sin egen
resa mot målet att hunden ska vara lugn hos sin förare oavsett vad som händer runt omkring. Ska bli spännande att höra de frågor som kommer
sen när alla varit hemma och klurat lite på det här ett tag. För dom flesta av oss så tar tid
att hitta ett passande tankesätt och hitta sina framgångsrika "verktyg". Allas resa är unik.
Under åren så har jag haft förmånen att hjälpa många
att hitta sitt sätt att jobba med bubblan-tänket och det är ju genom att ha fått följa med på alla nyfikna människors resor som jag fått uppleva så många
fantastiska saker med min bubbla. Bubblan-tänket har gjort så stor skillnad för så många under åren och vi har lyckats hitta ett lugn hos stressade hundar,
fått frusterade förare och hundar att må bra tillsammans oavsett miljö runtomkring,
vi har hjälpt flera osäkra och rent av arga hundar att vara trygg i hundmöten, vi har fått arbetssugna men ofokuserade och irrationella
hundar att börja jobba koncenterat och målmedvetet osv osv. För mig är bubblan lösningen på mycket.
Jag gillar tankesättet att "givetvis är min hund hos mig" och jag vill kunna "glömma bort" att jag har en hund med mig och
istället ägna mig åt allt roligt och trevligt som händer runt oss.
För att lyckas måste jag hitta rätt känsla hos mig själv. Min egen känsla är helt avgörande. Hundarna gör det jag önskar av dom när jag hittar rätt känsla hos mig själv.
Mina egna hundar har lärt mig ovärderligt mycket om mig själv. Inte alltid så smickrande saker dock....men jag är tacksam för att
jag har fått hundarnas hjälp att inse vad jag behöver jobba med för att komma till mitt mål dvs
att mina hundar ska vara lugna och må bra hos mig oavsett vad som händer runt omkring oss. Det är ren lycka att gå omkring med ett gäng
hundar som har bubblan-känslan i kroppen. Dom
liksom strosar omkring och filosoferar i lugn och ro och vi mår så bra allihop! Det är det där lugna, samlade, sansade, trivsamma,
ordlösa, okopplade och helt konfliktfria, det gillar jag!
2016-05-26
GRATTIS Prinsen
Redan 6 år!! Det var så snopet att det bara föddes en valp men oj vilken härlig kille vi fick!! Vi önskar fina Prinsen en riktigt härlig födelsedag och
jag vet att han kommer bli ordentligt firad!!
2016-05-25
Cattis ordnade träning åt oss
En härlig eftermiddag med träning tillsammans med goa Atomos och så en kopp kaffe! Det gillar jag! Jag hade med mig båda barnen idag så det blev inte så där väldigt mycket
hundträning för min del men en stund tillsammans med dessa goa människor och hundar ger en massa andra bra saker.
2016-05-22
Kullträff med första viltspåret
Jag erbjöd Disney-kullen och Pippi-kullen att fixa så hund och förare fick gå sitt första viltspår. Egentligen skulle Pippi-kullen ses nästa söndag men
det va så få som visade intresse för den träffen så jag slog ihop kullarna och körde en gemensam träff idag. Det blev en härlig
söndag tillsammans med duktiga hundar och förare. Ser fram mot att få följa ekipagens utveckling!
Stort tack till Pernilla och Anna som la alla spåren!!
2016-05-21
GRATTIS på födelesdagen!
Idag fyller Så-kullen 5 år! Tiden går så fort! Tänk att ni redan är 5 år! Hoppas att ni alla får en härlig dag och mycket gott att mumsa på!
2016-05-20
Gemensam träning
Jag hade skrivit en rad i forumet och hoppades på träningskompisar några timmar denna eftermiddag och det var många goa Atomosar som kom och ville
vara med!! Dessutom hade vi förmånen att få träffa nya förväntansfulla valpköpare som var nyfikna på vilka vi är och ville få tillfälle
att känna efter om vi är rätt kennel för dom. Tack alla för en härlig eftermiddag!
2016-05-16
Unghundskurs
Ikväll har vi startat en unghundskurs för våra två yngsta kullar. Ett riktigt härligt gäng hundar och förare som är bra tankar och funderingar och som har
satt upp inspirerande mål. Det blir ju alltid lite rörigt på unghundskurserna men om det nu ska bli rörigt någongång någonstans så är det ju utmärkt
att få reda ut det och få till bra träning i goa människors sällskap.
2016-05-16
Viltspår
Ännu en givande stund i spårskogen!
2016-05-14
GRATTIS Med I-kullen på födelesdagen!
Redan 8 år! Jag minns det som det va igår. En otroligt lätt och smidig valpning och ut kom det 13 valpar hur lätt som helt. En av dom hade en märklig färg och det
tog en liten stund innan jag fattade att vi fått vår första bruna valp!! Det var massor med intresserade som hörde av sig och ville
erbjuda vår bruna gosse ett hem. Från många olika länder ute i Europa. Jättekul förstås men vi kunde inte skiljas från vår goa gosse så han fick stanna
hos oss. Jag är så innerligt tacksam för det!! Vår bruna fina Melker har firat sin födelsedag så som han trivs allra bäst dvs
med ett köttben under syrenbusken!
2016-05-12
Viltspår
Härligt att det nu äntligen är dags att ses i spårskogen! Flera ekipage har planer på att starta på viltspårsprov så jag ser fram mot några fina resultat!
2016-05-12
Anna ordnade träning och fika åt oss
Tack Anna och resten av gänget för en härlig eftermiddag i skogen! Jag hade med mig alla mina svarta tjejer och det blev som alltid ett utmärkt träningspass i att mest titta på
andra som jobbar och inte få hämta så många apporter. Det är ju den träningen som är omöjlig att få till hemma så jag tycker att det är toppen när jag får vara
med och träna med mina hundar.
2016-05-06
GRATTIS Livet-kullen!
Idag fyller ni 8 år!! Grattis på födelesdagen!! Det är en härlig ålder för nu får man börja göra lite mer som man vill och då kallas för att man är
charmig! Önskar er alla en riktigt härlig dag och jag kommer njuta av alla mina fina minnen jag har från det att ni botte här hos oss allihop.
2016-05-02
Valpkurs för våra yngsta
Sista kurstillfället. Vi jobbade vidare med övningar på temat sitt, sitt kvar, gå vid sidan och så vara lös, följsam och komma på inkallning.
Dom var så rara allihop!! Härligt jobbat av både hundar och förare!!
Jag vet att flera har tänkt komma på fler av de kurser/träffar som jag ordnar framöver och jag ser verkligen fram mot att få följa dessa små underverk på sin
resa genom livet!
2016-05-01
Kullträff med viltspår!
Idag ordnade jag kullträff för PP-kullen så dom fick gå varsitt första viltspår. Duktiga hundar, vetgiriga förare och underbart väder!! Kan man önska sig något mer?!
Tusen tack till Pernilla och Mats som hjälpte oss att lägga spår åt alla!
Innan kullträffen hade jag dessutom förmånen att få hjälpa en annan valpköpare med lite apportering och jag är så nöjd med utvecklingen hos både
hund och förare! Bra jobbat av er båda!!
2016-04-26
Fler aktiviteter!
Jag har lagt ut några datum i forumet. Det blir en träff där jag har med mig vilt för er som vill ha min hjälp med det och så har jag bokat
några WT-träningar där alla kan vara med oavsett kunskaper och så en kväll där vi pratar om bubblan. Om ni har
andra önskemål så hör av er!
Jag är väldigt sugen på att att träna lite mer med Tuffa så om någon vill träna med mig så ordnar jag gärna gemensamma träningar.
Förslag på datum? Önskemål om upplägg?
2016-04-25
Tävlingslydnad!
Ikväll hade vi ett kurstillfälle med tävlingslydnad. Det har varit lite klurigt att hitta passande datum så vi fick nöja oss med ett tillfälle men ett tillfälle
är betyligt mer än inget tillfälle och planen är att försöka hitta ytterligare några datum innan det blir sommar och alla försvinner iväg på semester.
2016-04-25
Annas träning!
Å va mysigt att få ses i skogen och träna tillsammans med goa Atomosar! Tack fina Anna för att du fixade så bra åt oss!! Vi gör väl om det snart igen?!
Jag hade med mig Tuffa på träningen och hon har knappt fått någon vettig träning alls trots att hon snart är 3 år. Det har liksom inte riktigt
funnits tid och energi att träna målmedvetet med en hund när vi haft det härligt rörigt med två små barn och husbygge (och så finns det ju några fler hundar
som också vill ha lite av min uppmärksamhet). Men nu känner jag att det finns både mer tid och mer energi men framför allt massor med lust att träna mot
målet att komma iväg på något jaktprov. Å Tuffa har verkligen fantastiska egenskaper väl värda att förvalta. Helt otroligt att hon kan så många bra saker
som jag inte lärt henne!
2016-04-24
WT!
Lycka till alla Atomosar som starta på FRK/Östras WT idag!
2016-04-18
Valpkurs för våra yngsta!
Det blev en hel del frågor och funderingar av olika slag. Spännande att få veta mer om hur ni har det i vardagen och hur ni klurar runt det som uppstår när
man lever tillsammans med en ny liten fyrfota vän. Vi jobbade även med sitt kvar och att gå vid sidan.
2016-04-18
Bästa-kullen fyller 4 år!
GRATTIS på födelsedagen!! Vår fina Pippi firade redan på morgonen med att äta det godaste hon vet dvs ett kalkonben till frukost. Hoppas att ni alla
Får en härlig dag och blir ordentligt firade och får mycket gott att mumsa på!
2016-04-14
Aktiviteter i vår!
Jag har lagt ut några datum i forumet och så här långt har jag bokat in kullträffar med viltspår för våra tre yngsta kullar, en liten kurs med tävlingslydnad
och så en liten unghundskurs. Det kommer också att bli en träff där jag har med mig vilt för er som vill ha min hjälp med det men jag
återkommer med datum för jag vill få till något som passar dom som särskilt bett mig om hjälp.
Vad vill ni mer? Några WT-träningar (och då försöker vi locka med våra unga lovande hundar också!!)? Kanske det finns intresse för
ett kurstillfälle med bubblan? Eller är ni sugna på en liten kurs där vi jobbar med vilt och lite träning mot målet att starta på b-prov? Eller om ni har
andra önskemål så hör av er!
Jag skulle tycka att det vore jättekul att träna lite med egen hund också så en gemensam träning med "päronträd"
dvs dirigering står på min önskelista så om någon mer vill det så kan vi väl försöka få till ett datum?! Ett bra träningspass i stadga och passivitet finns
också högt upp på min önskelista om någon är sugen!?
2016-04-10
KennelMästerskapet 2016!
Jag är så stolt och glad för att jag har så många så underbara valpköpare!!!
Tack alla ni som kom och gjorde denna dag så härlig!! Det kändes som att det var fler än jag som trivdes. Å vädret var helt fantastiskt.
Ett stort tack till Johanna, Patrik och Emma som dömde på stationerna och så tack till er som var funktionärer. Å så tack till Pernilla
och Anette som såg till att vi alla blev mätta och att det fanns kaffe och godsaker åt oss hela dagen.
Nytt för i år var valpklassen och Johannas övningar
och var mycket uppskattade, kul! Skojigt att tillväxten i kenneln är så lovande och jag ser verkligen fram mot att få följa dessa entusiastiska,
vetgiriga och målmedvetna ekipage!

Våra duktiga valpar!!
I valpklass deltog
Atomos Blixen McQueen "Blixten"
Atomos Bruce "Spencer"
Atomos Mary Poppins "Poppy"
Atomos Pippi Är Sakletare "Louie"

Alice och matte Lena blev juniorKennelMästare!
Juniorklass
1 Atomos Pålästa Prya "Alice" 90 p och därmed juniorKennelMästare 2016
2 Atomos Poppiga Panelhöna "Sälka" 69 p
3 Atomos Påpälsade Pajas "Sonny" 12 p

Iris och matte Lotta blev KennelMästare!!
Mästarklass
1 Atomos Pigg Som En Lärka "Iris" 99 p och därmed KennelMästare 2016
2 SE VCH Atomos Bästa Juvel "Torres" 78 p
3 SE VCH Atomos Tjuvaktig Som En Skata "Kiara" 72 p
4 Atomos Bästa Bruna Böna "Tessy" 69 p Årets Blåbär
5 Atomos Extra Xtra "Xtra" 66 p
6 SE VCH Atomos Bästa Följeslagare "Chiwas" 57 p
7 SE VCH Atomos Drömvävare "Diaz" 45 p
8 Atomos Stark Som En Björn "Malva" 36 p
9 SE VCH Atomos Livets Källa Till Glädje "Eroz" 30 p
9 Atomos Drömtydare "Sarabi" 30 p
9 SE VCH Atomos Extra Bonus "Xavi" 30 p
9 SE VCH Atomos Excellenta Pralin "Linus" 27 p

Vi delar ut ett diplom till den bäst placerade hunden som ännu inte startat på WT eller B-prov. Vi ger den hunden
titeln Årets Blåbär. I år var det Tessy och husse Jerry som blev Årets Blåbär.

Här är alla tre vinnarna! Från vänster: Alice med matte Lena blev juniorKennelMästare, Iris med matte
Lotta blev KennelMästare och Tessy med husse Jerry blev Årets Blåbär! GRATTIS! Extra häftigt att det är en hund av varje färg!!

Vi tackar alltid förra årets KennelMästare med ett diplom så det inte ska bli så tomt på väggen...
så Alexis och husse Håkan fick
en tavla som dom kan sätta på samma plats som vandringspriset nu hängt ett år.

Anette bakar alltid så fantastiska saker åt oss och i år var tårtan i form av en dummie.
Visst är den fin!! När jag fick veta att Anette använt en bild på Pontus när hon skar ut den fina hunden så kändes det rejält i mitt hjärta.
Min älskade kompis som klev in i mitt liv och i mitt hjärta för 20 år sedan fanns på årets KennelMästerskapstårta!
2016-04-09
Förberedelser inför tävlingen imorgon!
Ett helt gäng goa Atomosar träffades på Bärmöudd idag och tillsammans såg vi till att allt bli fixat inför KennelMästerskapet imorgon.
Lite lunch och fika fixade vi också. Jag stormtrivs tillsammans med er alla goa människor och dessutom var det underbart väder!
2016-04-07
Hundmatshämtning!
Det blev en annorlunda dag och riktigt rörigt när det visade sig att några beställningslappar försvunnit men vi fick till det bra till slut så
allas frysar blev fulla med den bästa hundmaten!!
Så himla mysigt att få träffa så många goa Atomosar på en och samma dag!! Tusen tack till familjen Söderberg och Pernilla som kom och hjälpte oss.
Jag har sagt det förr och säger det igen, utan er blir det ingen hundmatshämtning!
2016-04-05
Träning inför KennelMästerskapet!
Ikväll erbjöd jag att hjälpa till med sånt som man vill ha lite hjälp med inför helgens KennelMästerskap. Det kom hundar från alla klasser så det blev lite olika nivå
på övningarna som vi gjorde. Jag är tacksam över att jag får förmånen att se "mina" hundar utvecklas!! Ni gör
mig så lycklig!
2016-04-05
GRATTIS PP-kullen!
Redan 1 år gamla!! Hoppas att ni haft en underbar födelesdag och fått en massa goda saker att mumsa på!
2016-04-04
Valpkurs för Pippi-kullen!
Första kurstillfället för syskonen och därmed mycket prat om hur vardagen funkar och så hjälps vi alla åt att bolla idéer om hur man kan lösa sånt som familjerna inte riktigt
lyckats få till än. Jag tycker att det var bra frågor och framför allt känner jag mig vädligt nöjd med att det går så bra för alla!
2016-04-03
Valpkurs för Disney-kullen!
Sista kurstillfället för den här gången. Vi jobbade vidare med dom saker som vi pysslat med under kursen dvs sitt och sitt kvar, gå vid sidan och komma på inkallning.
Ganska svåra övningar och väldigt duktiga förare som jobbade på med sina fyrfota vänner. Mitt viktigaste budskap på en valpkurs är att alla ska börja hitta sitt sätt att
tänka hund och träna hund. Det finns så många olika verktyg att använda för att komma till de mål man satt upp med sin hund men för att få till de där riktigt bra
resultaten så måste man vara helt ärlig mot sig själv och sin hund och jobba på de sätt som känns helt rätt i hjärtat. Så tror jag i alla fall!
2016-03-27
KennelMästerskap!
Nu har jag koll på vilka som vill vara med!! Jag skriver lite mer info om tider och annat i forumet under nästa vecka.
2016-03-23
Träff med apportering!
Ikväll var vi några som sågs på Galoppgatan för att träna lite apportering. Det blev allt från grundläggande övningar i att få till avlämningar och så
även lite grunder i linjetag och sök. Både närsök och stort sök. Kul tycker jag!
2016-03-21
Ögonlysning!
Idag har Tessy varit hos veterinären och gjort ögonlysning. Flattar måste ha gjort en sådan undersökning när man ska para dom. Vi hoppas att Tessy löper snart
så vi kan få fina Tessy-barn hemma hos oss!!
2016-03-14
KennelMästerskapet!
Nu har jag lagt ut en del info i forumet om årets KennelMästerskap. Det är knappt om tid i år så missa inte att anmäla er om ni vill vara med!!
2016-03-14
Äntligen egna sidor till Disney-kullen och Pippi-kullen!
Jag är liksom inte datatekniker....men till slut fick jag till det så nu har kullarna egna sidor!!
2016-03-14
Tävlingslydnad!
Ikväll hade vi sista kurstillfället för den här gången. Alla har gjort härliga framsteg! Det verkar finnas intresse för fler kurstillfällen så jag provar att boka
några datum (skriver i forumet) så får vi se om vi får ihop en kurs till. Även ni som inte varit med på denna lilla kurs är hjärtligt välkomna att hänga på de nya datumen.
2016-03-12
Träff med apportering och lite jaktlydnad!
En härligt solig eftermiddag tillsammans med våra tre yngsta kullar. Vi började med att grilla en korv och så hade Olof bakat en mycket god chokladkaka åt oss som vi
mumsade i oss till kaffe. Sen fick alla som ville göra en apporteringsövning. Härlig inställning hos alla hundar! Jag är så nöjd med det egenskaper som jag fick se.
Men det finns en del iver här och där så en del passivitet behöver vi jobba med och så mer av det där viktiga med stadga och transport. Jag visade några övningar
som jag tycker är passande till unga hundar där fokus är att hitta lugnet trots dummiesar och kast. Jag har fått lite olika önskemål på kommande aktiviteter så jag
ska försöka erbjuda några olika varianter av träffar och någon kurs under våren för självklart vill jag förvalta all entusiasm hos alla goa Atomosar!!
2016-03-12
Grattis på födelesdagen!
Charmiga musketören Aramis fyller 9 år idag!! Grattis!! Hoppas att du har haft en underbar födelesdag och fått mycket gott att mumsa på!
2016-03-07
Grundläggande apporteringsträning!
Några goa valpköpare har bett mig om hjälp så vi har bokat lördag 12/3. Kanske vill fler vara med?
Många har varit modiga och anmält intresse för att vara med på KennelMästerskapet så den här träffen är ett bra tillfälle att få till lite träning inför helgen 9-10/4.
Träffen på lördag 12/3 är för er som är helt nybörjare eller som vill ha min hjälp med grundläggande saker som tex avlämningar.
Jag har tänkt fixa några grundläggande apporteringsövningar som passar alla åldrar och man behöver inga förkunskaper.
Vi ses vid sommarstugan på Bärmöudd och vi tänder grillen för att grilla några korvar till lunch och dricka en kopp kaffe.
Hör av er, via mail eller i forumet, senast onsdag 9/3 om ni vill att jag bjuder er på lunch/fika så jag vet hur mycket jag ska köpa.
2016-03-06
Valpkurs för Disney-kullen!
Härligt att vi nu är igång med en valpkurs!!
Många bra frågor kom upp och gänget har stora roliga mål. Kursinnehållet och kursupplägget blir det som vi alla skapar tillsammans.
När jag har en valpkurs så är det viktigaste för mig att få igång tankarna hos alla hur dom vill "tänka hund och träna hund". Innan man har det klart för sig
så är det svårt att förklara för en ny fyrfota vän vad det är man vill. Jag gillar att så frön och få alla att klura.
Det finns inga enkla snabba svar på hur man gör. Alla måste'hitta sitt sätt och sin väg. Det är väldigt lärorikt att få följa med på varandras resor och jag tror att
vi många gånger lär oss mer av att titta på när andra tränar sin hund än när vi själva ska prestera i en grupp. Därför kör vi alltid ett ekipage i taget och så lär vi oss av
varandra. Ni är det två veckor till nästa kurstillfälle men vi ses innan dess hoppas jag!!
2016-03-04
Blodgivare!
Det blir fler och fler Atomosar som ger blod! Vilka hjältar!!
I onsdags var Sigge på Albano och lämnade blod.

Man måste först vägas.

Kolla på alla spännande leksaker som finns att välja.

Sen går man upp för trappan och på väggen sitter det en bild på Sigge och hans blodgivarkompisar.

Sigge följer de blåa tass-spåren för att hitta rätt.

Först görs en hälsoundersökning för att se så Sigge är frisk. Blodpåsen färdig för att fyllas.

Sigge ligger så stilla!!

Duktig kille!!

Blodpåsen är full. Det här blodet ska bli plasma.

En skål med godis! Blodgivarhundarna får fästingmedel också för att hålla sig friska.

Å så får man välja en leksak!

Duktiga Sigge är nu på väg hem!

På väggen i tappan finns en bild på en Atomoskompis, Eroz, som också är blodgivare.

Sigge träffade Atomoskompisen Tazzos som just lämnat blod.
2016-02-29
Hundmatshämtning!
En härlig kväll med många goa Atomosar i butiken!! Det gillar jag!! Det värmer så i mitt hjärta när ni trivs så passa bra så
stannar en liten extra stund och tar en kopp kaffe till!
Ett stort tack till familjen Söderberg som ännu en gång fixade så vi alla fick hundmat i våra frysar och så tog ni som vanligt
hand om våra tjejer så jag kunde ägna kvällen åt mina valpköpare!! Det är helt enkelt så att utan familjen Söderberg så blir det ingen hundmatshämtning! Ni är fantastiska!!
2016-02-28
Ingen parning...
Nu har vi låtit Sarabi och Prinsen träffats i flera dagar men det har inte blivit någon parning. Tråkigt men så är det ibland. Löpet va kort och
litet märkligt på flera sätt så kanske är det förklaringen. Ja, ja det får vi aldrig svar på....men vi planerar för att göra
ett nytt försök att para Sarabi på hennes nästa löp.
2016-02-28
Kullträffar!
Först en frågestund för Pippi-kullen där vi tog alla dom frågorna som kändes aktuella. Förvånasvärt få frågor och det är ett gott tecken på att allt är bra så
här långt. Sen kom Disney-kullen och jag hade fixat lunch åt oss alla. Det är ju bara fem veckor mellan dom här kullarna så det kommer förmodligen bli så att vi
har en del aktiviteter tillsammans. Mysigt att få va med er alla i solen tycker jag!! När alla va mätta och hade fått lite kaffe och
en kaka så fick alla i Disney-kullen apportera. Härligt att vi nu är igång på apporteringsträning!!
2016-02-23
Vi hoppas på valpar i början på maj!
Lilla rara Sarabi började oväntat och plötsligt att löpa!! Vi parar Sarabi med Prinsen och kombinationen känns jättespännande!! Härligt att vi nu kan hoppas på valpar igen!!
Så håll nu tummarna!! Parning i månadsskiftet februari/mars och så föds det förhoppningsvis
valpar i början på maj och valparna vill flytta till sina nya familjer i början på juli. Hör gärna av er redan nu om ni är intresserade av en av våra kommande valpar!
2016-02-24
Sista valpen har flyttat!
Fy va jobbigt det är när det blir så här tomt.... Men när jag tänker på vilket superbra hem han nu har
förmånen att bo i så blir jag alldeles varm i hjärtat!! Vi hälsar Kristina och Olof hjärtligt välkomna i Atomosgänget!
2016-02-23
Vi hoppas på valpar i början på maj!
Lilla rara Sarabi började oväntat och plötsligt att löpa!! Vi parar Sarabi med Prinsen och kombinationen känns jättespännande!! Härligt att vi nu kan hoppas på valpar igen!!
Så håll nu tummarna!! Parning i månadsskiftet februari/mars och så föds det förhoppningsvis
valpar i början på maj och valparna vill flytta till sina nya familjer i början på juli. Hör gärna av er redan nu om ni är intresserade av en av våra kommande valpar!
2016-02-22
Tävlingslydnadskurs!
Ikväll var vi ett gäng som började en kurs i tävlingslydnad. Kul!! Väldigt grundläggande eftersom halva gänget inte ens visste vad tävlingslydnad är men jag tycker vi hann mycket
trots att vi tog allt från början.
2016-02-15
Unghundskurs!
Många kloka saker kom vi fram till ikväll tycker jag. Jag försöker alltid få mina kursdeltagare att klura lite själva på hur de vill jobba och lösa
olika saker för om jag bara levererar svar och lösningar på de frågor som uppstår så har jag ju bara hjälpt till att lösa just den situationen. Jag
vill att alla ska börja hitta sitt sätt att tänka hund och därmed kunna lösa alla situationer som uppstår i vardagen.
2016-02-14
KennelMästerskap 2016!
Vi har en del nya tankar kring utformningen av själva mästerskapet. Ingenting är helt klart ännu och innan vi presenterar det
nya konceptet för KennelMästerskapet 2016, helgen 9-10 april, så behöver vi få veta ungefär vilka/hur många som är intresserade av att delta?
Grundtanken med ett KennelMästerskap kommer vi aldrig att ändra på, dvs gemenskap, kamratskap, öppenhet och engagemang.
KennelMästskapet ska vara en trevlig helg där framförallt nya och oerfarna valpköpare får prova på jakttävling
i ett avslappnat och opretentiöst klimat och där lite mer erfarna valpköpare kan vägleda och dela med sig av sina
erfarenheter.
Anmäl ditt intresse genom att skriva en rad i forumet eller skicka ett mail till mig senast söndagen den 28 februari.
2016-02-14
Alla hjärtansdag!
Önskar er alla är härlig dag tillsammans med tvåbenta och fyrbenta som ni tycker om!
2016-02-08
Unghundskurs!
Äntligen fick vi ihop datum för en unghundskurs för PP-kullen. Unghundstiden är härlig och jobbig på samma gång. Jag tycker att det är viktigt att man på en unghundskurs
vågar testa
och vågar tänja lite på gränserna även om man då riskerar att det blir för svårt och därmed rörigt. Är det någonstans som det ska bli det så är det ju i goda vänners sällskap
där man kan få råd och hjälp.
2016-02-07
Valparna i Pippi-kullen har börjat flytta hemifrån!
Idag har vi haft en härlig rörig dag tillsammans med alla förväntansfulla valpköpare som skulle hämta sin Pippi-valp! Lycka till nu allihop! Jag längtar tills vi ses!!
2016-02-06
Baloo har hittat sin familj!
Idag har vår underbara gosse flyttat. Det är så olidligt tomt här hemma och jag tänker på honom hela tiden. Fy va jobbigt det är
när valpar blir kvar här lite längre och dessutom har fått ett namn. Men bättre hem än han fått går inte att önska sig!! Han kommer bli så älskad och ompysslad och
all hans kärlek kommer bli så uppskattad! Vi hälsar systrarna Fanny och Olivia hjärtligt välkomna till Atomosgänget! Jag ser fram mot allt skojigt vi ska hitta på
tillsammans!
2016-02-05
Veterinärbesiktning!
Alla valparna mår utmärkt!! Härligt!! Det är nu bestämt vilken valp som flyttar vart och imorgon börjar dom ge sig ut i världen!
2016-02-03
Hundmatshämtning!
Maten kom sent idag igen så det blev stressigt men vi fick allting rätt snabbt så vi blev trots allt inte så många minuter sena.
Tusen tack till Pernilla, Pär och Lotta! Utan er blir det ingen hundmatshämtning så jag är så innerligt tacksam för att ni ställer upp och sliter så hård dessa dagar!!
Det blev härligt fullt i butiken med både människor och hundar ikväll! Kul!! En kopp kaffe och stunds hundsnack är alltid trevligt!
Atomosgänget har ju just fått påfyllning av en massa underbara människor och hundar och jag är så lycklig över att jag har så härliga valpköpare och
så stolt över alla fina hundar som jag har fött upp!! Nu är det snart vår i luften så då måste vi se till att vi ses ofta och på alla möjligt sätt och
tränar med våra fina fyrfota vänner! Jag lääängtar!!
2016-01-31
Vår rara Baloo söker en familj att flytta till!
Nu är det bara vår goa gosse kvar här och han vill ha er hjälp att hitta ett hem att flytta till!
Baloo är en riktigt go kille. Lyhörd och uppmärksam på allt jag önskar. En stor vilja att göra rätt och gör sitt yttersta
för att förstå vad jag menar. Lugn och sansad i allt vi gör. Ingen stress och inget fläng.
Trygg och orädd i miljöer. Anpassningsbar och behaglig i alla lägen. Varken feg eller
försiktig utan just bara mjuk och rar på ett bra sätt. Han vill bo i en familj där han får vara
en älskad kompis och där han får ge av all den kärlek han har i sitt hjärta.
Han kommer bli en lojal
och samarbetsvillig kompis och han vill jobba i samförstånd med sin förare. Det behövs väldigt små ord
och tecken för att få honom på samma tanke som jag och om han gör något jag inte önskar så räcker det
nästan med att jag bara tänker tanken så rättar han sig för han vill så gärna göra så som jag önskar.
Han umgås väldigt fint med våra barn (3½ år och knappt 2 år) och barnen gillar att han honom med när dom
leker (det gäller inte alla valpar för vissa är för på så legobitarna far omkring).
Han är rumsren och han säger tydligt till när han behöver gå ut så det hänger på om jag bara hinner öppna dörren.
Han är van att åka bil och sover gott i bilen. Han kan vara ensam korta stunder i bilen och hemma.
När vi går i koppel som sköter han sig bra. När vi är ute och han är lös så är han mycket uppmärksam på mig hela
tiden och han är van att inte få hälsa på människor och hundar vi möter ute.
Vi ger våra hundar rå mat dvs kött, ben, grönsaker och frukt men inte torrfoder. Vi ser så fantastiska
skillnader på vad hundarna får äta för mat så vi vill att han får fortsätta att äta den mat han är van att äta.
Han är född 151105 och alltså 12 veckor gammal nu. Han är veterinärbesiktad utan anmärkning. Innan han får flytta
härifrån så kommer vi att veterinärbesikta honom ännu en gång för att få ett nytt intyg på att han mår bra.
Vi har tecknat en dolda fel försäkring för honom och hans syskon.
2016-01-31
Kullträff för Pippi-kullen!
Både igår och idag har det varit många goa människor här som är intresserade av våra valpar!! Det är verkligen
en förmån att få träfa så många härliga nya människor! Idag har vi bestämt var några av valparna ska flytta.
På lördag är det dags för dom första valparna att ge sig ut i stora vida världen!
2016-01-28
Duktiga apportörer!
Bara 7 veckor och så himla duktiga!
2016-01-26
20 år går fort!
Idag är det 20 år sedan min första flat föddes. Jag kallade honom för Pontus. Vi hade underbara och otroligt lärorika år tillsammans
tills han tog sitt sista andetag i min famn efter drygt 10 år. Jag ser honom i flera av hans barnbarn, barnbarnsbarn
och barnbarns barnbarn som jag har förmånen att ha omkring mig.
Älskade kompis, jag är så tacksam för allt du gav mig!
2016-01-24
Två valpar som söker varsin familj!
Lotta tog en fin bild på våra två valpar som är redo att flytta hemifrån!! En hane och tik. Båda är synnerligen trevliga, lugna, behagliga individer
och dom har fått en lite för stor plats i mitt hjärta så jag hoppas att dom snart hittar sina familjer så dom inte "måste stanna här".
2016-01-24
Kullträff för Pippi-kullen!
Kul att så många kom idag!! Å pappa Valle och hela hans familj också! Tack alla för en härlig stund! Det blev många bra diskussioner och frågor som är viktiga att reda ut
inför det att valpen ska flytta hem till sin nya familj. Det är verkligen en förmån för mig få hjälpa alla valpköpare!
2016-01-23
Årsavslutning!
I början på året bjuder jag alltid in mina valpköpare till en liten tillställning där vi summerar året som gått och smider planer för året som just börjat.
Alla får skriva sina mål på en lapp och det brukar bli en härlig blandning av utmärkta saker! Jag passar också på att dela ut rosetter till de ekipage
som fått fina meriter under året. Jag bjöd på lite lunch och Anette hade bakat så fina och
supergoda chokladtårtor åt oss!! Min kamera blev tyvärr kvar hemma....Olof tog en del bilder men han har nu åkt på semester så jag får bilderna när han kommer hem
så det kommer ta ett tag innan ni får se.
2016-01-23
Kullträff för Disney-kullen!
Första träffen för syskonen sedan dom flyttade härifrån. Vi hade tru med vädret så vi kunde vara ute, skönt!
Vi hade värmt upp "sommarstugan" så vi skulle kunna vara inne med alla valpar om det var för kallt ute men ingen frös så vi höll oss ute.
Så här på första träffen brukar vi mest prata om hur det gått för alla och reda ut
frågor och funderingar som uppstått under de första veckorna. Lite planering för framtiden också för jag vill gärna veta vad gänget vill att jag erbjuder.
Medan vi pratat så får valparna ett utmärkt träningspass i att göra ingenting och får
inse att dom inte får hälsa på varken hundar eller människor. Nyttig och superviktig erfaranhet för våra underbara ras! Jag tycker att
frågorna som togs upp var väldigt "små" och tolkar det som att det gott väldigt bra för alla. Skönt!! Jag blir så stolt över att ännu en
kull valpar från oss visa så härlig mentala egenskaper och att jag dessutom lyckats ge valparna viktiga nyttiga erfarenheter medan dom bor här
så att dom så lätt anpassar sig till livet i sina nya familjer.
2016-01-21
Prinsen och Sune har lämnat blod!
Vilka duktiga killar som delar med sig av sitt blod och därmed hjälper en fyrfota vän som mår dåligt!
2016-01-20
Längtar ni efter en fyrfota kompis?
Vi har två valpar som är redo att flytta hemifrån!
En tik och en hane som nu är 11 veckor och dom längtar efter att få börja sina egna liv i en egen familj.
Fler bilder och lite info finns i Mollys valpdagbok. Eller så hör ni av er så berättar vi mer!
Vi
har även några valpar som vill flytta till en egen familj i februari.
2016-01-17
Kullträff för Pippi-kullen!
Idag sken solen och vi kunde ha valparna ute när valpköparna kom! Mysigt! Vi lyckades reda ut en hel del frågor och
funderingar och
det är verkligen en förmån för mig att få vara med på dela mina valpköpares tankar och funderingar så här när det
bara är några veckor kvar innan den nya vännen flyttar in.
2016-01-14
Hjälp våra valpar att hitta en familj!
Tre av valparna är nu 10 veckor och dom förtjänar att få börja sina egna liv i en egen familj så hjälp
gärna våra valpar att berätta om att dom finns här hos oss och längtar efter att hitta ett eget hem att flytta till!
Hör av er om ni vill veta mer! Vi bjuder gärna på valpmys och fika!
Vi
har även några valpar som vill flytta till en egen familj i februari.

2016-01-14
Tävlingslydnad!
Det verkar finnas lite intresse för tävlingslydnad i vinter så jag har lagt ut lite info i forumet.
2016-01-11
Hundmatshämtning!
Tack alla för ännu en härlig hundmatshämtningskväll tillsammans med många goa Atomosar!
Tänk att det även denna gång var på håret att vi fick hundmaten levererad! Jösses va slut jag är efter dessa dagar men oj så lycklig jag är när jag tänker på alla
underbara hundar som nu har frysen full men så bra mat!! Tusen tack till Pernilla och familjen Söderberg som återigen har slitit för att hjälpa oss alla!!
Utan er blir det ingen hundmatshämtning!!
2016-01-11
Årsavslutning!
Det blir en lite enklare variant på årsavslutning i år för jag kommer lägga tid och energi på alla valpar och nya goa valpköpare.
Men ett tillfälle att ses och summera 2015 och smida planer för 2016 vill jag ju gärna ordna
så lördagen den 23/1 bjuder jag på några grillade hamburgare och lite kaffe för er som vill.
Hör av er, via mail eller i forumet, senast tisdag 19/1 om ni kommer och meddela även hur många ni är så jag vet hur mycket mat och fika jag ska fixa.
Lite mer info om klockslag och sånt finns i forumet.
Om ni vill komma innan och träna lite tillsammans så går det givetvis väldigt bra!
2016-01-10
Andra träffen för valpköparna som väntar på sin Pippi-valp!!
Först tog vi en promenad med våra vuxna hundar och våra 9 veckor gamla valpar. Sen gick vi in och fikade tillsammans med Pippi och hennes valpar som nu är 4 veckor.
2016-01-10
Grattis Extra-kullen!
Idag blir ni 4 år! Grattis på födelsedagen!! Hoppas ni blir ordentligt firade och får mycket gott att mumsa på!
2016-01-06
Valpmys och fika!
Idag hade vi bjudit in de första besökarna till Pippis valpar. Pippi tog det hela med ro, som alltid. Härligt att valparna nu är
redo så att vi kan bjuda hit alla nyfikna och förväntansfulla valpköpare!